产品中心

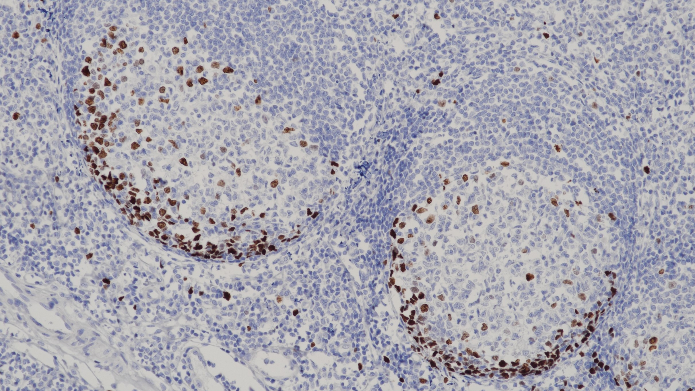
TOP2A 重组兔单克隆抗体

Topoisomerase II-α是一种核蛋白,分子量约为170 kDa,在DNA合成、RNA转录和有丝分裂的染色体分离中有重要作用。Topoisomerase II-α在S晚期、G2向M期转换过程及发育调节正常细胞中是一个敏感和特异性的标志物,而且在许多人肿瘤中是过表达的。Topoisomerase II-α表达减少是一些化疗药物受抵制的主要机制。

Specifications

产品注册名称
TOP2A抗体试剂
目录号
I1004
克隆号
BP6016
亚细胞定位
细胞核
阳性对照
宫颈癌
修复方式
HIER
组织类型
FFPE
规格
工作液:1.5mL/7mL
浓缩液:0.1mL/1mL
用途
NMPA IVD
CE

Applicable platform

  • Biolynx平台
  • Leica平台
  • Roche平台
  • Dako平台

Reference

1.Lynch BJ et al. Hum Pathol. 1997 Oct;28(10):1180-8.

2.Gupta D et al. Appl Immunohistochem Mol Morphol. 2001 Sep;9(3):215-21.

3.中华医学会.《临床技术操作规范·病理学分册》.人民军医出版社,2004.

Support Documents

Contact Us

Address
浙江省杭州市滨江区滨安路688号天和高科技园区5号楼1303室
310052
Phone & Fax
+400-8769-741
+0571-88177680
Web & Mail

Follow Us

Scan QR Codes on Your Phone