产品中心

ALK 重组兔单克隆抗体

间变性淋巴瘤激酶(ALK)是一种酪氨酸激酶受体,通常在发展中的中枢神经系统和外周围神经系统区域内低水平表达。ALK可能通过多种机制在癌症中被激活,在间变性大细胞淋巴瘤、炎性肌成纤维母细胞瘤、横纹肌肉瘤、非小细胞肺癌等肿瘤中表达

Specifications

目录号
BX50187
克隆号
BP6165
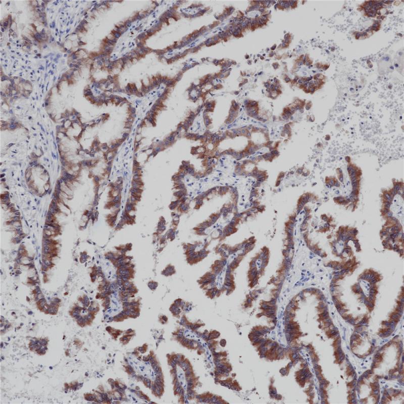
阳性对照
非小细胞肺癌
亚细胞定位
细胞质/细胞核
组织类型
FFPE
修复方式
HIER
稀释比
1:100-1:200
规格
100μl/vial, 1ml/vial
用途
RUO

Reference

1.Zhu W et al. Transl Stroke Res (2018).

2.Yang Y et al. Biol Open 8: (2019).

Support Documents

Contact Us

Address
浙江省杭州市滨江区滨安路688号天和高科技园区5号楼1303室
310052
Phone & Fax
+400-8769-741
+0571-88177680
Web & Mail

Follow Us

Scan QR Codes on Your Phone