产品中心

Calcitonin 重组兔单克隆抗体

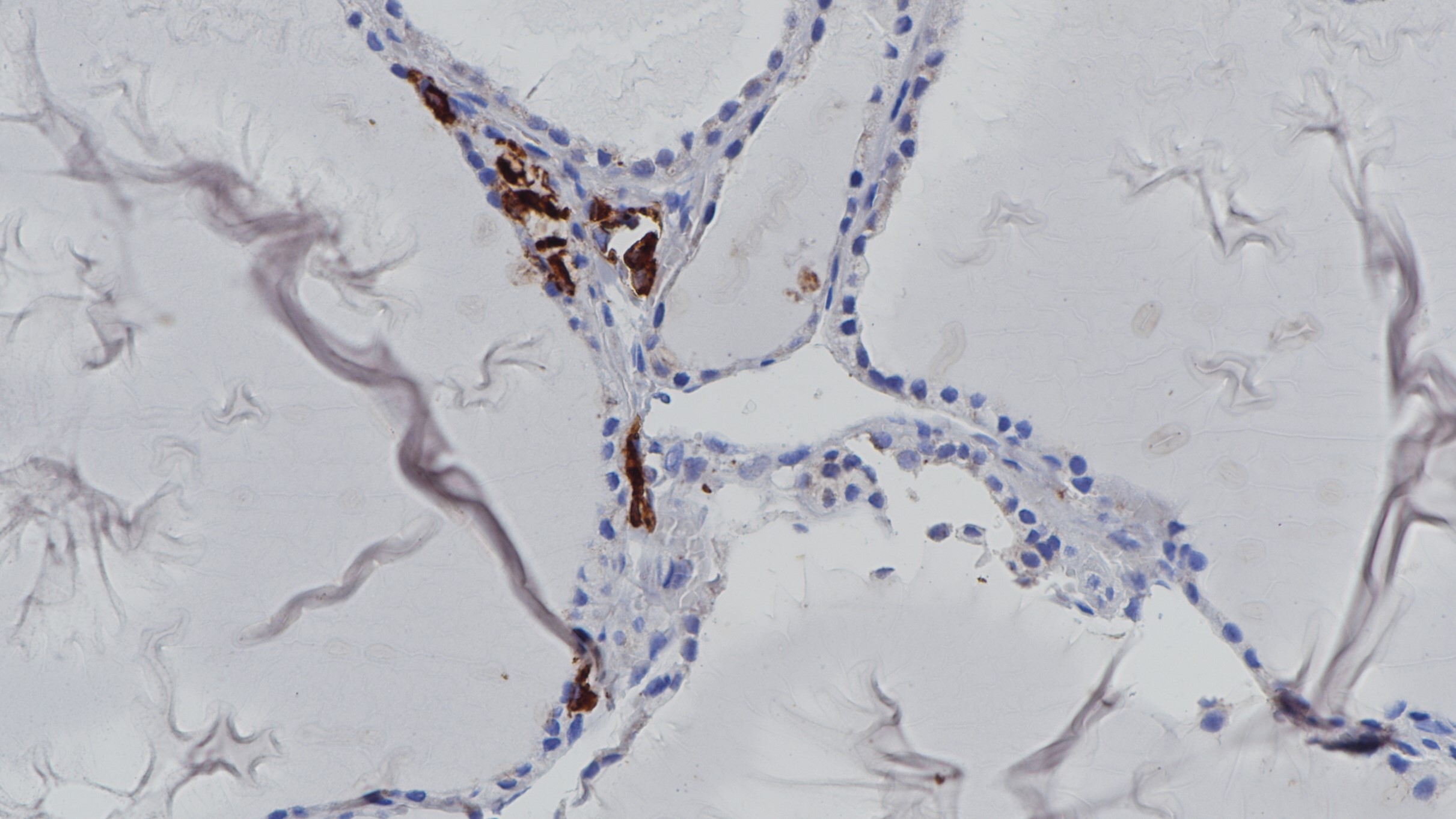
降钙素(calcitonin,CT)是由甲状腺滤泡旁细胞(C细胞)分泌的一种多肽激素,分子量为350kDa,其主要应用于甲状腺C细胞增生、甲状腺髓样癌的诊断,在部分神经内分泌细胞肿瘤会有阳性表达。

Specifications

产品注册名称
Calcitonin降钙素抗体试剂(免疫组织化学)
目录号
I1126
克隆号
BP6128
亚细胞定位
细胞质
阳性对照
甲状腺髓样癌
修复方式
HIER
组织类型
FFPE
规格
工作液:1.5mL/7mL
浓缩液:0.1mL/1mL
用途
NMPA IVD
CE

Applicable platform

  • Biolynx平台
  • Leica平台
  • Roche平台
  • Dako平台

Reference

1. Silva O L , Broder L E , Doppman J L , et al. Calcitonin as a marker for bronchogenic cancer: a prospective study[J]. Cancer, 2015, 44(2):680-684.

2. 中华医学会.《临床技术操作规范·病理学分册》.人民军医出版社,2004.

 

Support Documents

Contact Us

Address
浙江省杭州市滨江区滨安路688号天和高科技园区5号楼1303室
310052
Phone & Fax
+400-8769-741
+0571-88177680
Web & Mail

Follow Us

Scan QR Codes on Your Phone