产品中心

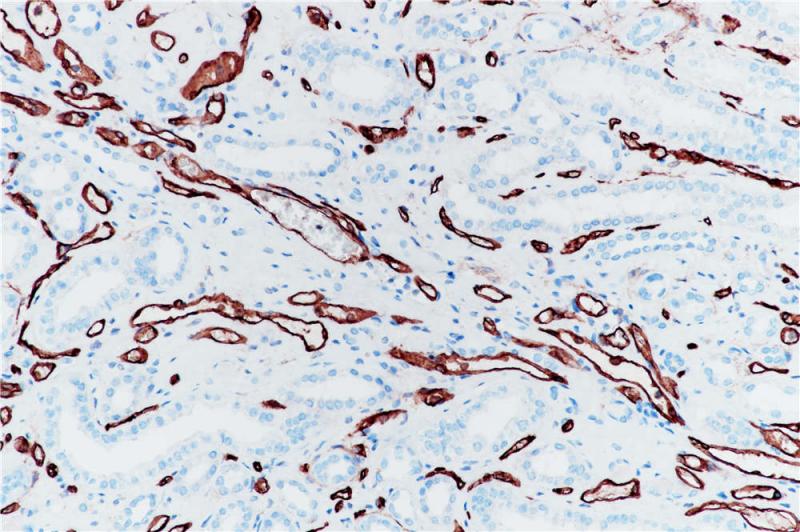
CD34 重组兔单克隆抗体

CD34(也称为骨髓祖细胞抗原)是一种高度糖基化的I类跨膜糖蛋白。由于可变剪接的存在,CD34蛋白有两种形式。研究表明,CD34是一种维持未分化细胞表型可塑性状态的信号分子。在肿瘤组织中,CD34出现在骨髓增生异常综合征和多数急性髓系白血病(AML)的髓样细胞,以及急性淋巴细胞白血病中的淋巴母细胞中。CD34染色有助于鉴定骨髓瘤和淋巴瘤,以及梭形细胞瘤(尤其是鉴定胃肠道间质瘤和血管肉瘤)。

Specifications

目录号
BX50042
克隆号
BP6047
阳性对照
亚细胞定位
细胞膜
组织类型
FFPE
修复方式
HIER
稀释比
1:100-1:200
规格
100μl/vial, 1ml/vial
用途
RUO

Reference

1.Baumheter S,  et.al, Science. 1993 Oct 15;262(5132):436-8.
2.Fina L, et.al, Blood. 1990 Jun 15;75(12):2417-26.

Support Documents

Contact Us

Address
浙江省杭州市滨江区滨安路688号天和高科技园区5号楼1303室
310052
Phone & Fax
+400-8769-741
+0571-88177680
Web & Mail

Follow Us

Scan QR Codes on Your Phone