产品中心

CD30 重组兔单克隆抗体

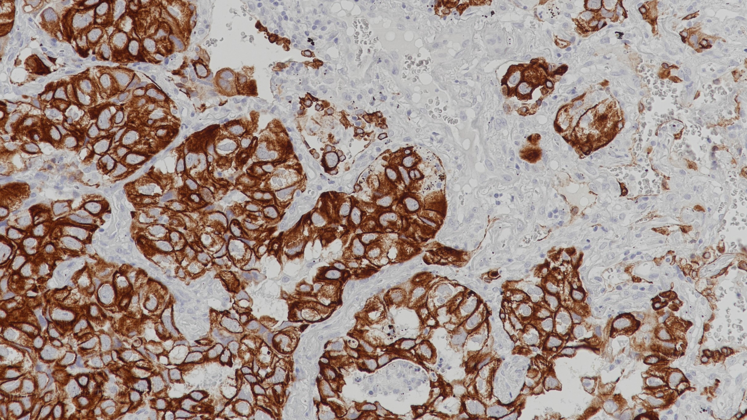
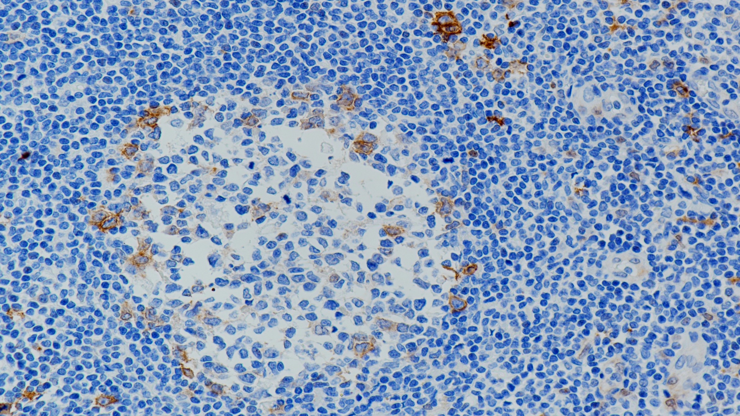
CD30是肿瘤坏死因子受体超家族成员,是TNFSF8/CD30L的受体。TRAF2和TRAF5可以与该受体相互作用,并介导激活NF-kappaB的信号转导通路。CD30是细胞凋亡的正调控因子,它还被证明可以限制自身反应性CD8效应T细胞的增殖潜能及保护机体免受自身免疫。CD30表达于霍奇金病的单核霍奇金细胞和多核Reed-Sternberg细胞、大多数的间变性大细胞淋巴瘤及不同比例的活性T细胞和B细胞。该抗体用于鉴定霍奇金氏淋巴瘤、间变性大细胞淋巴瘤(ALCL)和原发性皮肤CD30+T细胞淋巴增生性疾病。

Specifications

产品注册名称
CD30抗体试剂(免疫组织化学)
目录号
I1048
克隆号
BP6012
亚细胞定位
细胞膜/细胞质
阳性对照
霍奇金淋巴瘤
修复方式
HIER
组织类型
FFPE
规格
工作液:1.5mL/7mL
浓缩液:0.1mL/1mL
用途
NMPA IVD
CE

Applicable platform

  • Biolynx平台
  • Leica平台
  • Roche平台
  • Dako平台

Reference

1.Watanabe M., et al. Am J Pathol. 2003 Aug;163(2):633-41

2.Pileri SA., et al. J Clin Pathol. 2002 Mar;55(3):162-76.

Support Documents

Contact Us

Address
浙江省杭州市滨江区滨安路688号天和高科技园区5号楼1303室
310052
Phone & Fax
+400-8769-741
+0571-88177680
Web & Mail

Follow Us

Scan QR Codes on Your Phone