产品中心

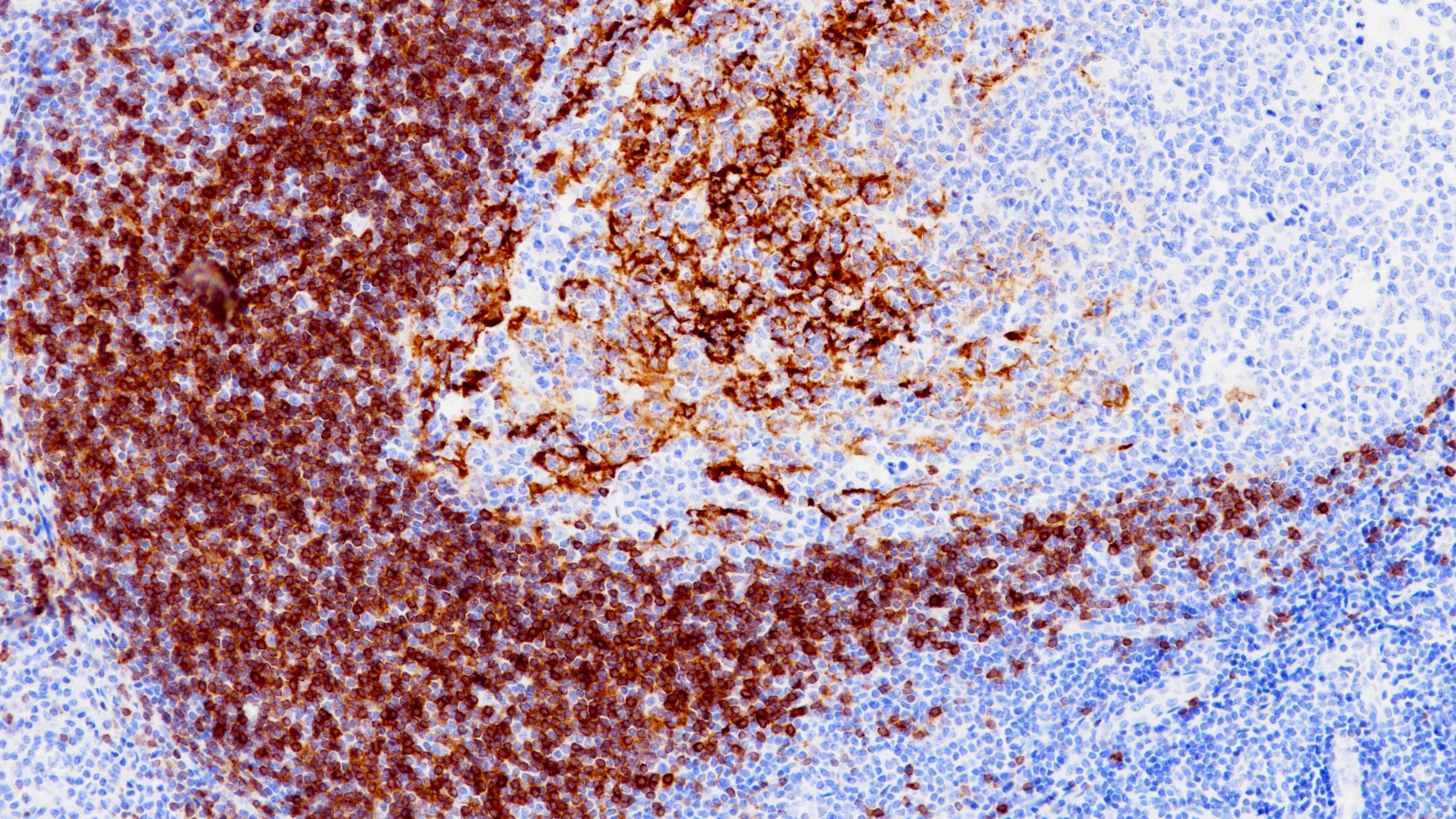
CD23 重组兔单克隆抗体

CD23抗原是一种在多种造血细胞中表达的跨膜糖蛋白,作为IgE的低亲和力受体并参与调节IgE产生。CD23在一些成熟的B细胞淋巴瘤和霍奇金淋巴瘤的R-S细胞中表达。滤泡树突状细胞和生发中心内活化的B细胞会密集表达CD23,而外套层区域的B细胞染色却较弱。大多数慢性淋巴细胞白血病/小淋巴细胞淋巴瘤表现为CD23阳性,而套细胞淋巴瘤通常为CD23阴性。CD23已被证明有助于区分小淋巴细胞淋巴瘤和套细胞淋巴瘤。

Specifications

产品注册名称
CD23抗体试剂(免疫组织化学)
目录号
I1040
克隆号
BP6049
亚细胞定位
细胞膜
阳性对照
扁桃体
修复方式
HIER
组织类型
FFPE
规格
工作液:1.5mL/7mL
浓缩液:0.1mL/1mL
用途
NMPA IVD
CE

Applicable platform

  • Biolynx平台
  • Leica平台
  • Roche平台
  • Dako平台

Reference

1.Jin MK, et al. Histopathology. 2011 Mar; 58(4):586-92.

2.Akatsuka N, et al. Auris Nasus Larynx. 2011 Jun; 38(3):362-6.

3.中华医学会.《临床技术操作规范·病理学分册》.人民军医出版社,2004.

 

Support Documents

Contact Us

Address
浙江省杭州市滨江区滨安路688号天和高科技园区5号楼1303室
310052
Phone & Fax
+400-8769-741
+0571-88177680
Web & Mail

Follow Us

Scan QR Codes on Your Phone