产品中心

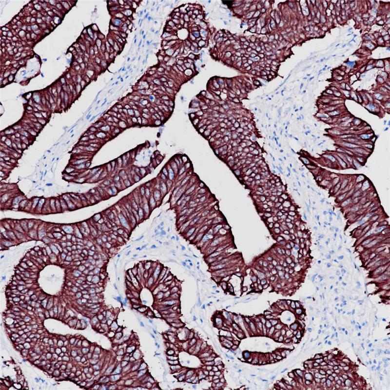
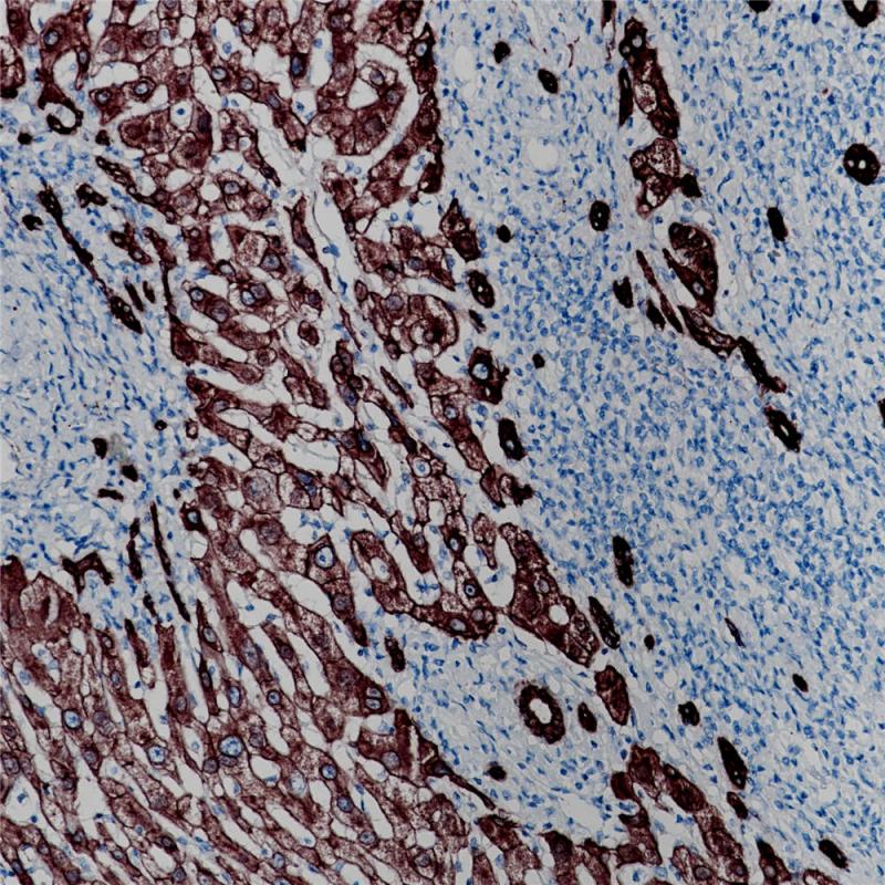
Cytokeratin 18 重组兔单克隆抗体

CK18(细胞角蛋白18,也叫角蛋白18)是一种I型细胞角蛋白。CK18和其II型配对的CK8可能是中间纤维基因家族中最常见的产物。在一些上皮细胞类型中,CK8和CK18是唯一存在的角质蛋白。经典的例子就是肝脏,CK8/CK18是正常肝细胞中仅有的一对角蛋白,代表了肝脏的特征。对于其他高度专化的薄壁组织上皮细胞,如胰腺的腺泡细胞、肾脏的近端管状上皮细胞,以及某些内分泌细胞如胰岛细胞,也是如此。此外,CK8/CK18与其他角化蛋白一起出现在各种假复层(如呼吸)和复杂(如腺体)上皮以及膀胱上皮。即使在非角质化的复层鳞状上皮细胞中,CK8、CK18以及CK19和基本复层上皮角化蛋白也可以在基底细胞层中集中表达。在恶性肿瘤方面,除了一些分化的鳞状细胞癌,CK8和CK18在大多数癌症中都表达。因此,CK8和CK18抗体对大多数腺癌、肝细胞癌、肾细胞癌和神经内分泌癌有明显染色效果。

Specifications

目录号
BX50049
克隆号
BP6054
阳性对照
亚细胞定位
细胞质
组织类型
FFPE
修复方式
HIER
稀释比
1:100-1:200
规格
100μl/vial, 1ml/vial
用途
RUO

Reference

1.Wiedenmann B, et.al. Proc Natl Acad Sci U S A. 1986 May;83(10):3500-4.
2.Quinn B. Am J Surg Pathol. 1998 May;22(5):550-6.

Support Documents

Contact Us

Address
浙江省杭州市滨江区滨安路688号天和高科技园区5号楼1303室
310052
Phone & Fax
+400-8769-741
+0571-88177680
Web & Mail

Follow Us

Scan QR Codes on Your Phone