产品中心

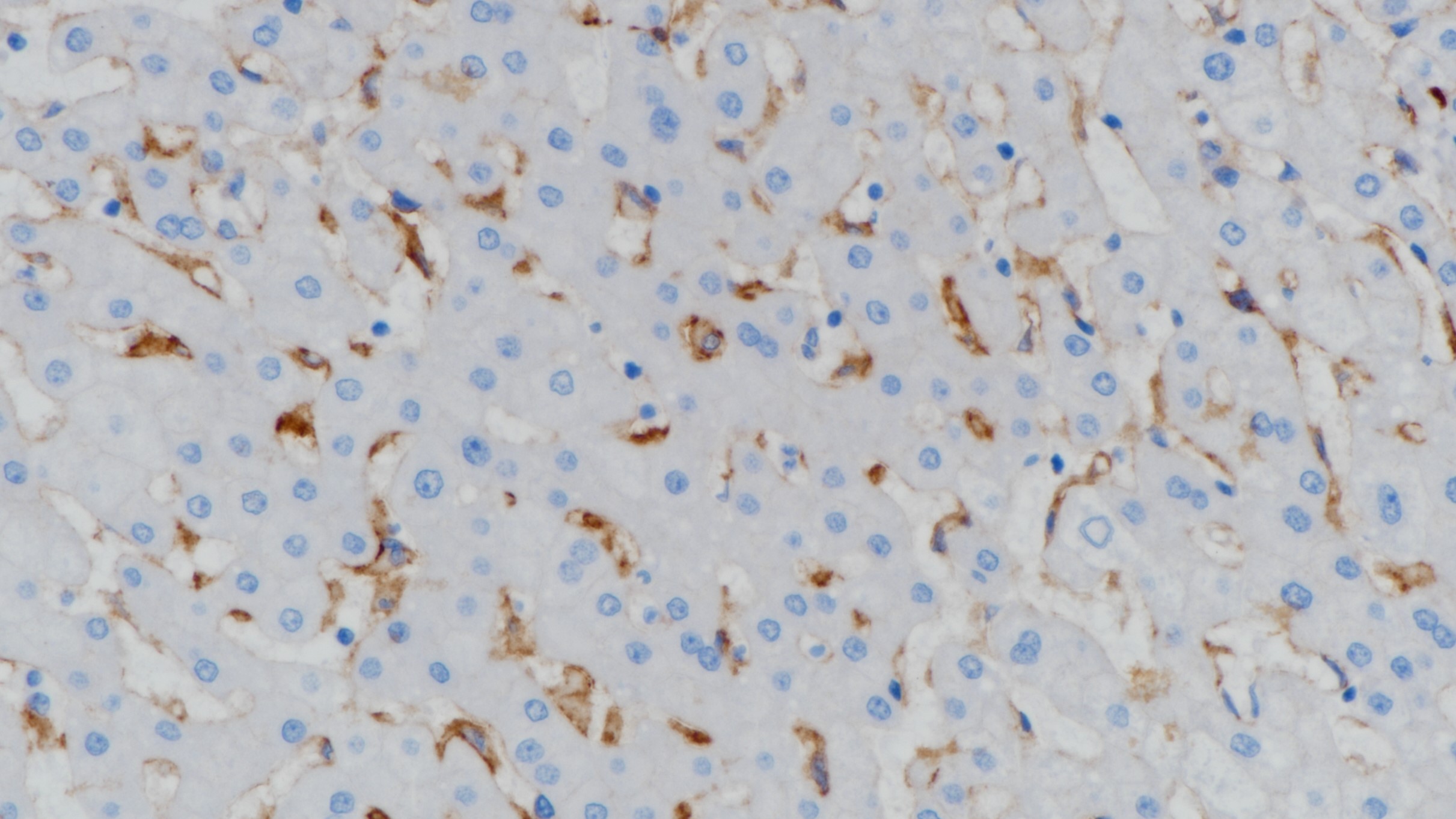
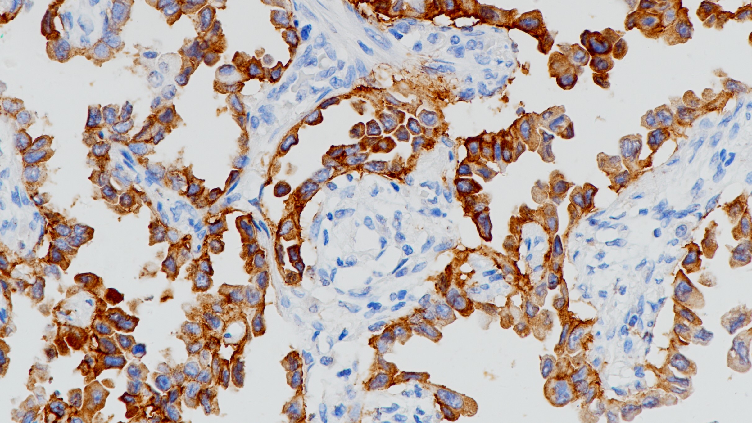
CD14 重组兔单克隆抗体

CD14即脂多糖(LPS)受体,在单核细胞和巨噬细胞中强表达,而在中性粒细胞上表达较弱。CD14通过糖基磷脂酰肌醇(GPI)锚定于细胞膜,其功能是作为LPS和LPS结合蛋白复合体的高亲和受体。可溶性CD14也可与LPS结合,在生理浓度下可作为LPS受体的诱导剂,而在高浓度下LPS 对细胞活化有拮抗作用。

Specifications

产品注册名称
CD14抗体试剂(免疫组织化学)
目录号
I1094
克隆号
BP6111
亚细胞定位
细胞膜
阳性对照
阑尾
修复方式
HIER
组织类型
FFPE
规格
工作液:1.5mL/7mL
浓缩液:0.1mL/1mL
用途
NMPA IVD
CE

Applicable platform

  • Biolynx平台
  • Leica平台
  • Roche平台
  • Dako平台

Reference

1.Gregory CD, et al. CD14 and apoptosis. Apoptosis. 1999; 4:11-20.

2.Wright SD, et al. CD14, a receptor for complexes of lipopolysaccharide (LPS) and LPS binding protein. Science. 1990; 249: 1431-33.

Support Documents

Contact Us

Address
浙江省杭州市滨江区滨安路688号天和高科技园区5号楼1303室
310052
Phone & Fax
+400-8769-741
+0571-88177680
Web & Mail

Follow Us

Scan QR Codes on Your Phone