首页
创新研发
产品中心
病理IHC整体解决方案
IVD一抗
LYNX310设备
LYNX480设备
免疫显色系统及辅助试剂
RUO试剂
液态细胞质控品
科研创新
科研目录抗体
技术服务
服务中心
资料下载
技术支持
关于我们
公司概况
新闻动态
荣誉资质
人才服务
联系我们
简体中文
简体中文
English
产品中心
病理IHC整体解决方案
科研创新
IVD一抗
LYNX310设备
LYNX480设备
免疫显色系统及辅助试剂
RUO试剂
液态细胞质控品
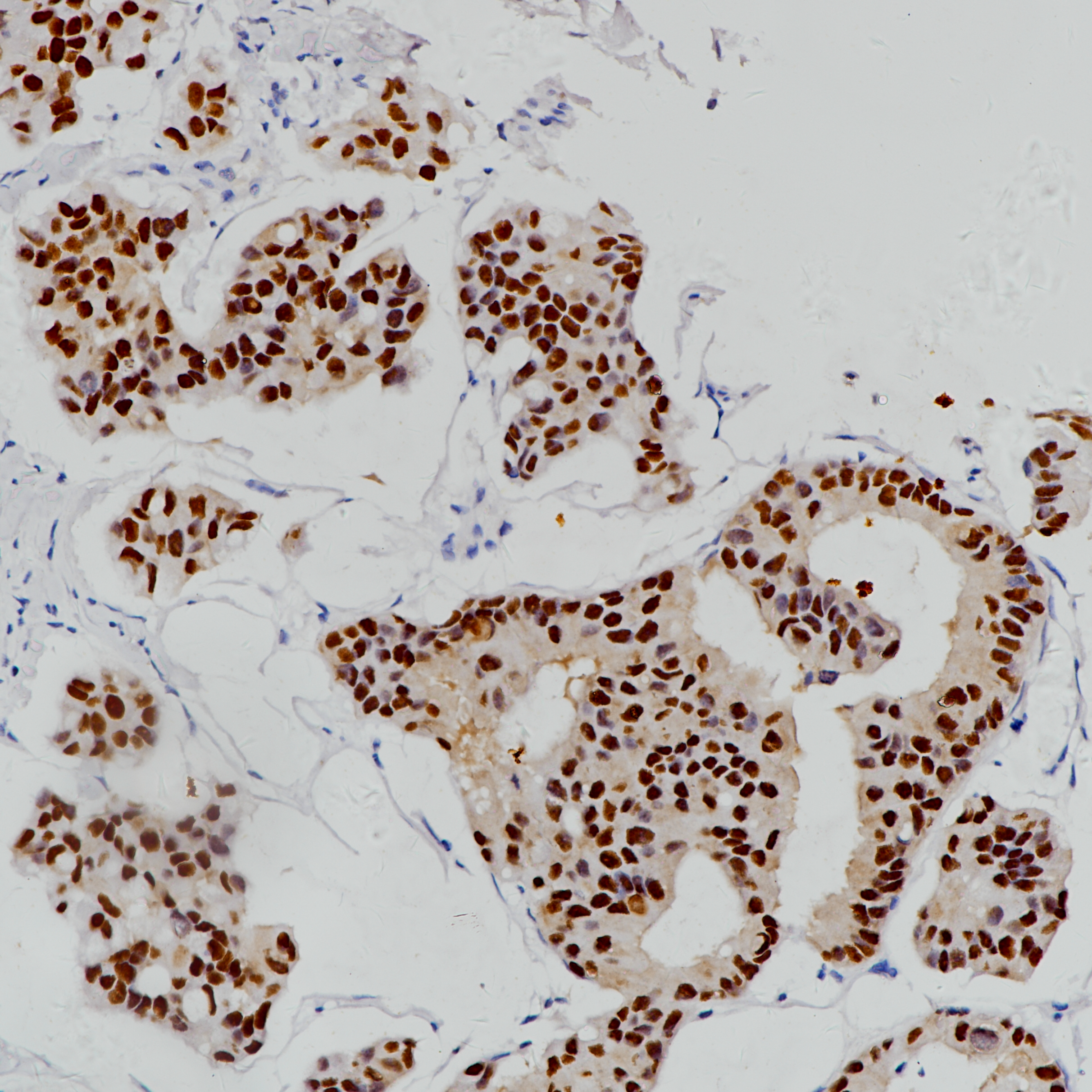
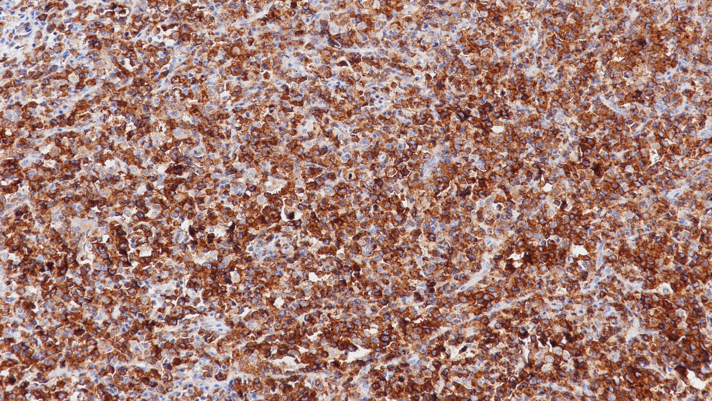
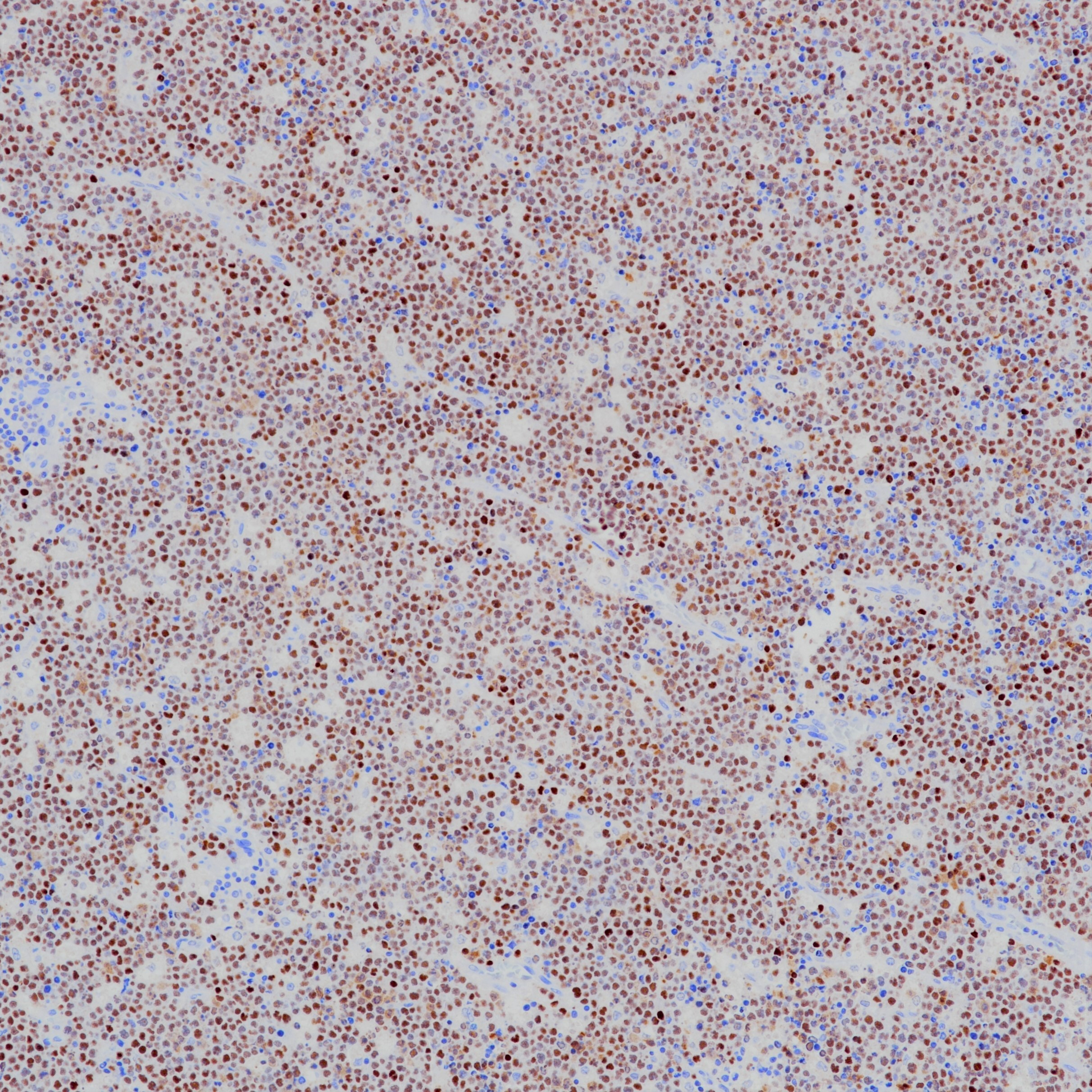
鼻咽癌EBER探针染色
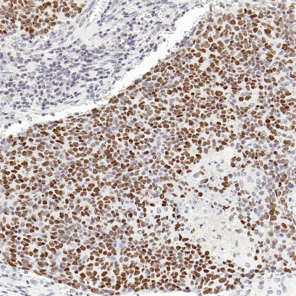
肺癌EBER探针染色
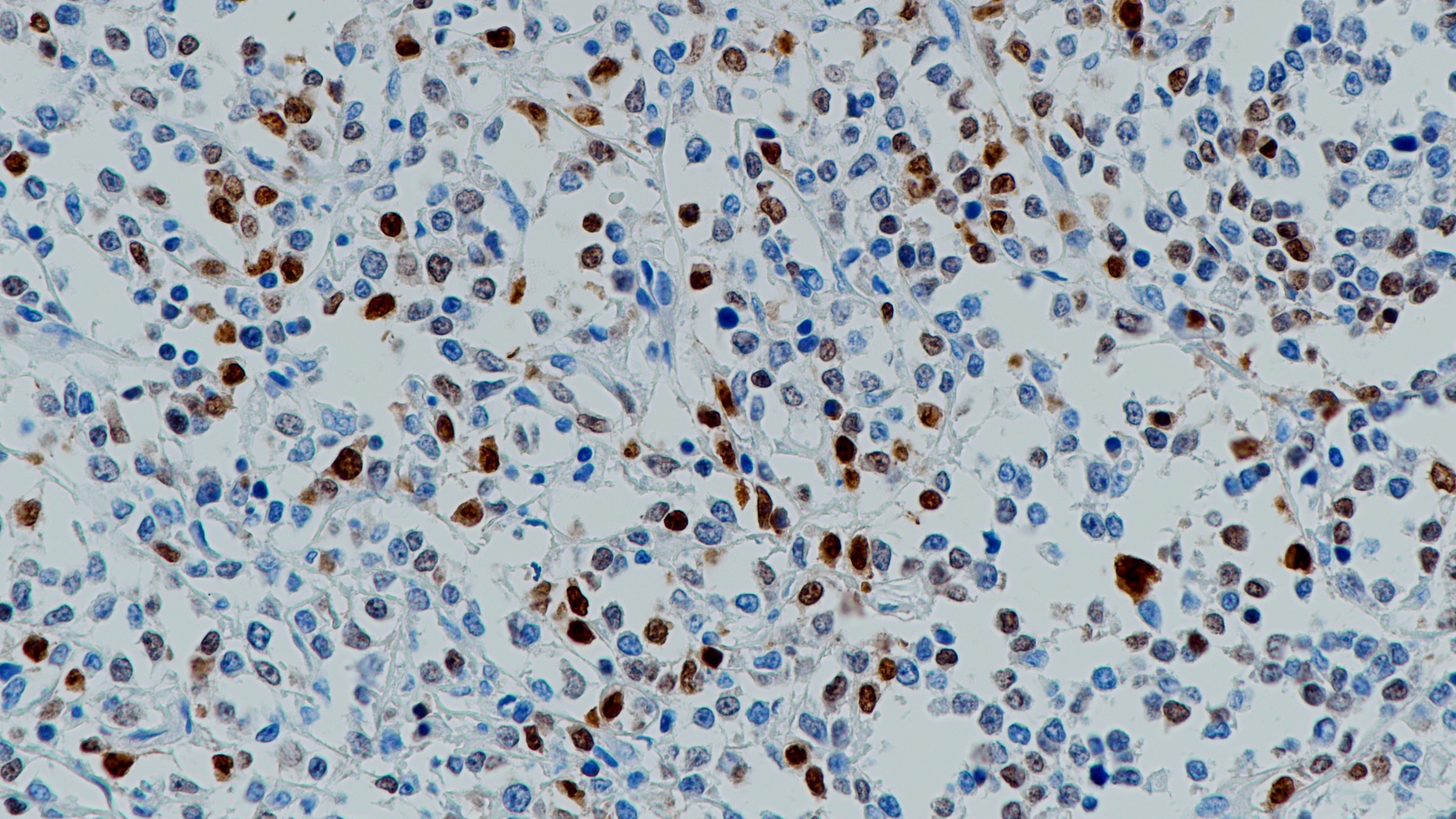
伯基特淋巴瘤EBER染色
相关产品
Clusterin
BP6268
Kappa
L1C1
Cytokeratin 5&6(CK5&6)
BP6021&BP6065
EBER
原位杂交探针
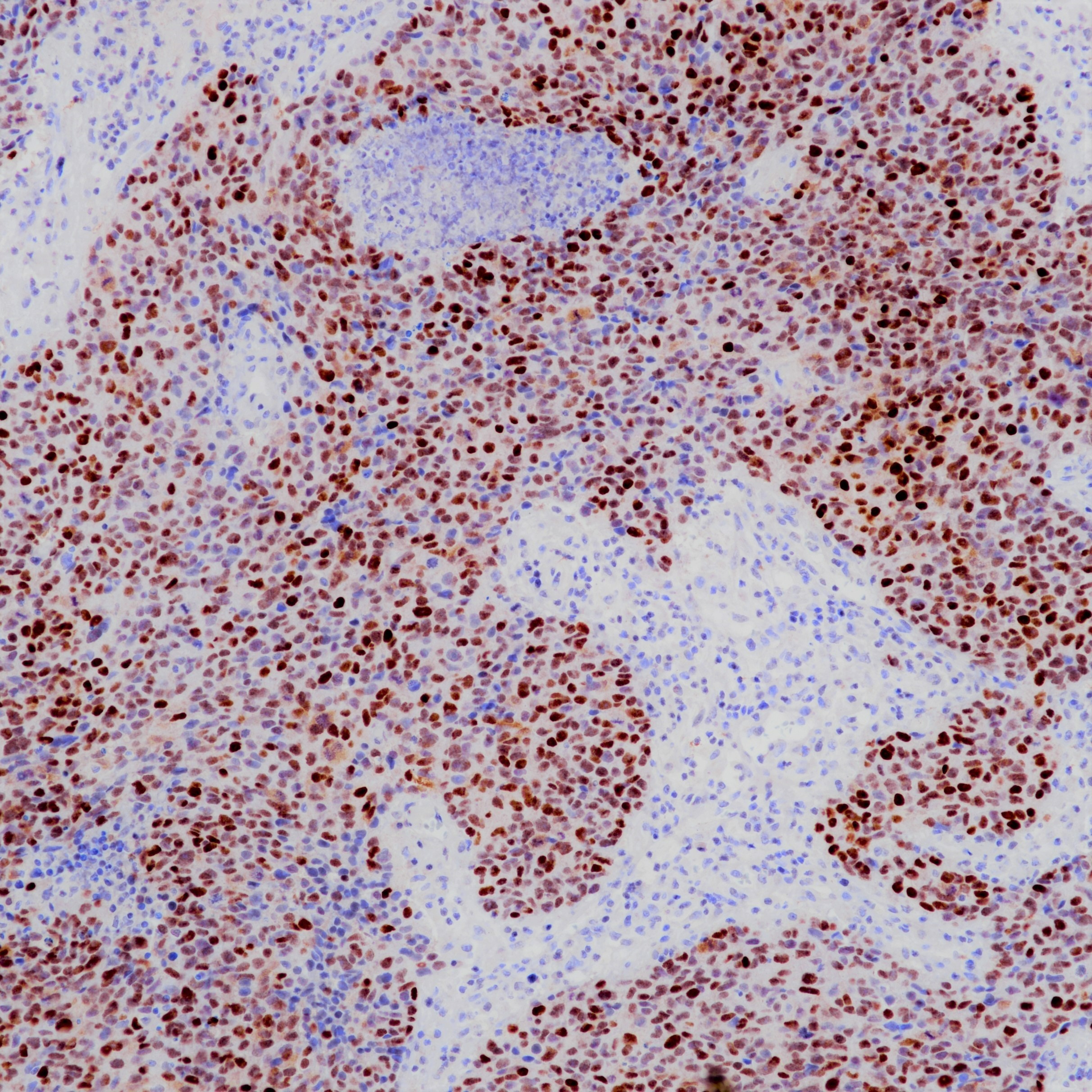
EB病毒是一种嗜淋巴细胞疱疹病毒,被国际癌症研究署列为致癌因子之一。EBER是EB病毒编码的小mRNA产物,存在于EB病毒潜伏期、复制期等各个时期。原位杂交检测EBERs能够定位EBV感染的细胞类型,是明确肿瘤与EBV相关的金标准。百凌生物全新推出EBER探针(原位杂交法)试剂,适用于石蜡包埋组织样本及细胞样本,适配LYNX480全自动免疫组化仪器,染色流程经过优化设置,可实现全流程标准化管理,精准快捷高效检出EBER1 & EBER2,明确EBV感染情况。
Specifications
产品注册名称
EBER探针(原位杂交法)
目录号
I1243
规格
50测试/盒
100测试/盒
用途
NMPA IVD
Applicable platform
Biolynx平台
Leica平台
Roche平台
Dako平台
Support Documents
Datesheet
Contact Us
Address
浙江省杭州市滨江区滨安路688号天和高科技园区5号楼1303室
310052
Phone & Fax
+400-8769-741
+0571-88177680
Web & Mail
[email protected]
Follow Us
Scan QR Codes on Your Phone