

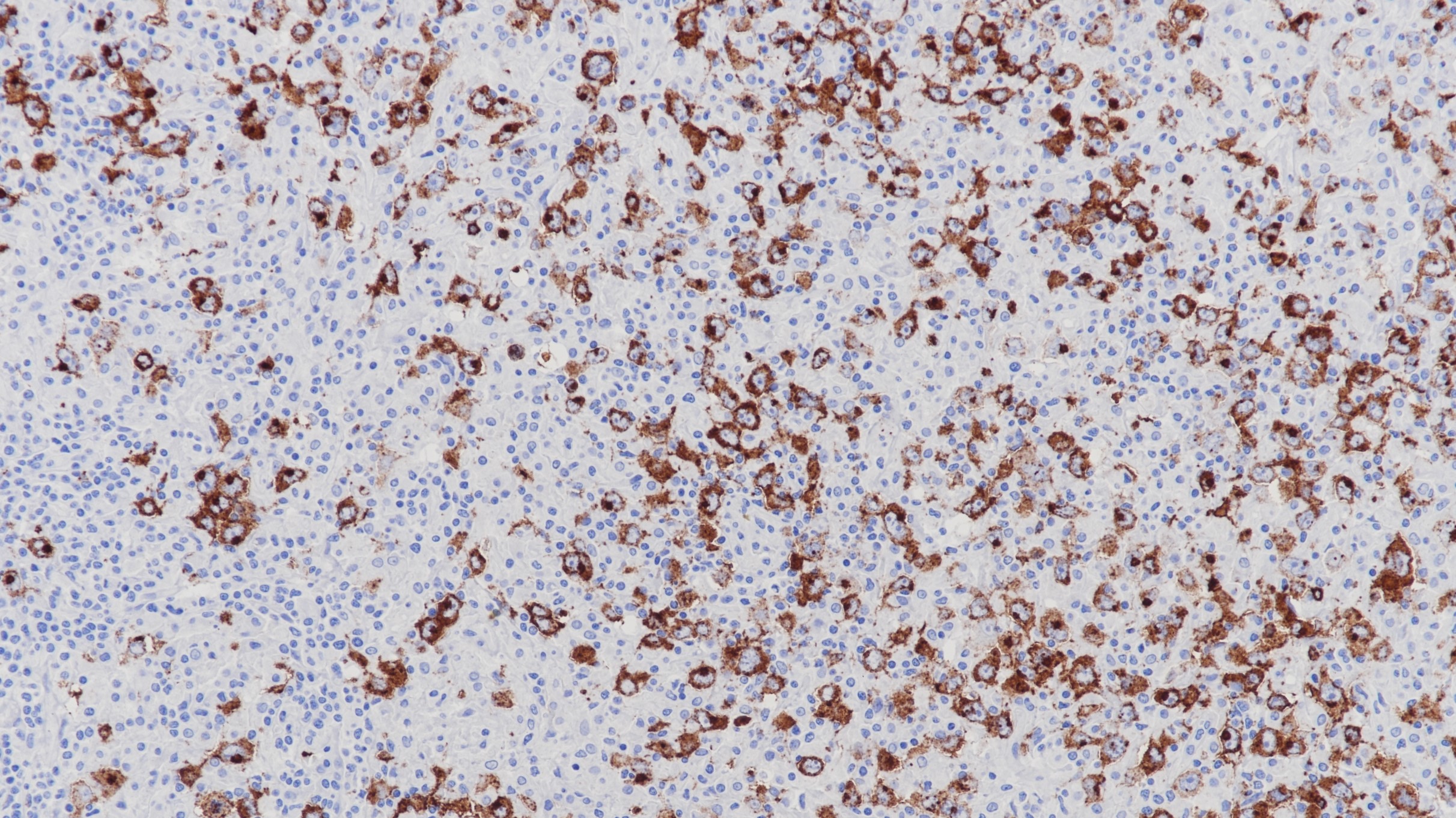
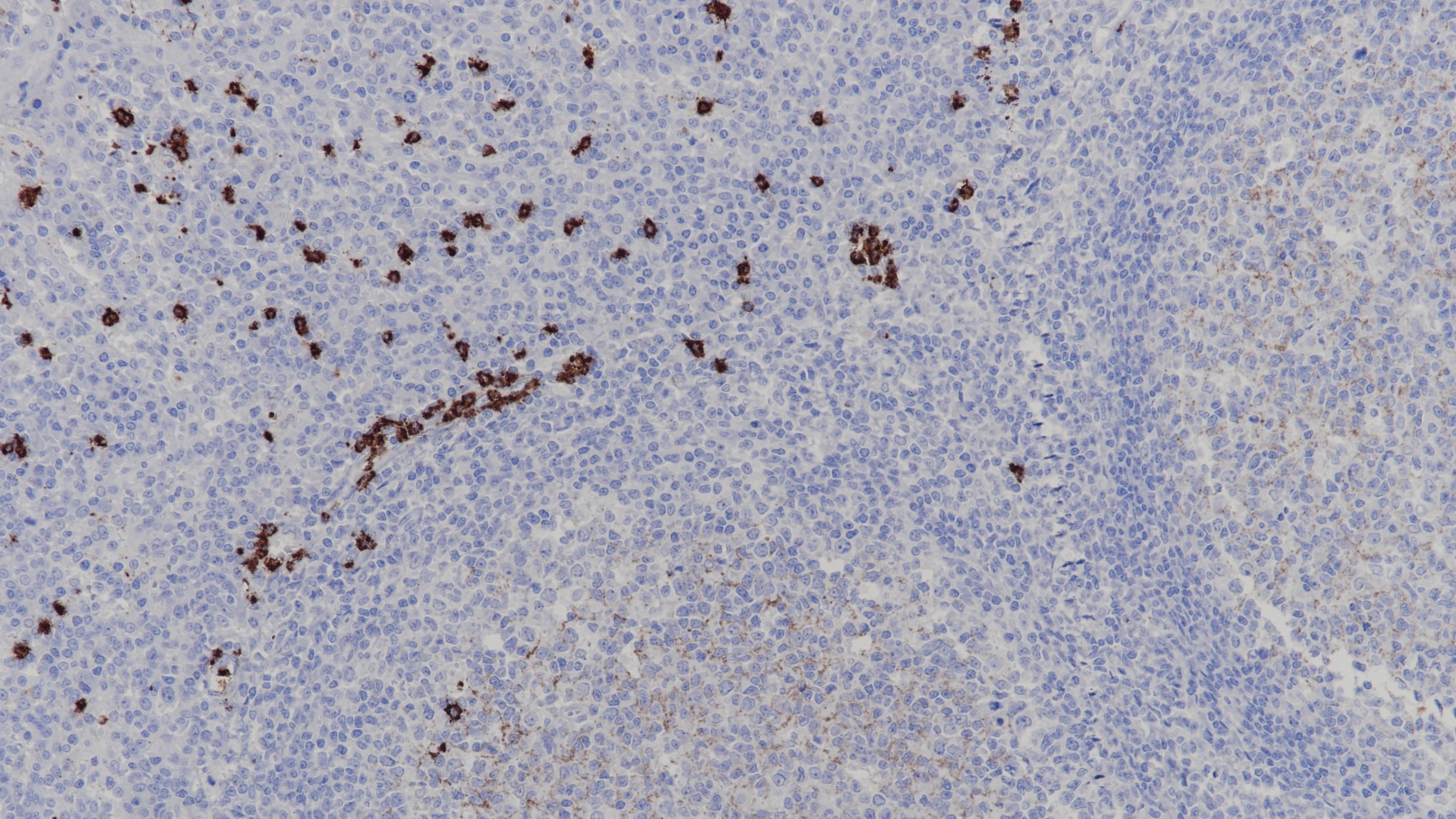
1.Cozzolino Immacolata,Vitagliano Giulio,Caputo Alessandro,Montella Marco,Franco Renato,Ciancia Giuseppe,Selleri Carmine,Zeppa Pio. CD15, CD30, and PAX5 evaluation in Hodgkin's lymphoma on fine-needle aspiration cytology samples.[J]. Diagnostic cytopathology,2020,48(3).
2.Jassam Samah A,Maherally Zaynah,Ashkan Keyoumars,Pilkington Geoffrey J,Fillmore Helen L. Fucosyltransferase 4 and 7 mediates adhesion of non-small cell lung cancer cells to brain-derived endothelial cells and results in modification of the blood-brain-barrier: in vitro investigation of CD15 and CD15s in lung-to-brain metastasis.[J]. Journal of neuro-oncology,2019.
3.中华医学会.《临床技术操作规范·病理学分册》.人民军医出版社,2004.