产品中心

Progesterone Receptor 重组兔单克隆抗体

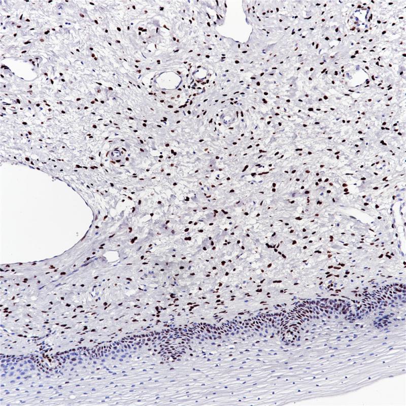
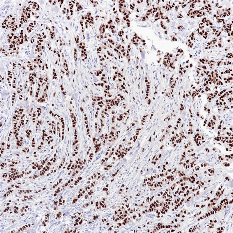
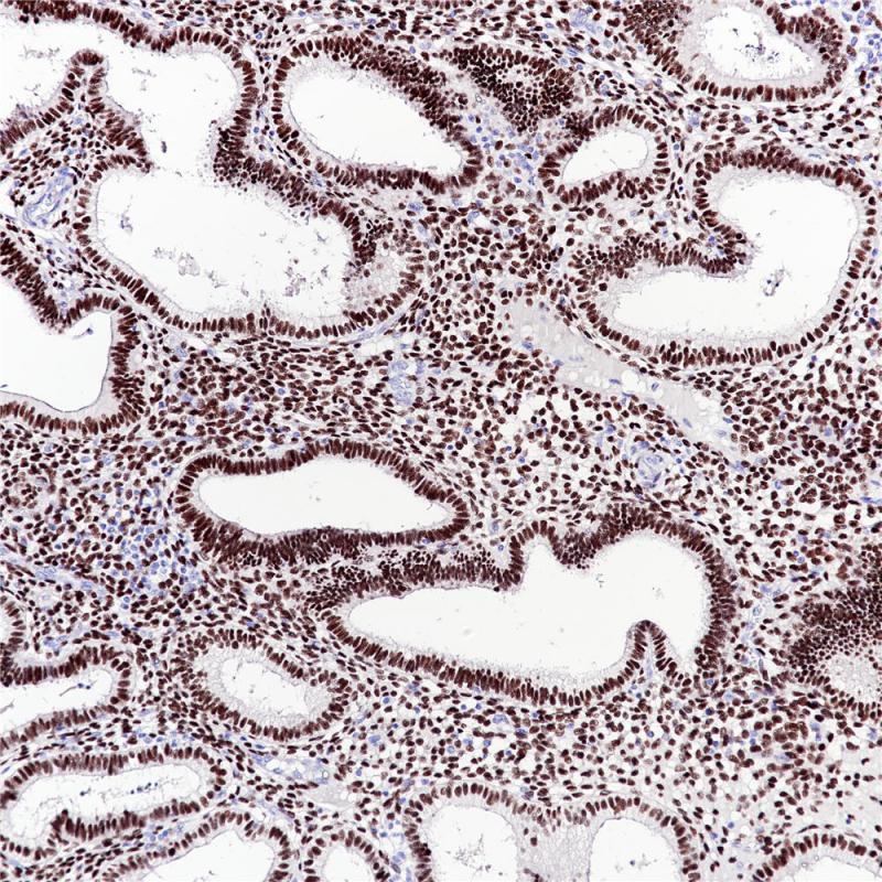
孕酮是女性生殖的中心调节剂之一。 在乳房发育中,孕酮参与小叶-肺泡结构的形成,通过调节乳蛋白质的合成来影响乳房的分化。 孕酮的细胞作用是通过PR(孕酮受体)介导的。 PR是一种具有946个氨基酸的蛋白质,作为配体激活转录因子,属于核受体的类固醇受体超家族成员。 PR主要在女性的性类固醇反应组织中表达,如乳腺,子宫和卵巢,但也在其他组织中被发现,如朗格汉斯胰岛的内分泌细胞。ER(雌激素受体)和PR作为乳腺癌对内分泌治疗反应性的预测因子以及早期复发的预后指标,已被使用超过20年。

Specifications

目录号
BX50132
克隆号
BP6136
阳性对照
乳腺癌
亚细胞定位
细胞核
组织类型
FFPE
修复方式
HIER
稀释比
1:100-1:200
规格
100μl/vial, 1ml/vial
用途
RUO

Reference

1.Bardou V-J, Arpino G, Elledge RM, et al. J Clin Oncol2003;21:1973-1979.
2.Elledge RM, Green S, Pugh R et al. Int J Cancer2000;89:111-117.

Support Documents

Contact Us

Address
浙江省杭州市滨江区滨安路688号天和高科技园区5号楼1303室
310052
Phone & Fax
+400-8769-741
+0571-88177680
Web & Mail

Follow Us

Scan QR Codes on Your Phone