

1.胡波,孟庆大,李燕,王辅林.NeuN、突触素、Oligo-2和GFAP在中枢神经细胞瘤诊断与鉴别诊断中的作用[J].诊断病理学杂志,2008(05):415-417.
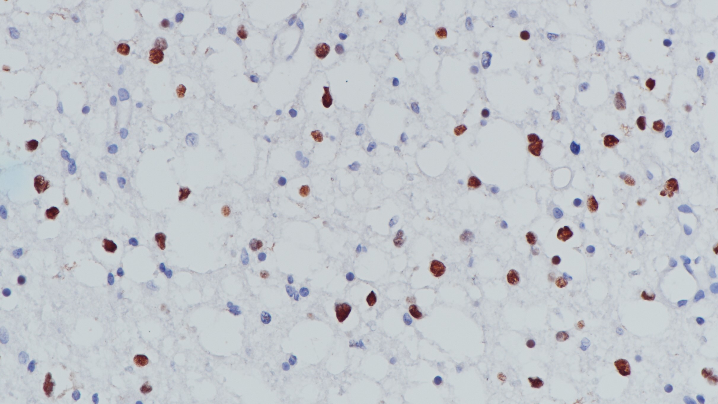
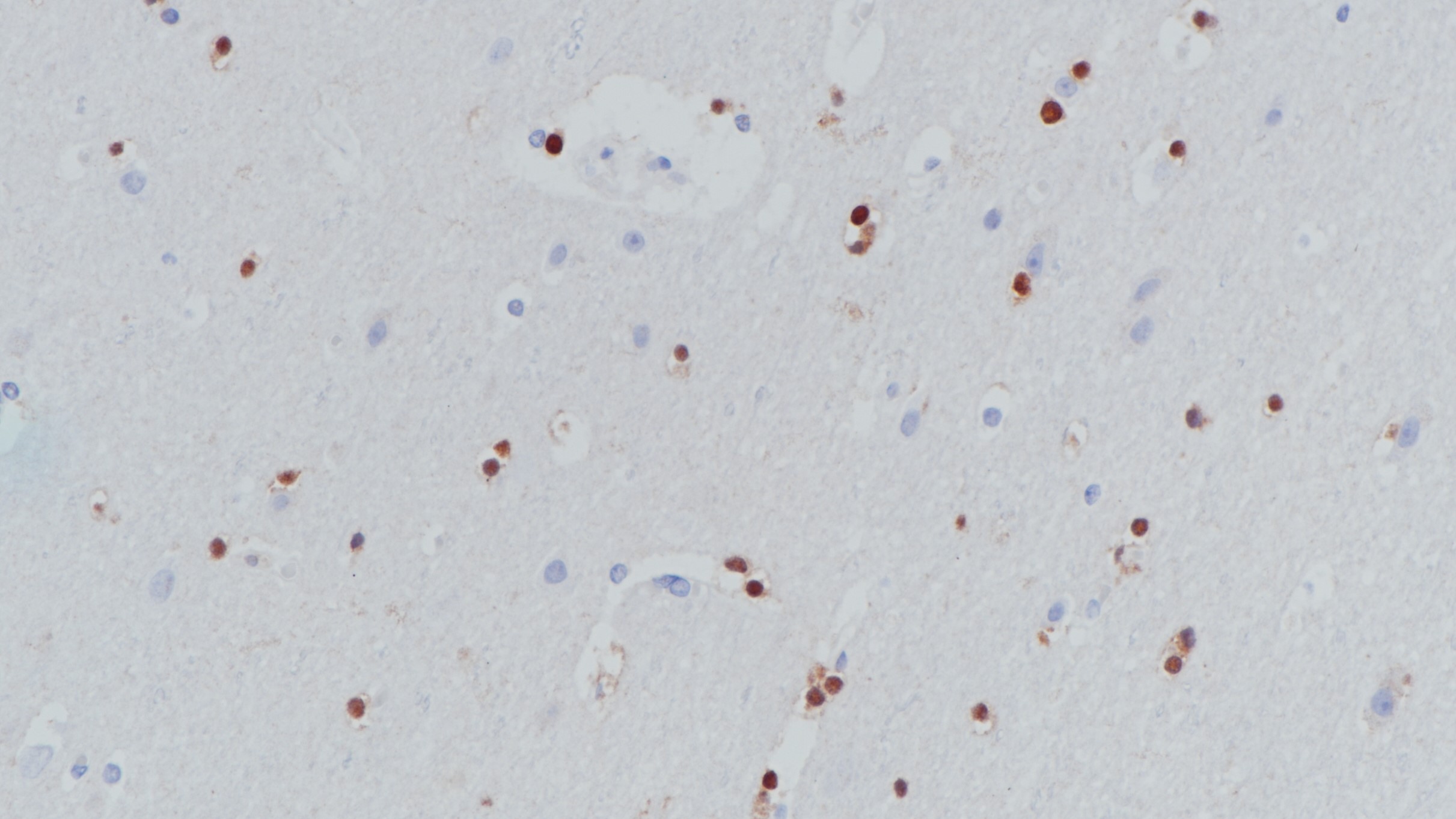
2.Olig-2在人脑胶质细胞瘤中的表达及临床意义[J]. 周杰,程光,章翔,王江,刘斌,董亮,陈晓燕. 中华神经外科疾病研究杂志. 2009(04).
3.Olig2-dependent reciprocal shift in PDGF and EGF receptor signaling regulates tumor phenotype and mitotic growth in malignant glioma. Lu FH,Chen Y,Zhao CT,et al. Cell . 2016
4.中华医学会.《临床技术操作规范·病理学分册》.人民军医出版社,2004.