产品中心

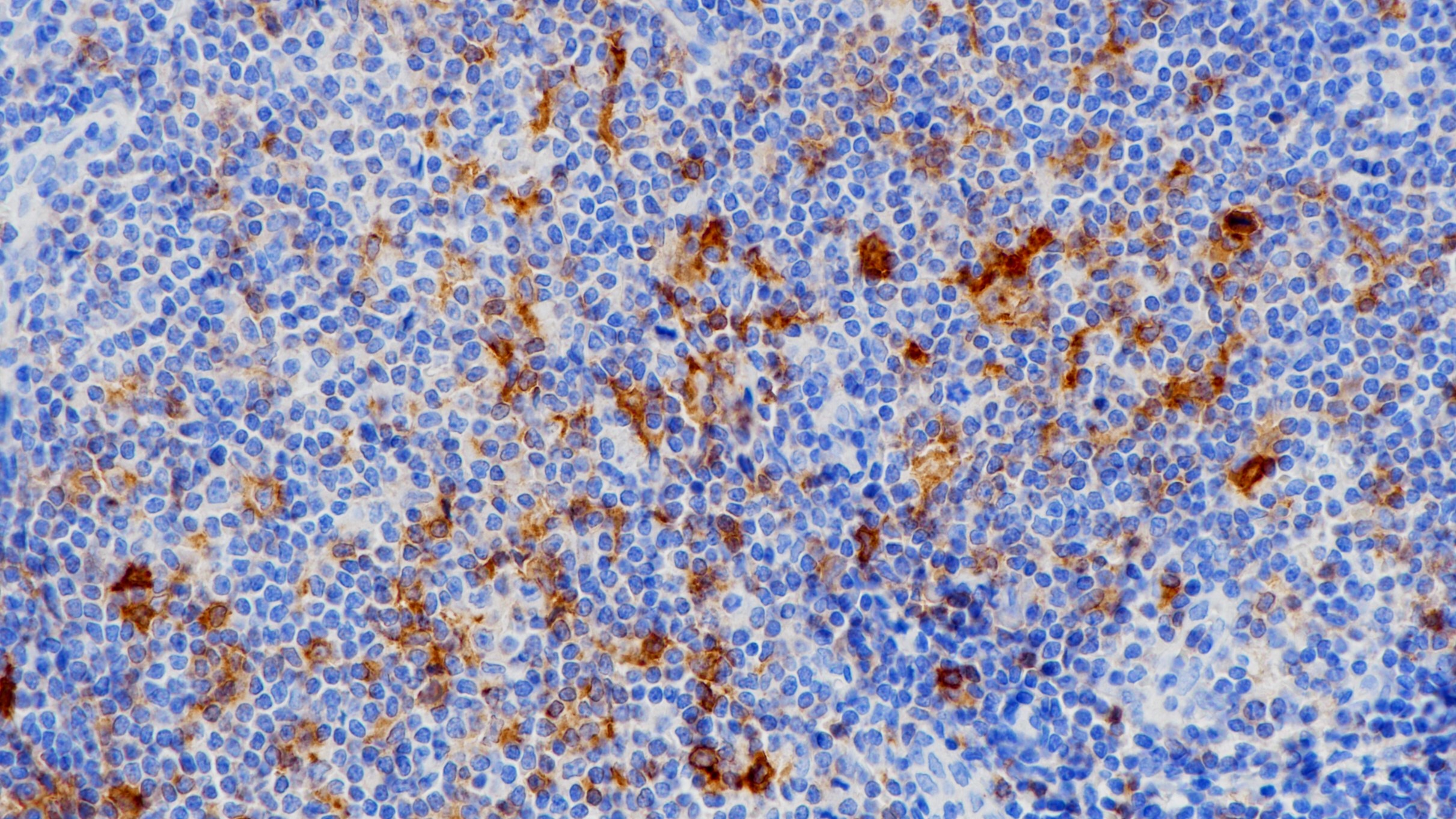
CD25 重组兔单克隆抗体

CD25 由251个氨基酸组成的Ⅰ型膜贯通性糖蛋白。细胞外领域有2个短共有序列(SCR)领域,O型糖链等,主要分布于活化T细胞、活化B细胞及活化单核/巨噬细胞。CD25是IL-2受体的α链。

Specifications

产品注册名称
CD25抗体试剂(免疫组织化学)
目录号
I1111
克隆号
BP6120
亚细胞定位
细胞膜
阳性对照
结肠癌
修复方式
HIER
组织类型
FFPE
规格
工作液:1.5mL/7mL
浓缩液:0.1mL/1mL
用途
NMPA IVD
CE

Applicable platform

  • Biolynx平台
  • Leica平台
  • Roche平台
  • Dako平台

Reference

1. Yuan B, He J, Kisoh K, et al. Effects of active bufadienolide compounds on human cancer cells and CD4+CD25+Foxp3+ regulatory T cells in mitogen-activated human peripheral blood mononuclear cells.[J]. Oncology Reports, 2016, 36(3):1377.

2. Wada M, Tsuchikawa T, Kyogoku N,etal.Clinical Implications of CD4+CD25+Foxp3+Regulatory T Cell Frequencies After CHP-MAGE-A4 Cancer Vaccination.[J]. Anticancer Research, 2018, 38(3):1435-1444.

Support Documents

Contact Us

Address
浙江省杭州市滨江区滨安路688号天和高科技园区5号楼1303室
310052
Phone & Fax
+400-8769-741
+0571-88177680
Web & Mail

Follow Us

Scan QR Codes on Your Phone