
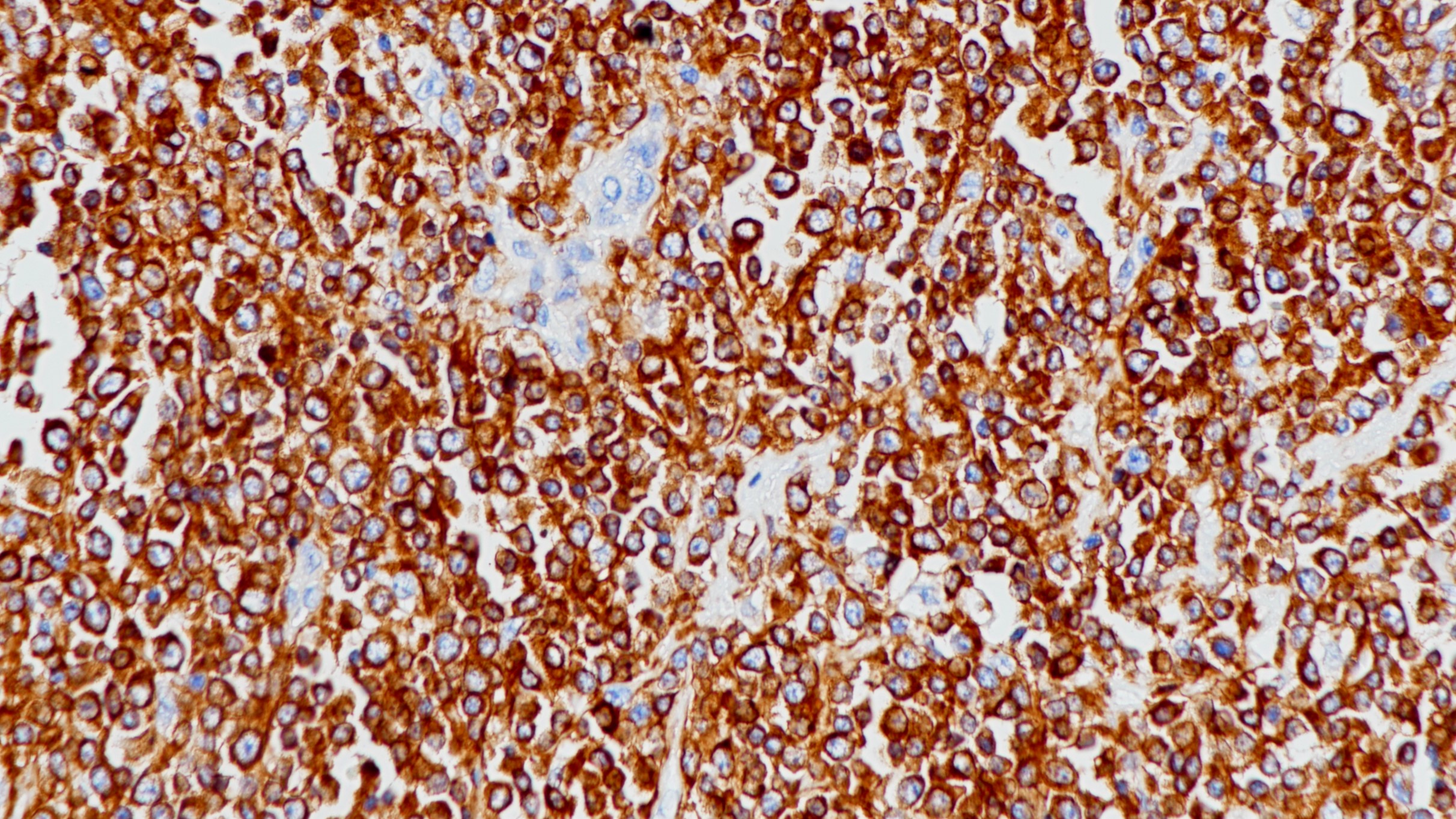
1. Overexpression of the β Subunit of Human Chorionic Gonadotropin Promotes the Transformation of Human Ovarian Epithelial Cells and Ovarian Tumorigenesis [J] . Xiaoqing Guo,Guangzhi Liu,Isaiah G.
Schauer,Gong Yang,Imelda Mercado-Uribe,Fan Yang,Shiwu Zhang,Yuanli He,Jinsong Liu. The American Journal of Pathology . 2011 (3)
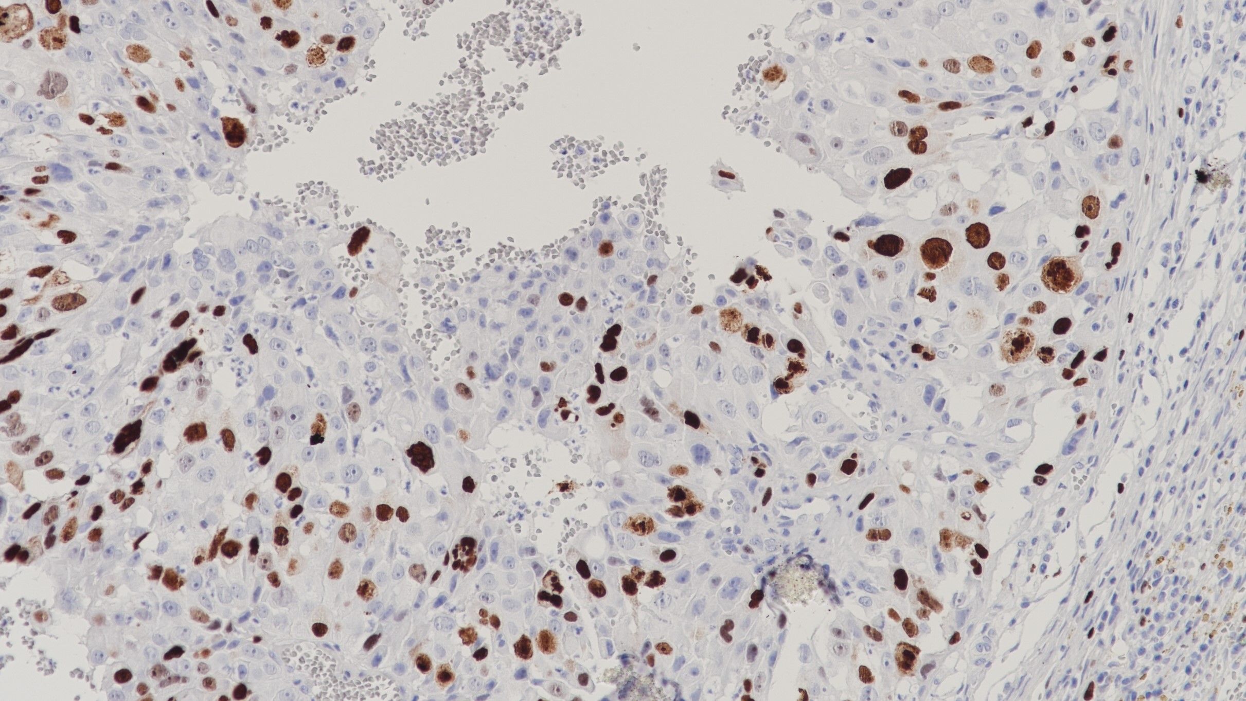
2. Does hCG or hCGβ play a role in cancer cell biology? [J] . R.K.Iles,P.J. Delves,S.A. Butler. Molecular and Cellular Endocrinology . 2010 (1).
3. Hyperglycosylated hCG, hCGβ and Hyperglycosylated hCGβ:Interchangeable cancer promoters [J] . Laurence A. Cole,Stephen Butler.Molecular and Cellular Endocrinology . 2011 (2).