首页
创新研发
产品中心
病理IHC整体解决方案
IVD一抗
LYNX310设备
LYNX480设备
免疫显色系统及辅助试剂
RUO试剂
液态细胞质控品
科研创新
科研目录抗体
技术服务
服务中心
资料下载
技术支持
关于我们
公司概况
新闻动态
荣誉资质
人才服务
联系我们
简体中文
简体中文
English
产品中心
病理IHC整体解决方案
科研创新
IVD一抗
LYNX310设备
LYNX480设备
免疫显色系统及辅助试剂
RUO试剂
液态细胞质控品
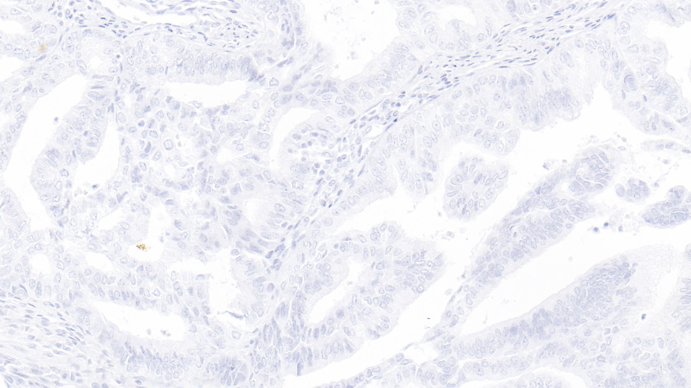
ROS1(D4D6)非小细胞肺癌 阴性组织染色
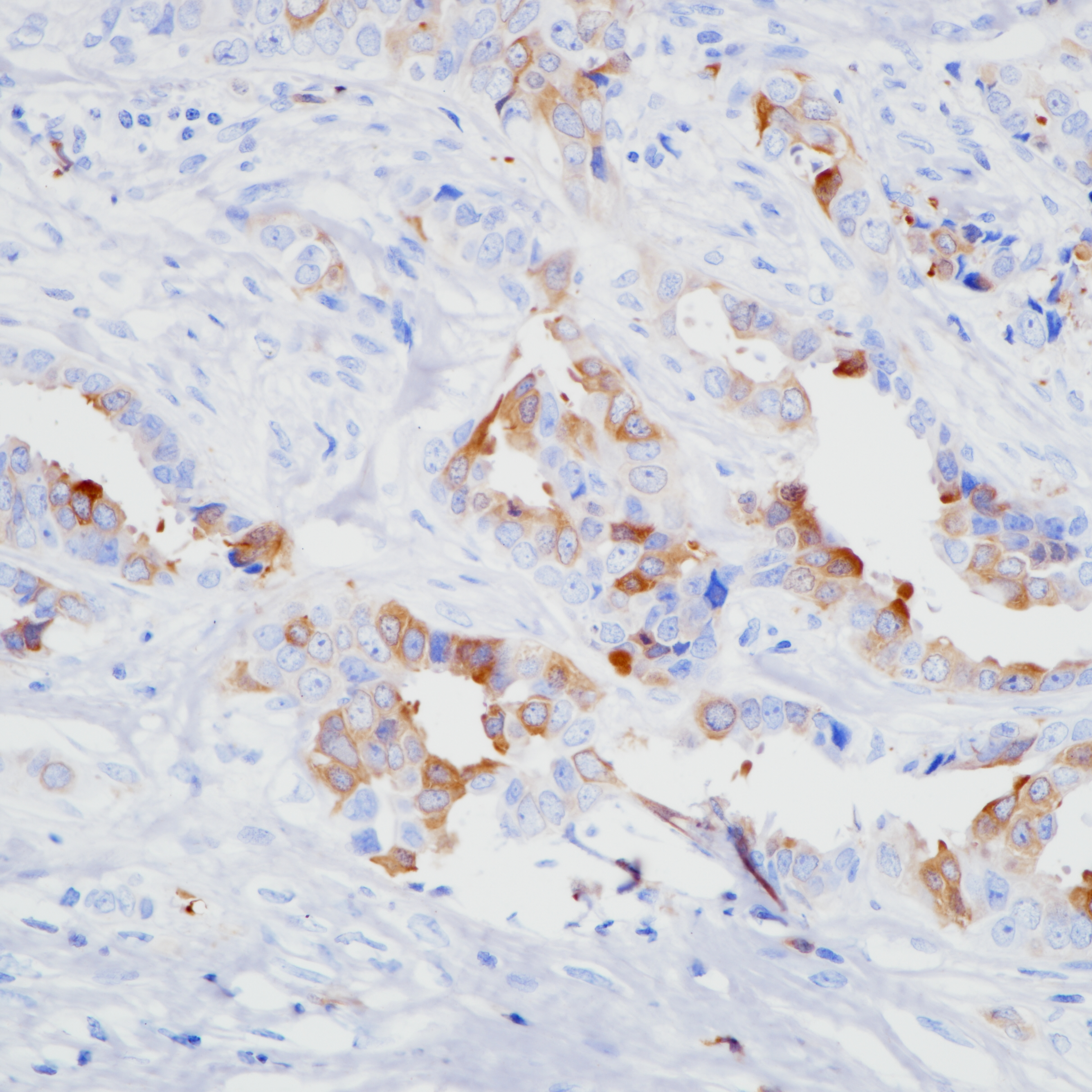
肺腺癌ROS1(D4D6)染色
相关产品
Myeloperoxidase(MPO)
BP6104
CD79a
BP6040
HCG β
BP6198
ROS1
兔单克隆抗体
ROS1 是胰岛素受体家族的一种孤儿受体酪氨酸激酶,位于6号染色体上,由包括 6 个纤连蛋白重复序列的大胞外域,跨膜结构域和胞内激酶结构域组成。研究发现,在成胶质细胞瘤细胞中发现 ROS1 的首个致癌融合蛋白 FIG-ROS1,且在胆管癌、卵巢癌和非小细胞肺癌 (NSCLC) 细胞中也存在这种融合蛋白,其中在非小细胞肺癌里的突变频率为1%-2%,可用克唑替尼治疗。
Specifications
产品注册名称
ROS1抗体试剂(免疫组织化学法)
目录号
I1185
克隆号
D4D6
亚细胞定位
细胞质
阳性对照
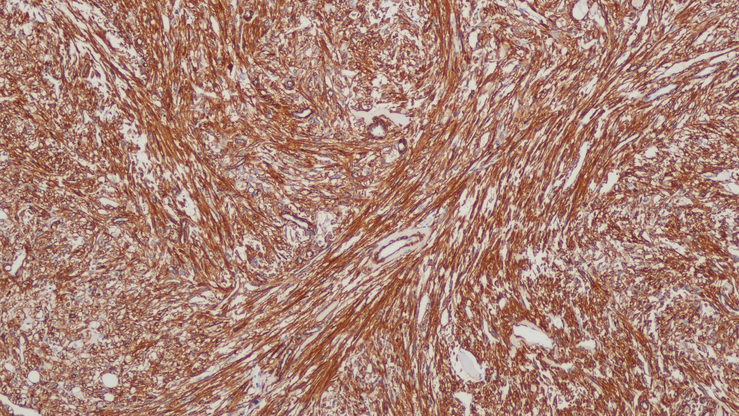
附睾
修复方式
HIER
组织类型
FFPE
规格
工作液:1.5mL/7mL
用途
NMPA IVD
Applicable platform
Biolynx平台
Leica平台
Roche平台
Dako平台
Support Documents
Datesheet
Contact Us
Address
浙江省杭州市滨江区滨安路688号天和高科技园区5号楼1303室
310052
Phone & Fax
+400-8769-741
+0571-88177680
Web & Mail
[email protected]
Follow Us
Scan QR Codes on Your Phone