首页
创新研发
产品中心
病理IHC整体解决方案
IVD一抗
LYNX310设备
LYNX480设备
免疫显色系统及辅助试剂
RUO试剂
液态细胞质控品
科研创新
科研目录抗体
技术服务
服务中心
资料下载
技术支持
关于我们
公司概况
新闻动态
荣誉资质
人才服务
联系我们
简体中文
简体中文
English
产品中心
病理IHC整体解决方案
科研创新
IVD一抗
LYNX310设备
LYNX480设备
免疫显色系统及辅助试剂
RUO试剂
液态细胞质控品
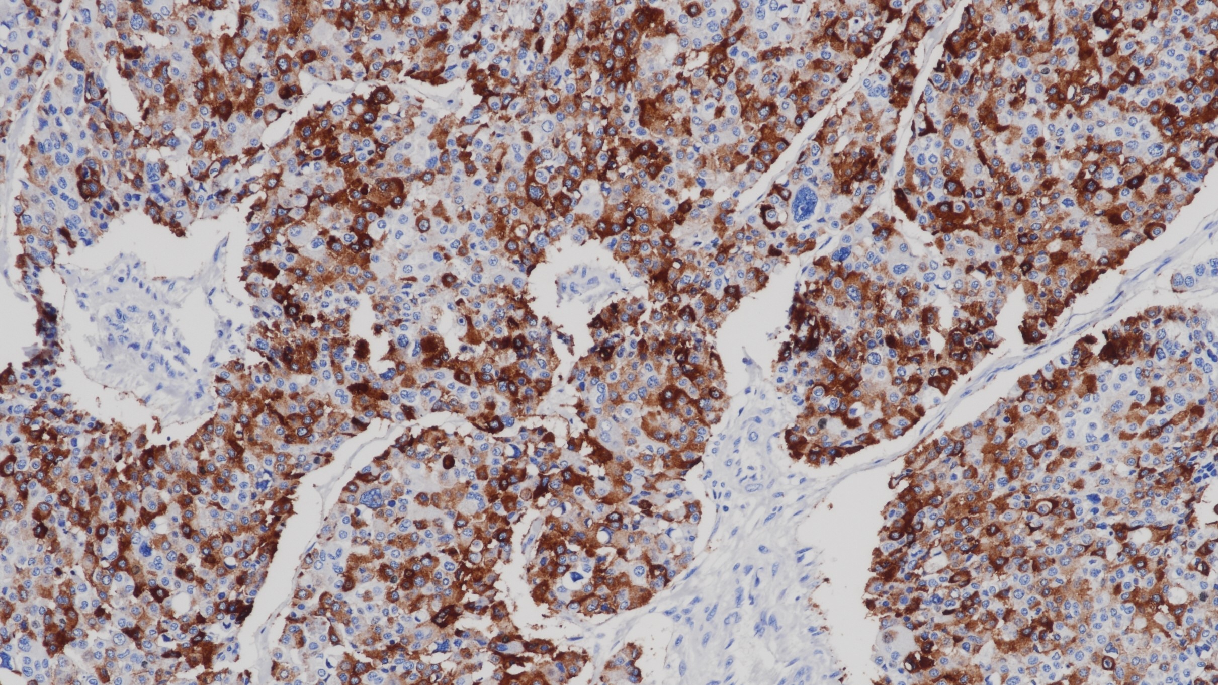
前列腺癌 AMACR(CMA158)染色
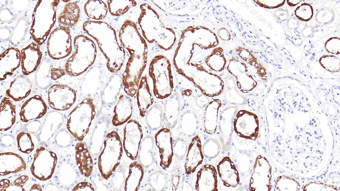
肾AMACR(CMA158)染色
相关产品
Glucagon
BP6265
Clusterin
BP6268
CD4
BP6028
AMACR/p504s
鼠单克隆抗体
AMACR/p504s是脂肪酸支链β氧化酶中的重要酶。AMACR在前列腺腺癌中高表达,而在良性前列腺组织则不表达。 AMACR的表达也可检测前列腺癌前病变,如:前列腺上皮内肿瘤(PIN)和非典型腺瘤增生。AMACR作为阳性标记连同作为阴性标记的基底细胞(34bE12/P63)一起染色,有助于确症PIN和前列腺癌小病灶。
Specifications
产品注册名称
AMACR/p504s抗体试剂(免疫组织化学)
目录号
I1194
克隆号
CMA158
亚细胞定位
细胞质
阳性对照
肝
修复方式
HIER
组织类型
FFPE
规格
浓缩液:0.1mL/1mL
工作液:1.5mL/7mL
用途
NMPA IVD
Applicable platform
Biolynx平台
Leica平台
Roche平台
Dako平台
Support Documents
Datesheet
Contact Us
Address
浙江省杭州市滨江区滨安路688号天和高科技园区5号楼1303室
310052
Phone & Fax
+400-8769-741
+0571-88177680
Web & Mail
[email protected]
Follow Us
Scan QR Codes on Your Phone