产品中心

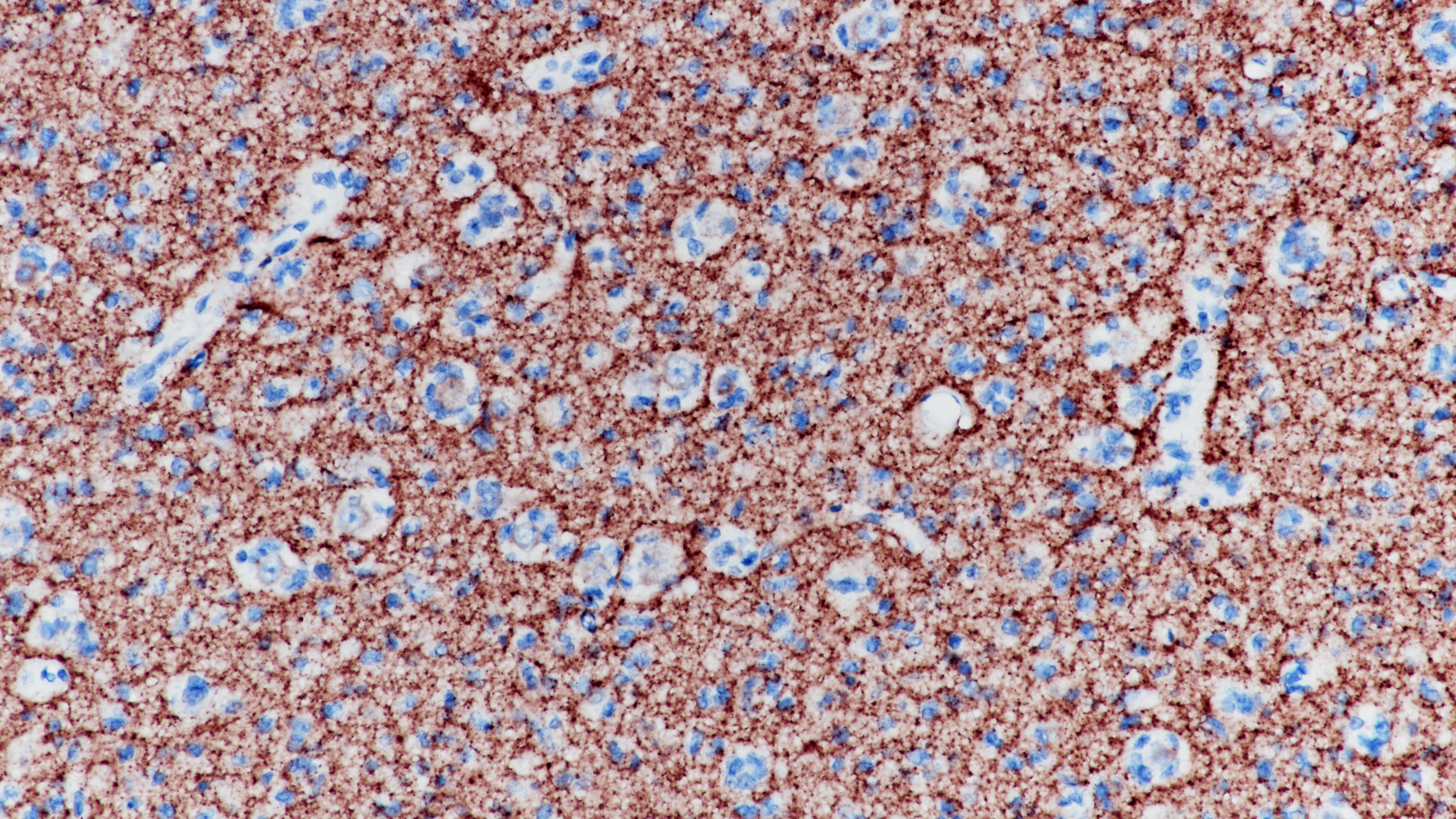
Synaptophysin(SYP) 重组兔单克隆抗体

Syn(突触素)也称为主要突触囊泡蛋白p38,是一种在人类中由SYP基因编码的蛋白质。这种蛋白质的确切功能尚不清楚,它与基本的突触囊泡蛋白相互作用,但当在动物身上实验性地灭活时,它们仍正常表达和发挥功能。Syn与人体的肾上腺髓质、颈动脉、皮肤、脑垂体、甲状腺、肺、胰腺和胃肠道粘膜的神经内分泌细胞发生反应。这种抗体能识别正常的神经内分泌细胞和神经内分泌肿瘤。Syn不与其他神经鉴别标记一起表达,可被用作肿瘤诊断的鉴别标记。

Specifications

产品注册名称
Synaptophysin抗体试剂
目录号
I1041
克隆号
BP6053
亚细胞定位
细胞质
阳性对照
胶质瘤
修复方式
HIER
组织类型
FFPE
规格
工作液:1.5mL/7mL
浓缩液:0.1mL/1mL
用途
NMPA IVD
CE

Applicable platform

  • Biolynx平台
  • Leica平台
  • Roche平台
  • Dako平台

Reference

1.Wiedenmann B, et.al. Proc Natl Acad Sci U S A. 1986 May;83(10):3500-4.

2.Quinn B. Am J Surg Pathol. 1998 May;22(5):550-6.

Support Documents

Contact Us

Address
浙江省杭州市滨江区滨安路688号天和高科技园区5号楼1303室
310052
Phone & Fax
+400-8769-741
+0571-88177680
Web & Mail

Follow Us

Scan QR Codes on Your Phone