产品中心

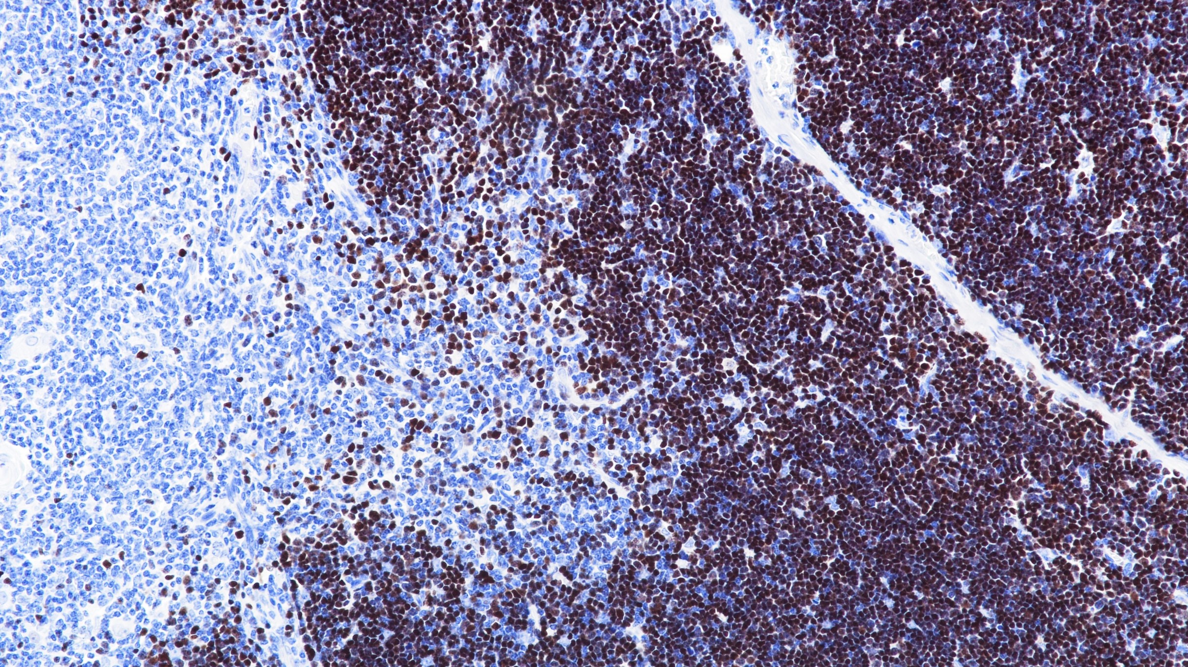
TdT 重组兔单克隆抗体

TdT是一种58kDa的DNA聚合酶,位于细胞核内,可催化3’末端脱氧核苷的聚合反应。该抗体标记正常胸 腺和骨髓的前体B和T淋巴细胞。在成熟淋巴瘤的肿瘤细胞及急性淋巴细胞白血病中TdT呈高表达,有助于淋巴细胞白血病和霍奇金淋巴瘤的鉴别。

Specifications

产品注册名称
TdT 抗体试剂
目录号
I1070
克隆号
BP6089
亚细胞定位
细胞核
阳性对照
胸腺瘤
修复方式
HIER
组织类型
FFPE
规格
工作液:1.5mL/7mL
浓缩液:0.1mL/1mL
用途
NMPA IVD
CE

Applicable platform

  • Biolynx平台
  • Leica平台
  • Roche平台
  • Dako平台

Reference

1.Gloria Soldevila, et al. J Leukoc Biol. 2019;1-14.

2.Manjun Zhao, Ningning Duan,et al. Autoimmunity.2019;1-9.

Support Documents

Contact Us

Address
浙江省杭州市滨江区滨安路688号天和高科技园区5号楼1303室
310052
Phone & Fax
+400-8769-741
+0571-88177680
Web & Mail

Follow Us

Scan QR Codes on Your Phone