产品中心

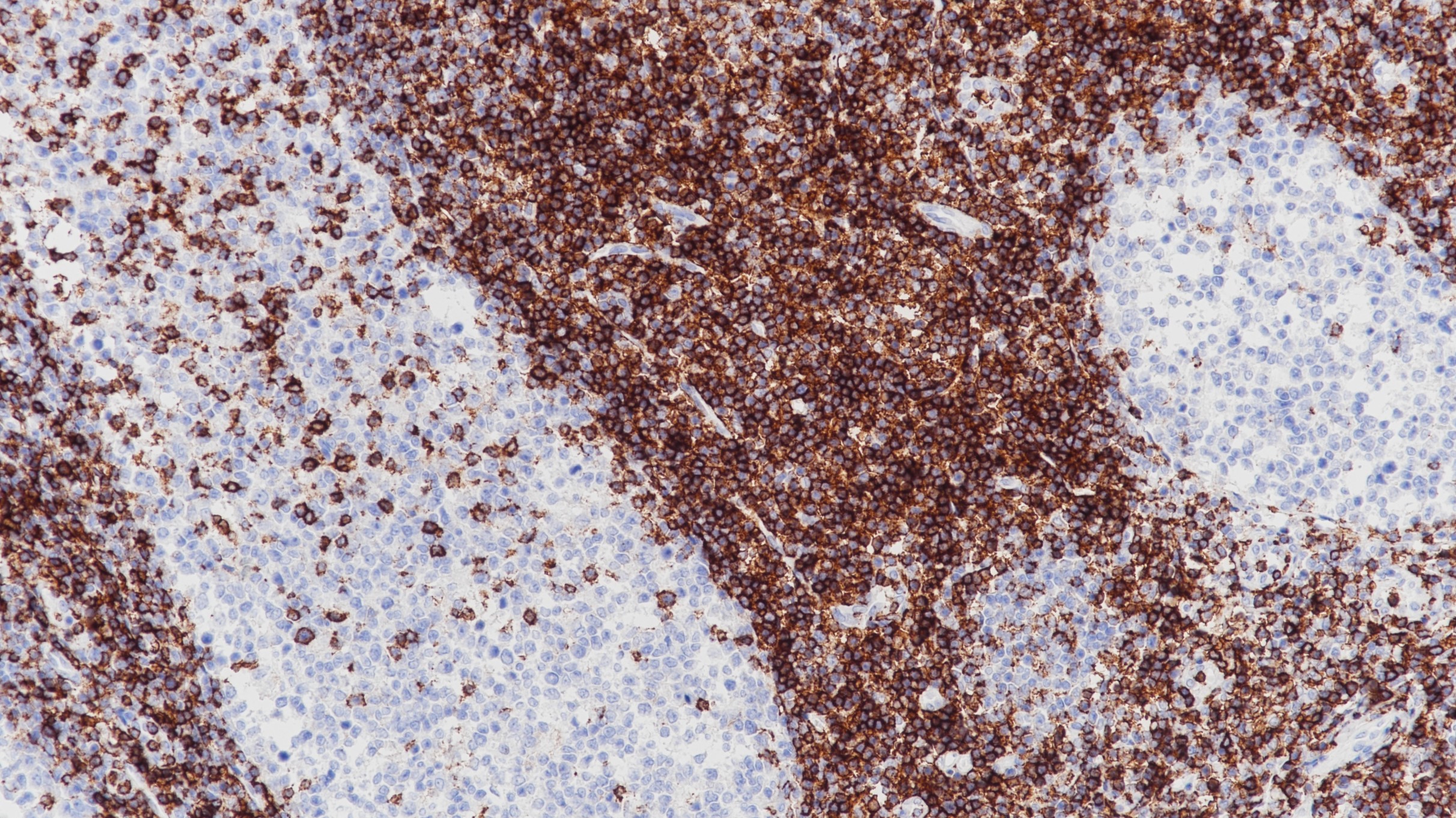
CD43 鼠单克隆抗体

CD43是与T细胞免疫功能相关的跨膜的蛋白,表达在正常T淋巴细胞、髓细胞、巨噬细胞和浆细胞中,正常B细胞或反应性B细胞中不表达。CD43常与T细胞标记物联合检测,用于T细胞淋巴瘤辅助诊断。

Specifications

产品注册名称
CD43抗体试剂(免疫组织化学)
目录号
I1116
克隆号
DF-T1
亚细胞定位
细胞膜
阳性对照
扁桃体
修复方式
HIER
组织类型
FFPE
规格
工作液:1.5mL/7mL
用途
NMPA IVD
CE

Applicable platform

  • Biolynx平台
  • Leica平台
  • Roche平台
  • Dako平台

Reference

1.Tomaszewski MM, Abbondanzo SL, Lupton GP. Am J Dermatopathol. 2000 Jun; 22(3):205-11.

2.de Smet W, Walter H, van Hove L.. Immunology. 1993 May; 79(1):46-54..

3.中华医学会.《临床技术操作规范·病理学分册》.人民军医出版社,2004.

Support Documents

Contact Us

Address
浙江省杭州市滨江区滨安路688号天和高科技园区5号楼1303室
310052
Phone & Fax
+400-8769-741
+0571-88177680
Web & Mail

Follow Us

Scan QR Codes on Your Phone