首页
创新研发
产品中心
病理IHC整体解决方案
IVD一抗
LYNX310设备
LYNX480设备
免疫显色系统及辅助试剂
RUO试剂
液态细胞质控品
科研创新
科研目录抗体
技术服务
服务中心
资料下载
技术支持
关于我们
公司概况
新闻动态
荣誉资质
人才服务
联系我们
简体中文
简体中文
English
产品中心
病理IHC整体解决方案
科研创新
IVD一抗
LYNX310设备
LYNX480设备
免疫显色系统及辅助试剂
RUO试剂
液态细胞质控品
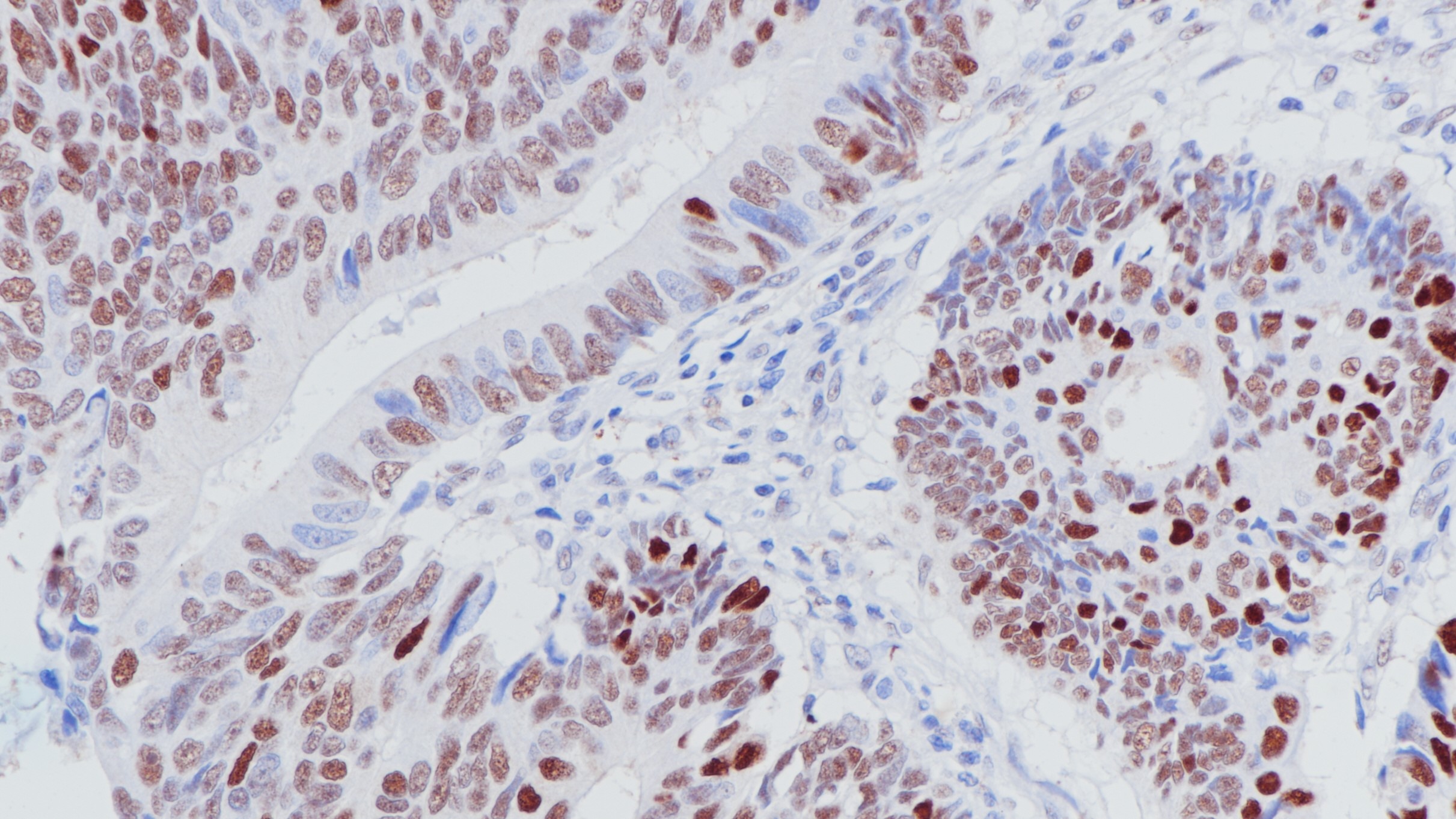
肺鳞癌p53(BPM6168)染色
结肠癌p53(BPM6168)染色
相关产品
Cytokeratin 19(CK19)
BP6022
p21/WAF1
BP6068
Myelin Basic Protein(MBP)
BP6087
p53
重组鼠单克隆抗体
p53为肿瘤抑制因子和转录因子。通过与DNA结合,p53对细胞生长和分裂具有负调控作用。在DNA损伤的情况下,p53会阻止细胞周期直到DNA损伤修复发生。如果不能进行DNA修复,p53会诱导细胞凋亡。p53在细胞周期中有两个检查点,分别为G1和S之间及G2和M之间。p53在所有正常细胞的细胞核中表达,但由于半衰期很短,通常免疫组织化学不能检测到p53。在肿瘤组织中,p53在50%以上的人类癌症中属于过度表达。在结肠癌、乳腺癌、肺癌、前列腺癌和卵巢癌等中发现,通过免疫组织化学能检测到p53阳性染色。p53用于区分子宫浆膜癌和子宫内膜癌,并作为小管内生殖细胞肿瘤的标志物。
Specifications
产品注册名称
p53抗体试剂
目录号
I1183
克隆号
BPM6168
亚细胞定位
细胞核
阳性对照
卵巢癌
修复方式
HIER
组织类型
FFPE
规格
浓缩液:0.1mL/1mL
工作液:1.5mL/7mL
用途
NMPA IVD
Applicable platform
Biolynx平台
Leica平台
Roche平台
Dako平台
Contact Us
Address
浙江省杭州市滨江区滨安路688号天和高科技园区5号楼1303室
310052
Phone & Fax
+400-8769-741
+0571-88177680
Web & Mail
[email protected]
Follow Us
Scan QR Codes on Your Phone