产品中心

CD4 重组兔单克隆抗体

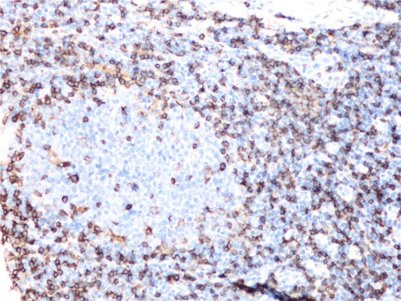
CD4分子是一种糖蛋白,属于与HLA II类抗原识别相关的免疫球蛋白超家族。CD4是一类共受体,辅助T细胞受体(TCR)和抗原呈递细胞,能直接与抗原呈递细胞表面上的MHC II类分子相互作用。在淋巴组织中,滤泡旁区域可见大量CD4+ T细胞,而在生发中心和外套层可见少量的CD4+ T细胞。在肝窦细胞,单核细胞和单核细胞衍生的细胞中也发现了CD4。但在B细胞和未成熟的胸腺细胞中不表达CD4。除侵袭性NK细胞白血病和结外NK / T细胞淋巴瘤外,大多数成熟T细胞淋巴瘤为CD4阳性。CD4在炎性病变淋巴细胞和恶性淋巴瘤的分类起重要作用。

Specifications

目录号
BX50023
克隆号
BP6028
阳性对照
扁桃体
亚细胞定位
细胞膜
组织类型
FFPE
修复方式
HIER
稀释比
1:100-1:200
规格
100μl/vial, 1ml/vial
用途
RUO

Reference

1.Karandikar NJ, et.al, Am J Clin Pathol. 2002 May;117(5):819-25.
2.Beaty MW, et.al, Am J Surg Pathol. 2001 Sep;25(9):1111-20.

Support Documents

Contact Us

Address
浙江省杭州市滨江区滨安路688号天和高科技园区5号楼1303室
310052
Phone & Fax
+400-8769-741
+0571-88177680
Web & Mail

Follow Us

Scan QR Codes on Your Phone