产品中心

Cytokeratin 5&6 Cocktail

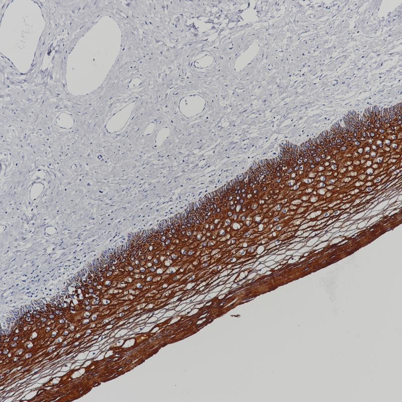
细胞角蛋白5&6在正常组织中主要表达于鳞状上皮、导管上皮基底细胞、肌上皮细胞和间皮细胞,腺上皮表达阴性。该抗体主要用于鳞癌与腺癌、间皮瘤与腺癌的鉴别诊断,也可用于导管上皮良恶性增生的鉴别。

Specifications

目录号
BX50144
克隆号
BP6021/BP6065
阳性对照
宫颈
亚细胞定位
细胞质
组织类型
FFPE
修复方式
HIER
稀释比
1:100-1:200
规格
100μl/vial, 1ml/vial
用途
RUO

Reference

1.R Moll et al. Histochem Cell Biol (2008) 129:705–733.  
2.R Moll et al. Cell, Vol. 31, 1 l-24, November 1982.

Support Documents

Contact Us

Address
浙江省杭州市滨江区滨安路688号天和高科技园区5号楼1303室
310052
Phone & Fax
+400-8769-741
+0571-88177680
Web & Mail

Follow Us

Scan QR Codes on Your Phone