产品中心

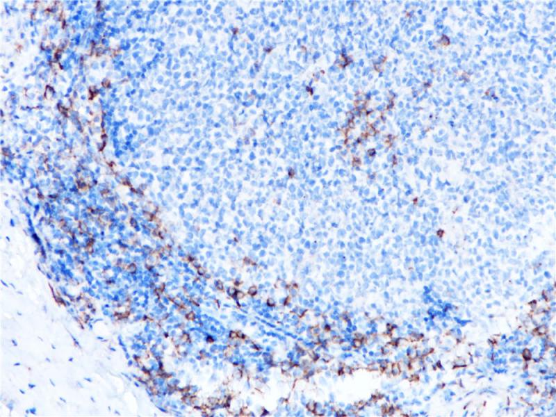
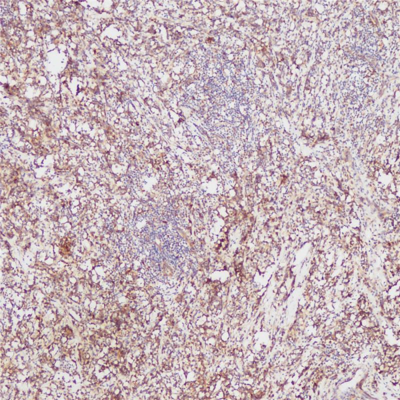
CD138 重组兔单克隆抗体

CD138(Syndecan-1)是syndecan(多聚体蛋白多糖)家族中的4个跨膜糖蛋白之一,能够结合硫酸乙酰肝素和硫酸软骨素分子。正常情况下,CD138主要在早期前体B细胞、成熟的浆细胞以及多种上皮细胞表达,而其他淋巴细胞则为阴性。在淋巴造血系统肿瘤中,CD138在几乎所有的血浆细胞恶性肿瘤病例中都有表达。

Specifications

目录号
BX50030
克隆号
BP6035
阳性对照
浆细胞瘤
亚细胞定位
细胞膜
组织类型
FFPE
修复方式
HIER
稀释比
1:100-1:200
规格
100μl/vial, 1ml/vial
用途
RUO

Reference

1.Nunez AL, et.al, Am J Clin Pathol. 2012 Mar;137(3):423-8.
2.O'Connell FP, et.al, Am J Clin Pathol. 2004 Feb;121(2):254-63.

Support Documents

Contact Us

Address
浙江省杭州市滨江区滨安路688号天和高科技园区5号楼1303室
310052
Phone & Fax
+400-8769-741
+0571-88177680
Web & Mail

Follow Us

Scan QR Codes on Your Phone