首页
创新研发
产品中心
病理IHC整体解决方案
IVD一抗
LYNX310设备
LYNX480设备
免疫显色系统及辅助试剂
RUO试剂
液态细胞质控品
科研创新
科研目录抗体
技术服务
服务中心
资料下载
技术支持
关于我们
公司概况
新闻动态
荣誉资质
人才服务
联系我们
简体中文
简体中文
English
产品中心
病理IHC整体解决方案
科研创新
IVD一抗
LYNX310设备
LYNX480设备
免疫显色系统及辅助试剂
RUO试剂
液态细胞质控品
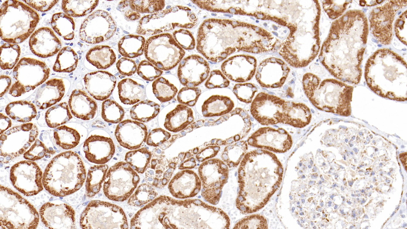
肾FH(J-13)染色
FH表达缺失的肿瘤FH(J-13)染色
相关产品
INA
2E3
SMA
1A4
AMACR/p504s
CMA158
FH
鼠单克隆抗体
延胡索酸水合酶(又称延胡索酸酶,FH)是一种典型的三羧酸循环线粒体酶,是催化延胡索酸转化为苹果酸可逆转变的酶。研究表明,FH基因缺失会导致HLRCC(遗传性平滑肌瘤病和肾细胞癌)。皮肤平滑肌瘤的FH免疫染色缺失可作为HLRCC的敏感和特异性标记物。
Specifications
产品注册名称
延胡索酸水合酶(FH)抗体试剂(免疫组织化学)
目录号
I1187
克隆号
J-13
亚细胞定位
细胞质
阳性对照
肾
修复方式
HIER
组织类型
FFPE
规格
工作液:1.5mL/7mL
用途
NMPA IVD
Applicable platform
Biolynx平台
Leica平台
Roche平台
Dako平台
Support Documents
Datesheet
Contact Us
Address
浙江省杭州市滨江区滨安路688号天和高科技园区5号楼1303室
310052
Phone & Fax
+400-8769-741
+0571-88177680
Web & Mail
[email protected]
Follow Us
Scan QR Codes on Your Phone