产品中心

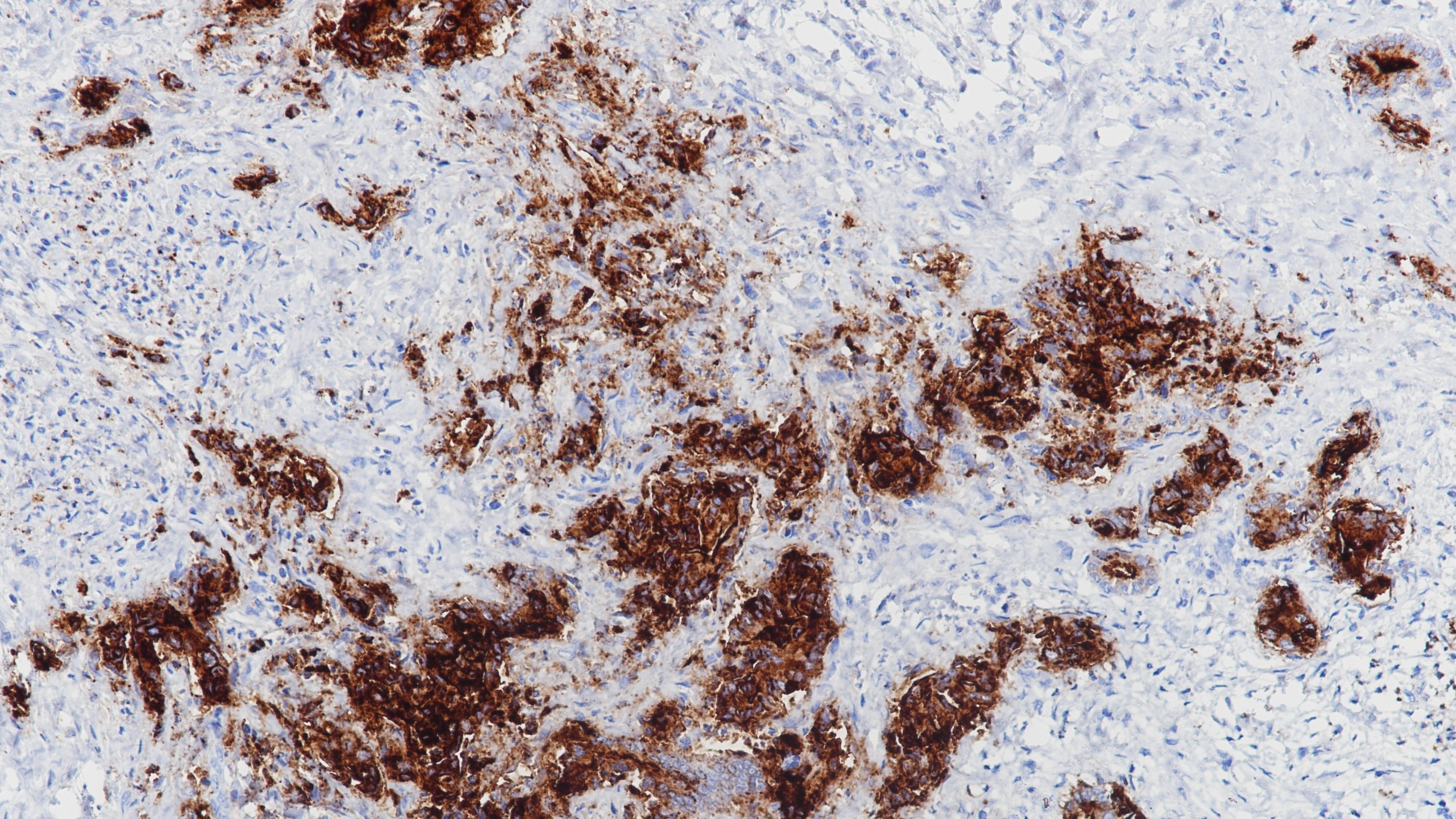
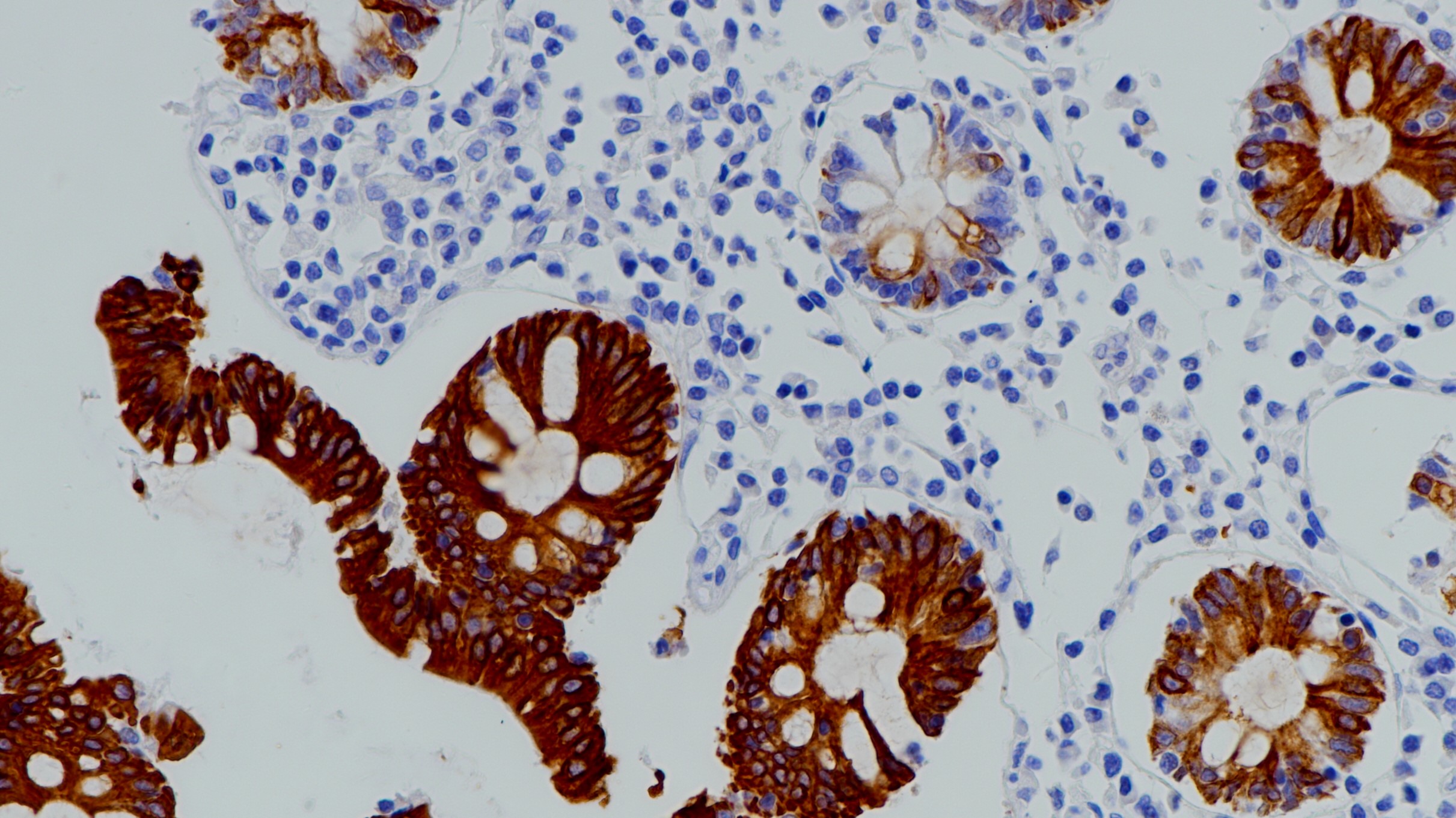
Cytokeratin 20(CK20) 重组兔单克隆抗体

CK20是一种具有限制表达模式的单层上皮角蛋白,其II型配对通常为CK8。CK20在正常组织表达于胃小凹上皮、大小结肠上皮、膀胱上皮、一些神经内分泌细胞以及Merkel细胞。肿瘤组织中,CK20表达于结肠腺癌,胃腺癌,胰腺癌,胆管癌,卵巢粘液腺癌,尿路上皮癌以及Merkel细胞癌。CK20通常与CK7及其他抗体联合表达,用于区分结肠癌(CK20+)和卵巢癌,肺癌及乳腺癌。

Specifications

产品注册名称
细胞角蛋白20抗体试剂(免疫组织化学)
目录号
I1031
克隆号
BP6030
亚细胞定位
细胞质
阳性对照
结肠腺癌
修复方式
HIER
组织类型
FFPE
规格
工作液:1.5mL/7mL
浓缩液:0.1mL/1mL
用途
NMPA IVD
CE

Applicable platform

  • Biolynx平台
  • Leica平台
  • Roche平台
  • Dako平台

Reference

1.Perry A, Parisi JE, Kurtin PJ. Hum Pathol. 1997 Aug; (8):938-43.

2.Sack MJ, Roberts SA. Diagn Cytopathol. 1997 Feb; 16(2):132-6.

3.中华医学会.《临床技术操作规范·病理学分册》.人民军医出版社,2004.

Support Documents

Contact Us

Address
浙江省杭州市滨江区滨安路688号天和高科技园区5号楼1303室
310052
Phone & Fax
+400-8769-741
+0571-88177680
Web & Mail

Follow Us

Scan QR Codes on Your Phone