产品中心

E-Cadherin 重组兔单克隆抗体

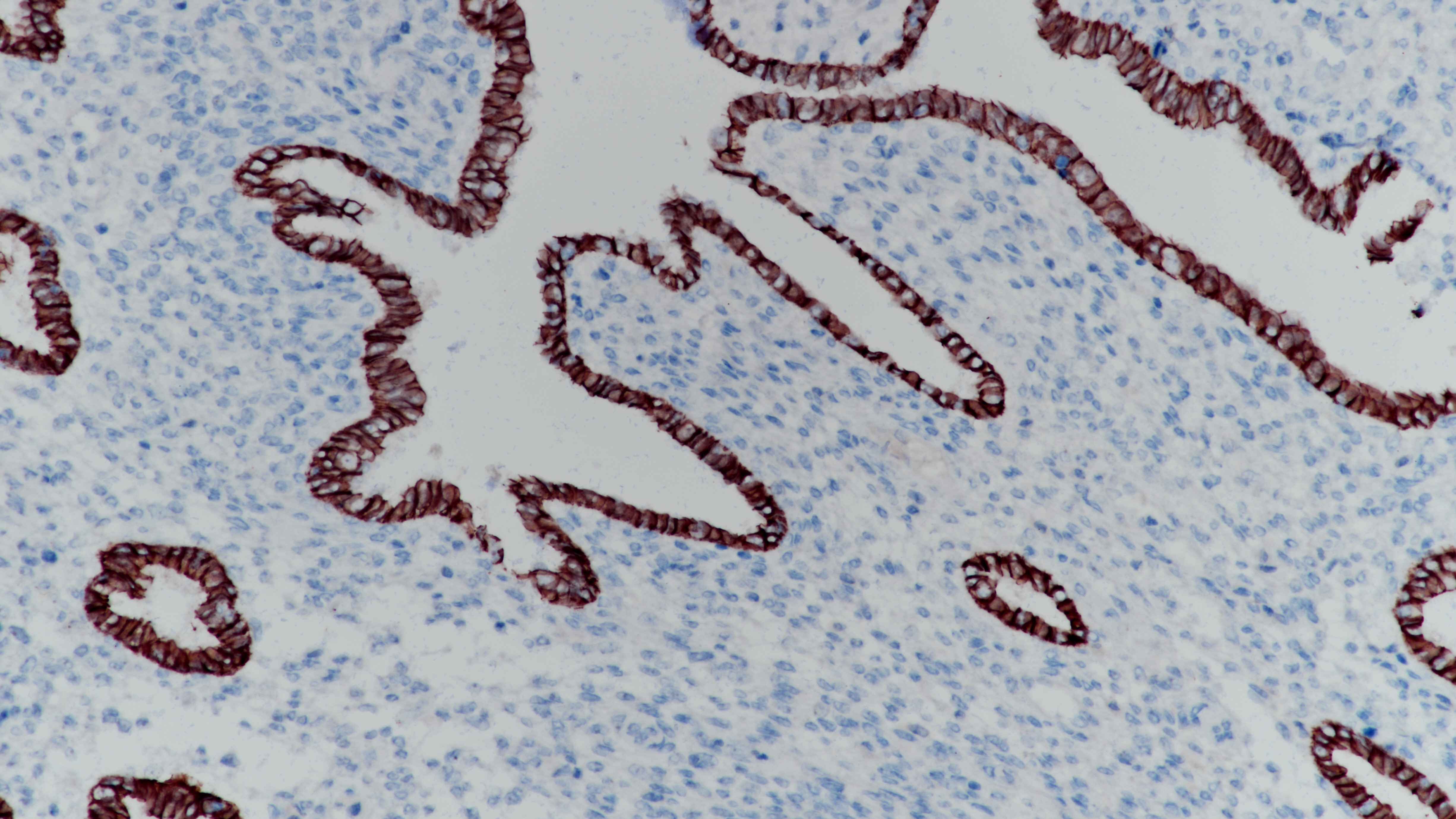
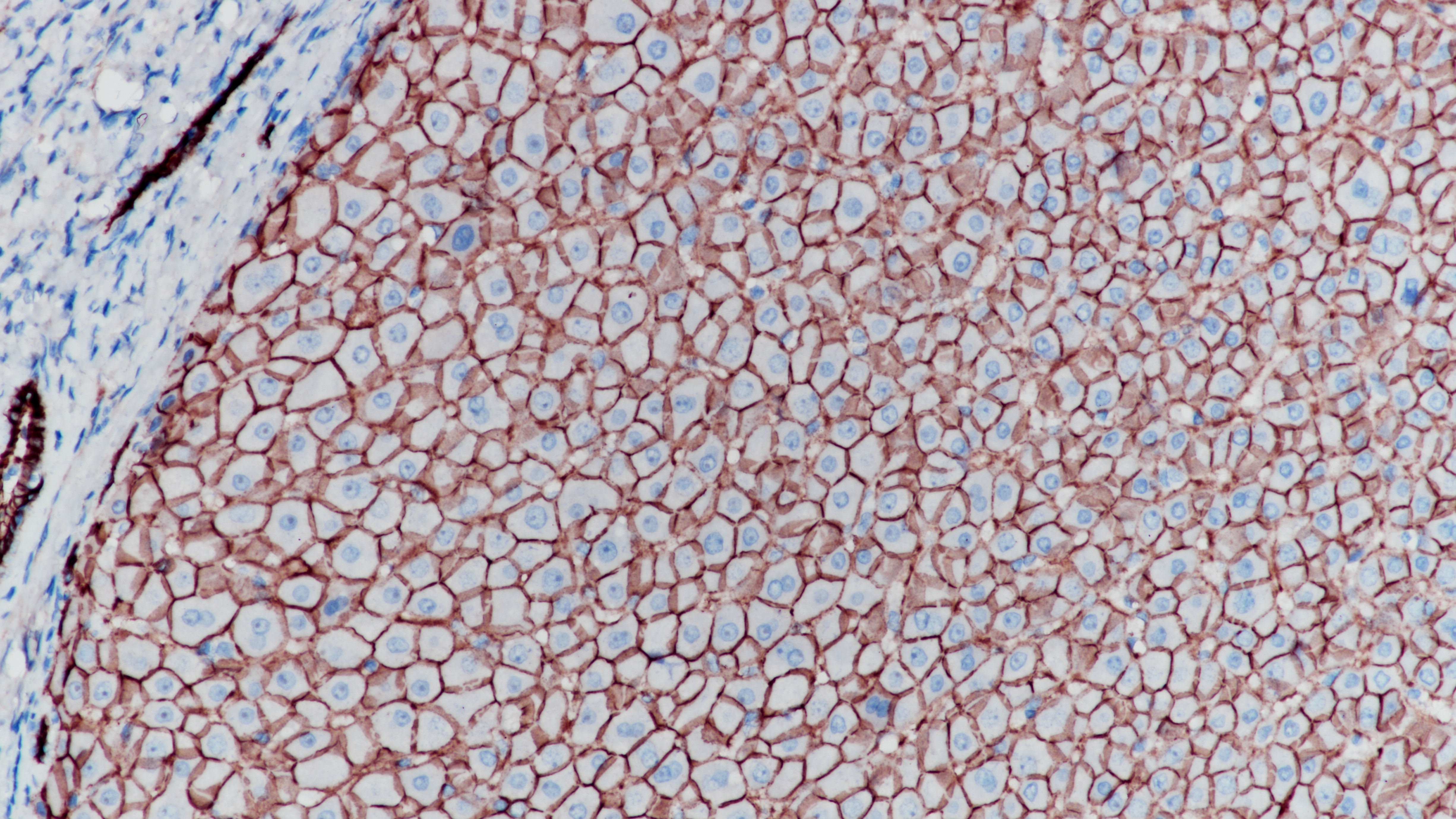
E-cadherin是一种跨膜的、钙依赖型的细胞粘附蛋白,调节细胞与细胞间粘附并维持上皮组织的结构和功能完整性。减少或异常的E-cadherin表达会中断细胞间的联系,从而使细胞能够迁移。正常组织中,E-cadherin免疫染色定位于上皮细胞的细胞膜。肿瘤组织中,E-cadherin在腺上皮和肺、胃肠道和卵巢的腺癌中为阳性染色。E-cadherin与p120连环素使用可帮助区分乳腺导管癌和小叶癌。

Specifications

产品注册名称
E-Cadherin抗体试剂(免疫组织化学)
目录号
I1039
克隆号
BP6048
亚细胞定位
细胞膜
阳性对照
修复方式
HIER
组织类型
FFPE
规格
工作液:1.5mL/7mL
浓缩液:0.1mL/1mL
用途
NMPA IVD
CE

Applicable platform

  • Biolynx平台
  • Leica平台
  • Roche平台
  • Dako平台

Reference

1.Byrne RR, et al. J Urol. 2001 May; 165(5):1473-9.

2.Acs G, et al. Am J Clin Pathol. 2001 Jan; 115(1):85-98.

3.中华医学会.《临床技术操作规范·病理学分册》.人民军医出版社,2004.

Support Documents

Contact Us

Address
浙江省杭州市滨江区滨安路688号天和高科技园区5号楼1303室
310052
Phone & Fax
+400-8769-741
+0571-88177680
Web & Mail

Follow Us

Scan QR Codes on Your Phone