首页
创新研发
产品中心
病理IHC整体解决方案
IVD一抗
LYNX310设备
LYNX480设备
免疫显色系统及辅助试剂
RUO试剂
液态细胞质控品
科研创新
科研目录抗体
技术服务
服务中心
资料下载
技术支持
关于我们
公司概况
新闻动态
荣誉资质
人才服务
联系我们
简体中文
简体中文
English
产品中心
病理IHC整体解决方案
科研创新
IVD一抗
LYNX310设备
LYNX480设备
免疫显色系统及辅助试剂
RUO试剂
液态细胞质控品
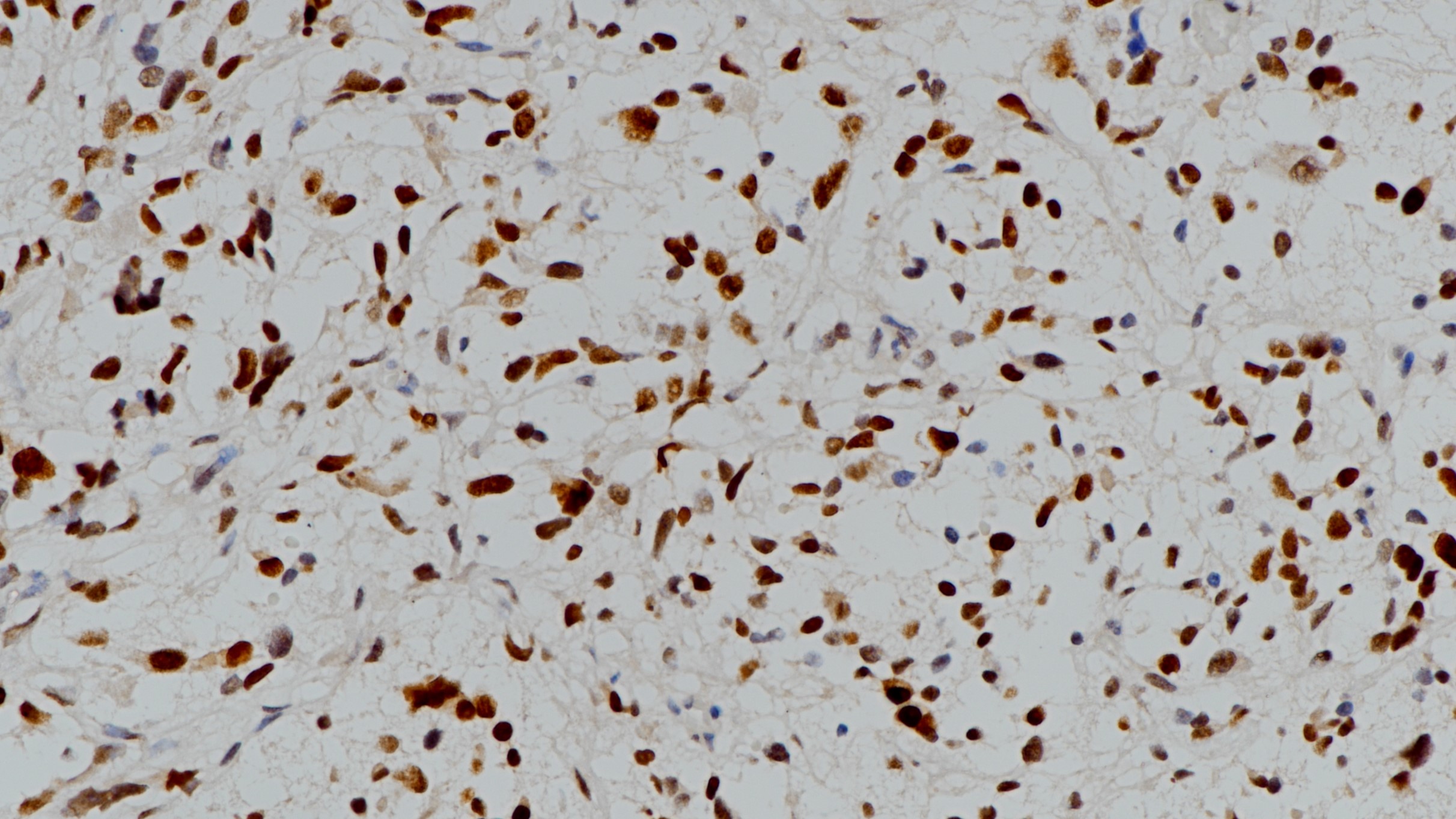
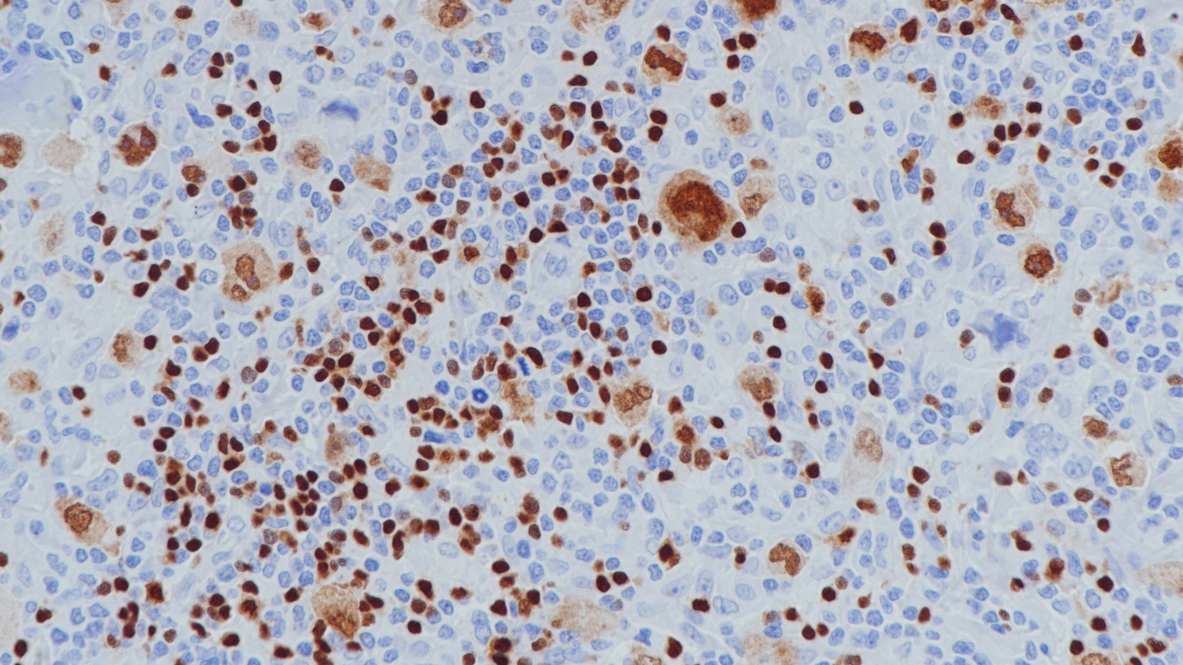
神经母细胞瘤n-Myc(BP6155)染色
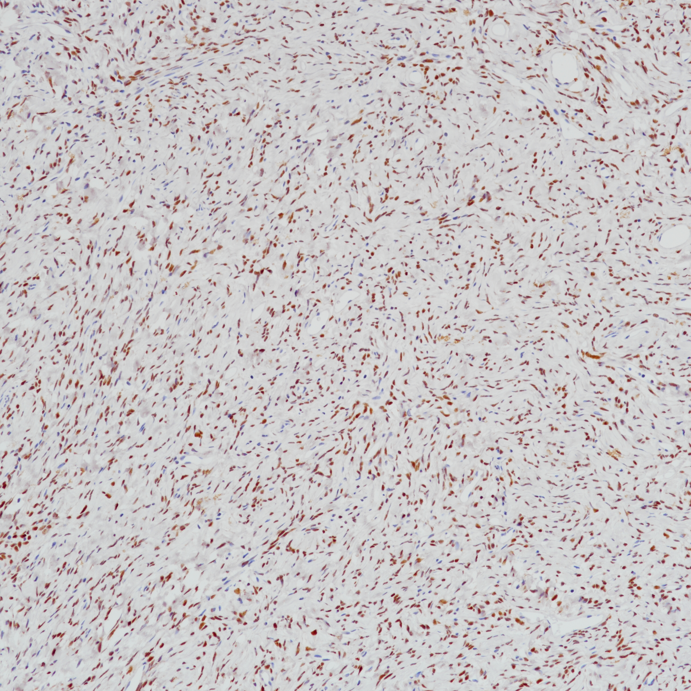
睾丸n-Myc(BP6155)染色
相关产品
GFAP(Glial Fibrillary Acidic Protein)
BP6061
Oct3/4
BP6164
TROP2
BP6208
n-Myc
兔单克隆抗体
n-Myc作为细胞转录因子,在细胞增殖,分化和凋亡等细胞行为发挥重要作用。n-MYC可在胚胎发育和成体B细胞发育过程中表达。许多研究证实,N-myc 扩增和过度表达与神经母细胞瘤浸润、转移和不良预后密切相关。
Specifications
产品注册名称
原癌基因蛋白N(n-Myc)抗体试剂
目录号
I1179
克隆号
BP6155
亚细胞定位
细胞核
阳性对照
神经母细胞瘤
修复方式
HIER
组织类型
FFPE
规格
工作液:1.5mL/7mL
用途
NMPA IVD
Applicable platform
Biolynx平台
Leica平台
Roche平台
Dako平台
Support Documents
Datesheet
Contact Us
Address
浙江省杭州市滨江区滨安路688号天和高科技园区5号楼1303室
310052
Phone & Fax
+400-8769-741
+0571-88177680
Web & Mail
[email protected]
Follow Us
Scan QR Codes on Your Phone