首页
创新研发
产品中心
病理IHC整体解决方案
IVD一抗
LYNX310设备
LYNX480设备
免疫显色系统及辅助试剂
RUO试剂
液态细胞质控品
科研创新
科研目录抗体
技术服务
服务中心
资料下载
技术支持
关于我们
公司概况
新闻动态
荣誉资质
人才服务
联系我们
简体中文
简体中文
English
产品中心
病理IHC整体解决方案
科研创新
IVD一抗
LYNX310设备
LYNX480设备
免疫显色系统及辅助试剂
RUO试剂
液态细胞质控品
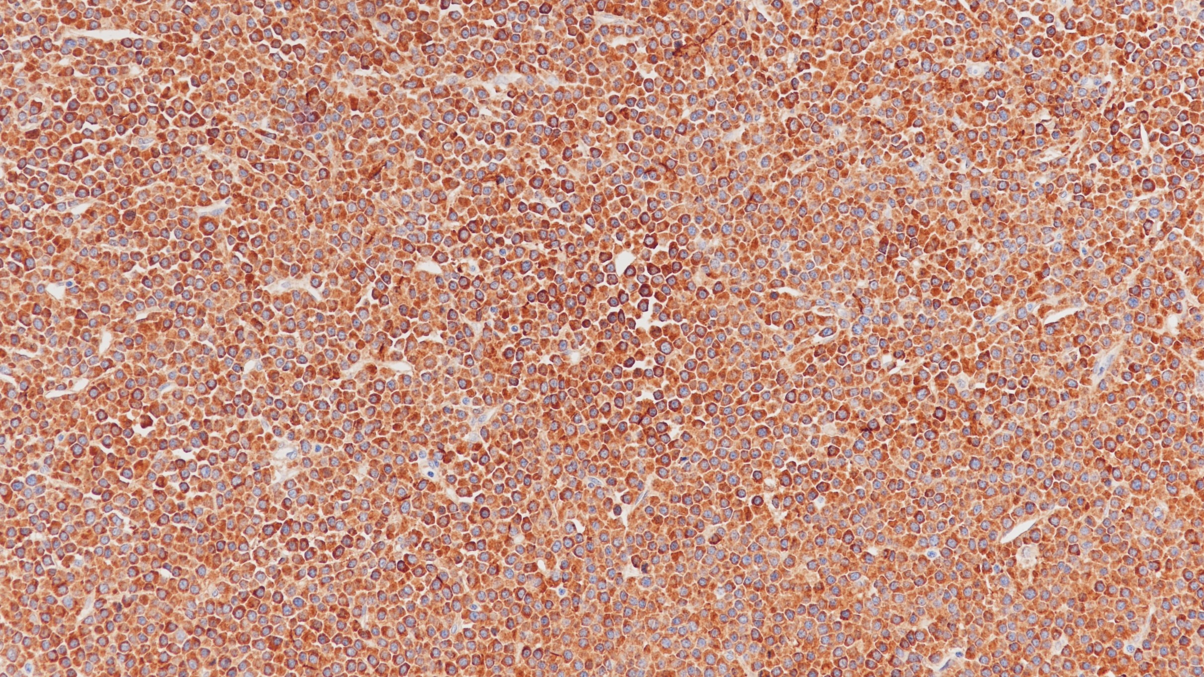
浆细胞瘤IgA(BP6169)染色
扁桃体IgA(BP6169)染色
相关产品
PD-L1
BP6099
CD7
BP6105
Cytokeratin 8(CK8)
BP6005
IgA
重组兔单克隆抗体
免疫球蛋白A (IgA)是一种分子量为72kDa蛋白质。IgA在黏膜免疫中起着重要作用。它存在于粘膜分泌物中,如眼泪、唾液、初乳、肠液、阴道液、前列腺和呼吸道上皮的分泌物,是抵御脆弱粘膜表面吸入和摄入病原体侵袭的第一道防线。IgA在鉴别多发性骨髓瘤和浆细胞瘤时很有用。
Specifications
产品注册名称
IgA抗体试剂(免疫组织化学)
目录号
I1191
克隆号
BP6169
亚细胞定位
细胞质
阳性对照
扁桃体
修复方式
HIER
组织类型
FFPE
规格
浓缩液:0.1mL/1mL
工作液:1.5mL/7mL
用途
NMPA IVD
Applicable platform
Biolynx平台
Leica平台
Roche平台
Dako平台
Support Documents
Datesheet
Contact Us
Address
浙江省杭州市滨江区滨安路688号天和高科技园区5号楼1303室
310052
Phone & Fax
+400-8769-741
+0571-88177680
Web & Mail
[email protected]
Follow Us
Scan QR Codes on Your Phone