首页
创新研发
产品中心
病理IHC整体解决方案
IVD一抗
LYNX310设备
LYNX480设备
免疫显色系统及辅助试剂
RUO试剂
液态细胞质控品
科研创新
科研目录抗体
技术服务
服务中心
资料下载
技术支持
关于我们
公司概况
新闻动态
荣誉资质
人才服务
联系我们
简体中文
简体中文
English
产品中心
病理IHC整体解决方案
科研创新
IVD一抗
LYNX310设备
LYNX480设备
免疫显色系统及辅助试剂
RUO试剂
液态细胞质控品
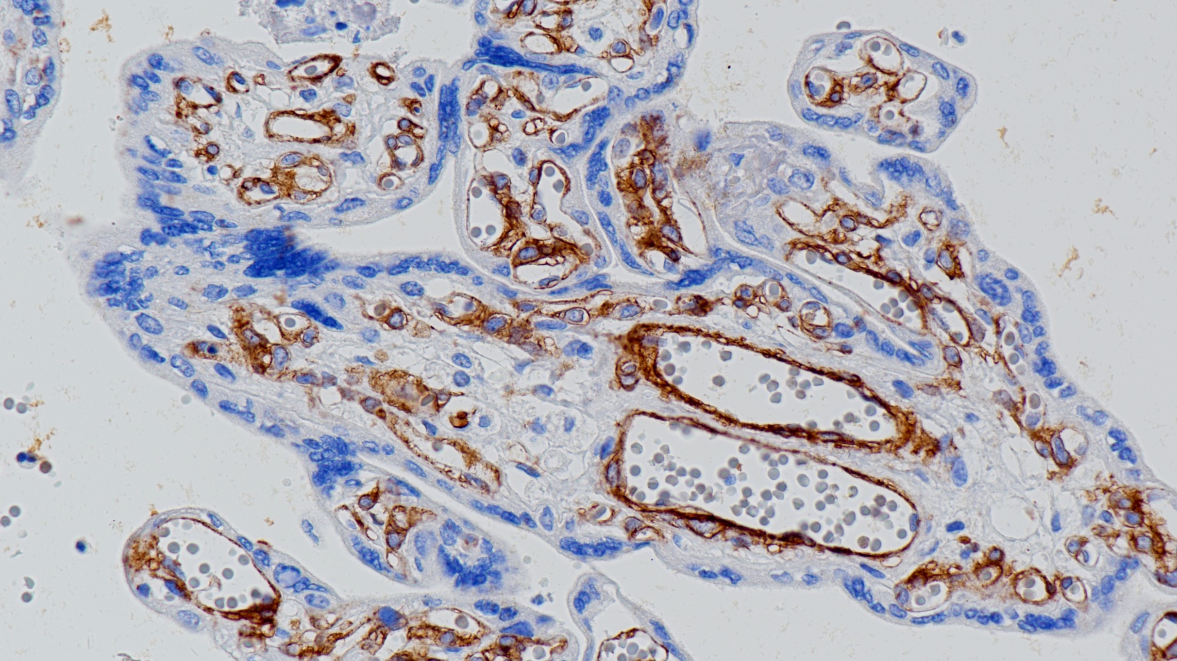
胎盘CD146(BP6162)染色
黑色素瘤CD146(BP6162)染色
相关产品
CD57
MyM1-CD57
AMACR/p504s
CMA158
Beta-Catenin
BP6159
CD146
重组兔单克隆抗体
CD146是一种分子量为72kDa蛋白质。CD146在细胞粘附和血管组织细胞间连接处内皮单层的粘连中发挥作用。它的表达可能使黑色素瘤细胞与血管系统的细胞元件相互作用,从而增强血液肿瘤的扩散。CD146在胚胎发育期间也是神经嵴细胞中活跃的粘附分子。
Specifications
产品注册名称
CD146抗体试剂(免疫组织化学法)
目录号
I1190
克隆号
BP6162
亚细胞定位
细胞膜
阳性对照
黑色素瘤
修复方式
HIER
组织类型
FFPE
规格
浓缩液:0.1mL/1mL
工作液:1.5mL/7mL
用途
NMPA IVD
CE
Applicable platform
Biolynx平台
Leica平台
Roche平台
Dako平台
Support Documents
Datesheet
Contact Us
Address
浙江省杭州市滨江区滨安路688号天和高科技园区5号楼1303室
310052
Phone & Fax
+400-8769-741
+0571-88177680
Web & Mail
[email protected]
Follow Us
Scan QR Codes on Your Phone