产品中心

Factor VIII(Von Willebrand Factor) 重组兔单克隆抗体

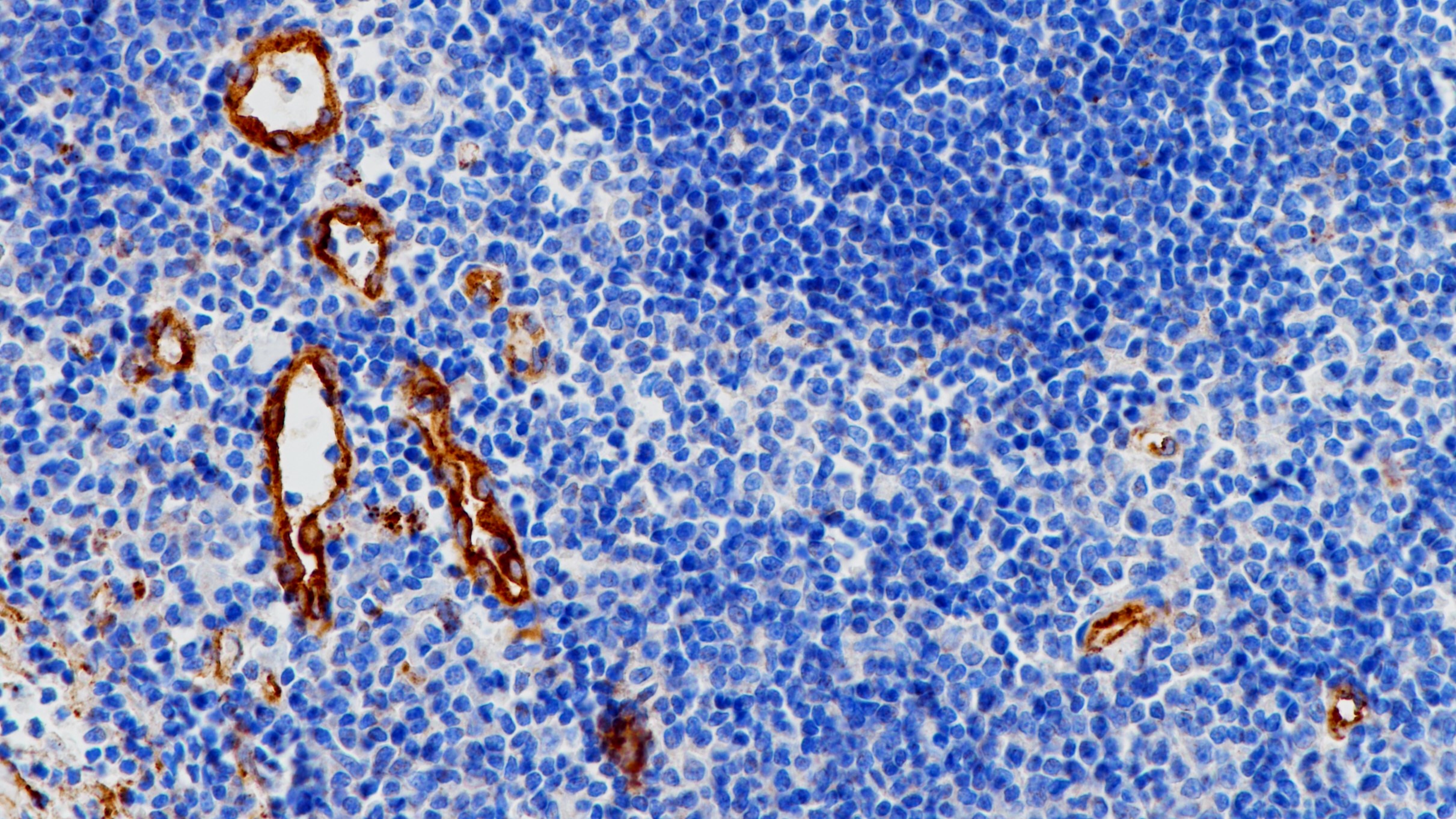
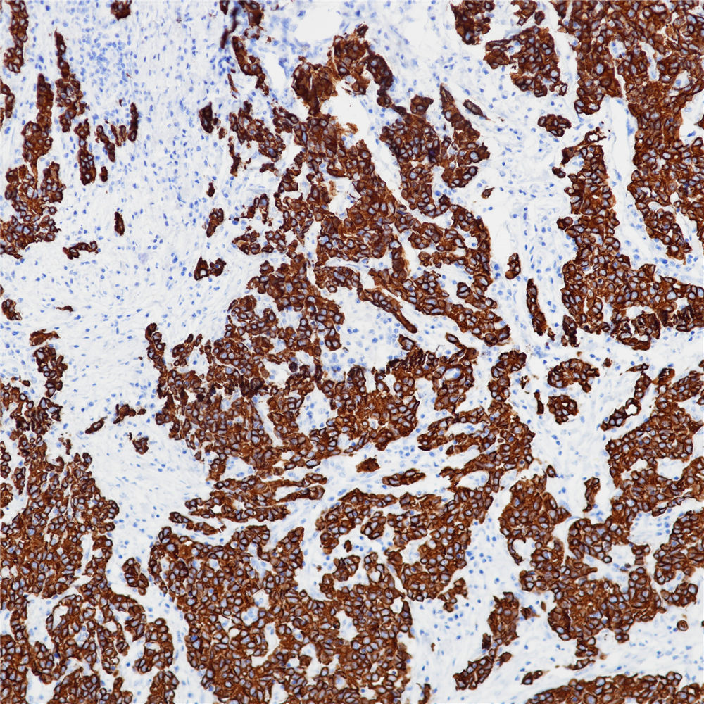
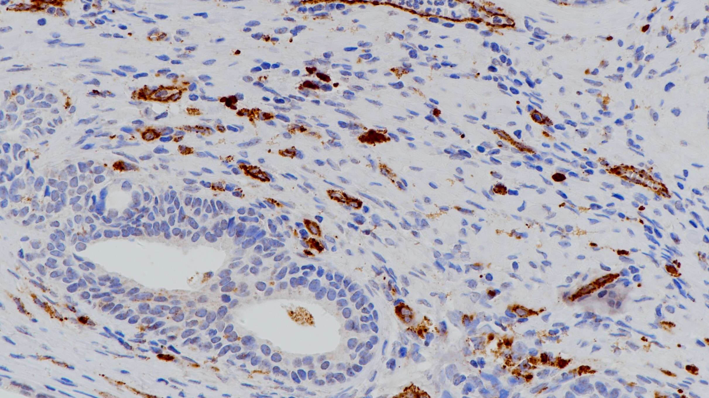
人血管性血友病因子(VWF)是一种309KDa的多聚体血浆糖蛋白,通过在内皮下的胶原蛋白基质和血小板-表面受体复合物GPIb-IX-V之间形成分子桥,促进血小板与血管损伤部位的粘附,从而在维持止血方面起到重要作用 。VWF也可作为凝血因子VIII的分子伴侣,将其传递至损伤部位,稳定其异二聚体结构并保护其免受血浆过早清除。 VWF是由内皮细胞合成,据报道在许多血管来源的肿瘤中表达。 IHC结果有助于急性髓性白血病FAB型M7,血管肉瘤和上皮样血管内皮瘤的分类。

Specifications

产品注册名称
Factor VIII受体抗体试剂
目录号
I1068
克隆号
BP6084
亚细胞定位
细胞质
阳性对照
宫颈
修复方式
HIER
组织类型
FFPE
规格
工作液:1.5mL/7mL
浓缩液:0.1mL/1mL
用途
NMPA IVD
CE

Applicable platform

  • Biolynx平台
  • Leica平台
  • Roche平台
  • Dako平台

Reference

1.Weidner N, Semple JP, Welch WR, Folkman J. N Engl J Med 1991,324:1-8.

2.Obermair A, Wanner C, Bilgi S, Speiser P, et al. Am J Obstet Gynecol 1998 Feb;178(2):314-319.

Support Documents

Contact Us

Address
浙江省杭州市滨江区滨安路688号天和高科技园区5号楼1303室
310052
Phone & Fax
+400-8769-741
+0571-88177680
Web & Mail

Follow Us

Scan QR Codes on Your Phone