产品中心

Hepatocyte 鼠单克隆抗体

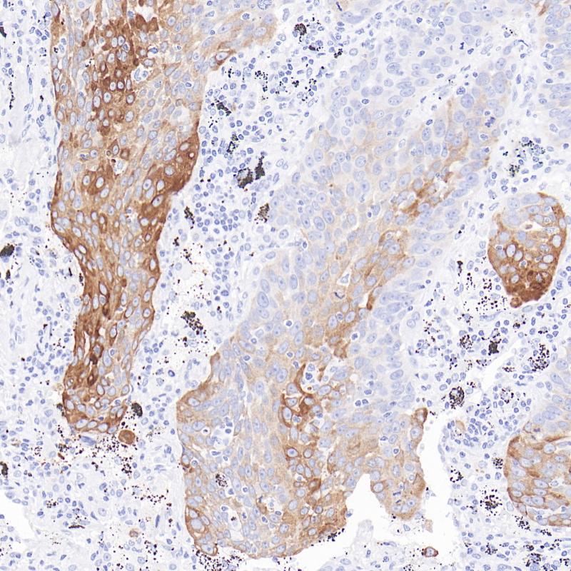
肝细胞(Hepatocyte)是肝脏的主要功能细胞,占肝脏细胞总数的80%。Hepatocyte又称Hep Par-1,是肝组织及肝细胞肿瘤的特异性标记物。在临床病理诊断中,Hepatocyte的特征和表达模式对于肝脏疾病的诊断、分类和预后评估具有重要意义。

Specifications

目录号
BX50343
克隆号
OCH1E5
阳性对照
肝细胞癌
亚细胞定位
细胞质
组织类型
FFPE
修复方式
HIER
稀释比
1:100-1:200
规格
100μl/vial, 1ml/vial
用途
RUO

Reference

1. Song G et al. (2022) Nat Commun 13:1642.
2. Bertol BC et al. (2020) Clin Immunol 217:108482.

Support Documents

Contact Us

Address
浙江省杭州市滨江区滨安路688号天和高科技园区5号楼1303室
310052
Phone & Fax
+400-8769-741
+0571-88177680
Web & Mail

Follow Us

Scan QR Codes on Your Phone