首页
创新研发
产品中心
病理IHC整体解决方案
IVD一抗
LYNX310设备
LYNX480设备
免疫显色系统及辅助试剂
RUO试剂
液态细胞质控品
科研创新
科研目录抗体
技术服务
服务中心
资料下载
技术支持
关于我们
公司概况
新闻动态
荣誉资质
人才服务
联系我们
简体中文
简体中文
English
产品中心
病理IHC整体解决方案
科研创新
IVD一抗
LYNX310设备
LYNX480设备
免疫显色系统及辅助试剂
RUO试剂
液态细胞质控品
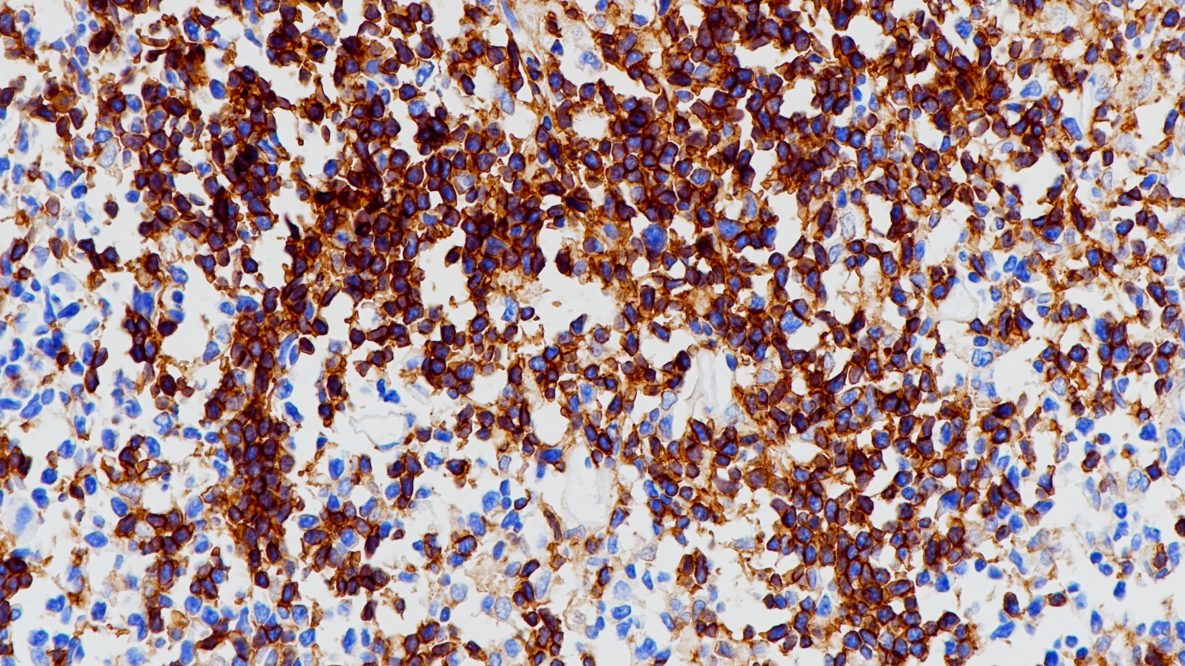
霍奇金淋巴瘤Pax-5(BPM6172)染色
扁桃体Pax-5(BPM6172)染色
相关产品
Oct3/4
BP6164
Cytokeratin 8&18(CK8&18)
BP6005&BP6054
IgD
BP6134
Pax-5
重组鼠单克隆抗体
PAX-5是一种分子量为42kDa蛋白质。PAX-5是B细胞的标志,包括b淋巴细胞肿瘤和成熟阶段。在大多数成熟和前体细胞b细胞非霍奇金淋巴瘤/白血病中发现。该抗体是识别前B细胞、前B细胞和成熟B细胞的有用工具,也是淋巴瘤分类的有用工具。
Specifications
产品注册名称
Pax-5抗体试剂(免疫组织化学)
目录号
I1192
克隆号
BPM6172
亚细胞定位
细胞核
阳性对照
霍奇金淋巴瘤
修复方式
HIER
组织类型
FFPE
规格
浓缩液:0.1mL/1mL
工作液:1.5mL/7mL
用途
NMPA IVD
Applicable platform
Biolynx平台
Leica平台
Roche平台
Dako平台
Support Documents
Datesheet
Contact Us
Address
浙江省杭州市滨江区滨安路688号天和高科技园区5号楼1303室
310052
Phone & Fax
+400-8769-741
+0571-88177680
Web & Mail
[email protected]
Follow Us
Scan QR Codes on Your Phone