产品中心

ZAP-70 重组兔单克隆抗体

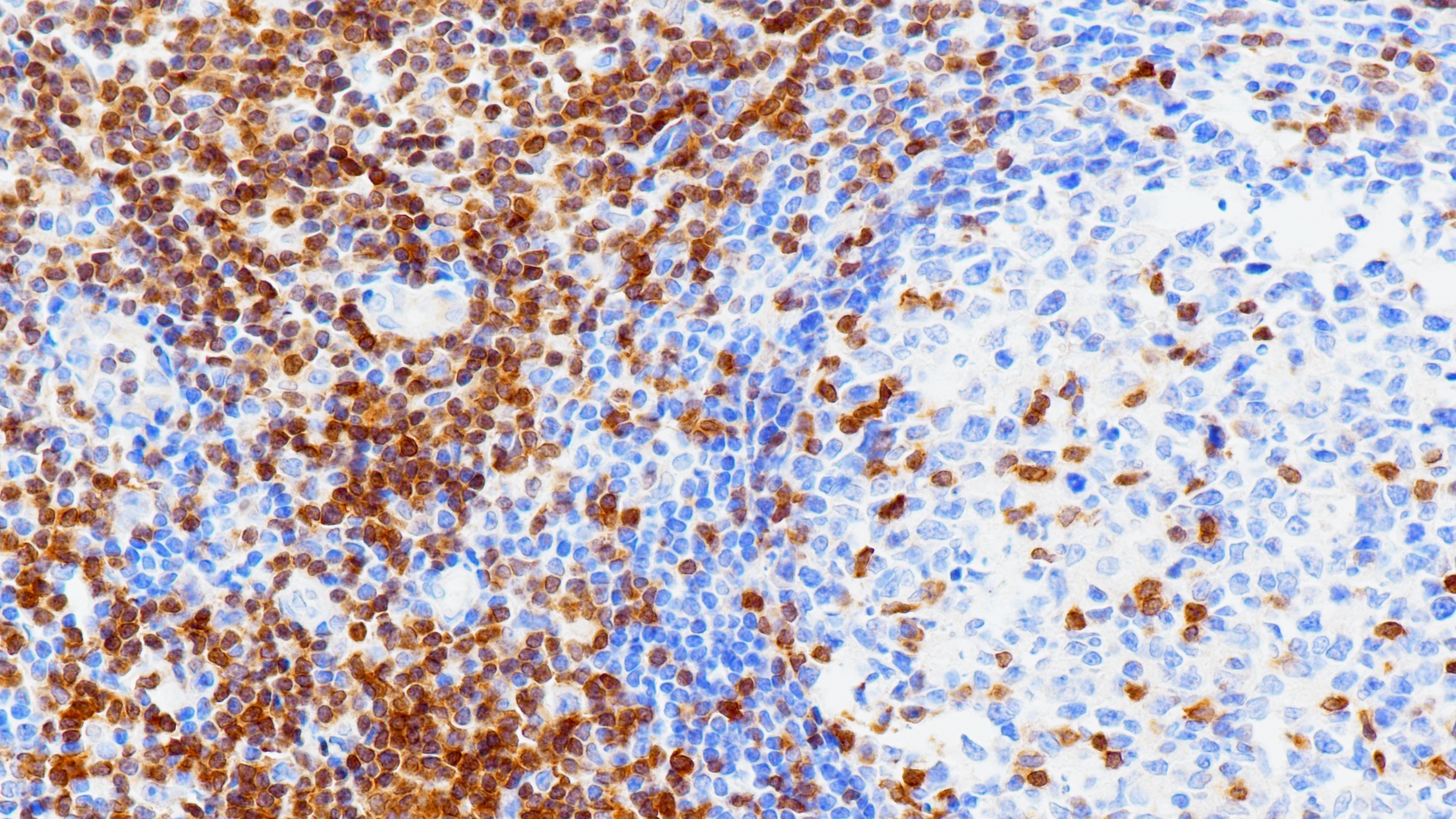
ZAP-70是Syk家族的一种酪氨酸激酶,主要表达于T细胞、NK细胞、肥大细胞和嗜碱性粒细胞。在正常前体B细胞也可以检测到,但是在正常成熟B细胞中不表达。 ZAP-70与慢性淋巴细胞白血病的免疫球蛋白重链可变区基因(IgVH)的非突变结构形成密切相关。该抗体可作为慢性淋巴细胞白血病的一种独立预后指标,对其临床指导治疗具有重要意义。

Specifications

产品注册名称
ZAP-70抗体试剂
目录号
I1089
克隆号
BP6106
亚细胞定位
细胞核/细胞质
阳性对照
扁桃体
修复方式
HIER
组织类型
FFPE
规格
工作液:1.5mL/7mL
浓缩液:0.1mL/1mL
用途
NMPA IVD
CE

Applicable platform

  • Biolynx平台
  • Leica平台
  • Roche平台
  • Dako平台

Reference

1.Crespo, et al.N Engl J Med. 2003 May 1;348(18):1764-75.
2.National Committee for Clinical Laboratory Standards(NCCLS). Villanova, PA 1991;7(9). Order code M29-P.

Support Documents

Contact Us

Address
浙江省杭州市滨江区滨安路688号天和高科技园区5号楼1303室
310052
Phone & Fax
+400-8769-741
+0571-88177680
Web & Mail

Follow Us

Scan QR Codes on Your Phone