

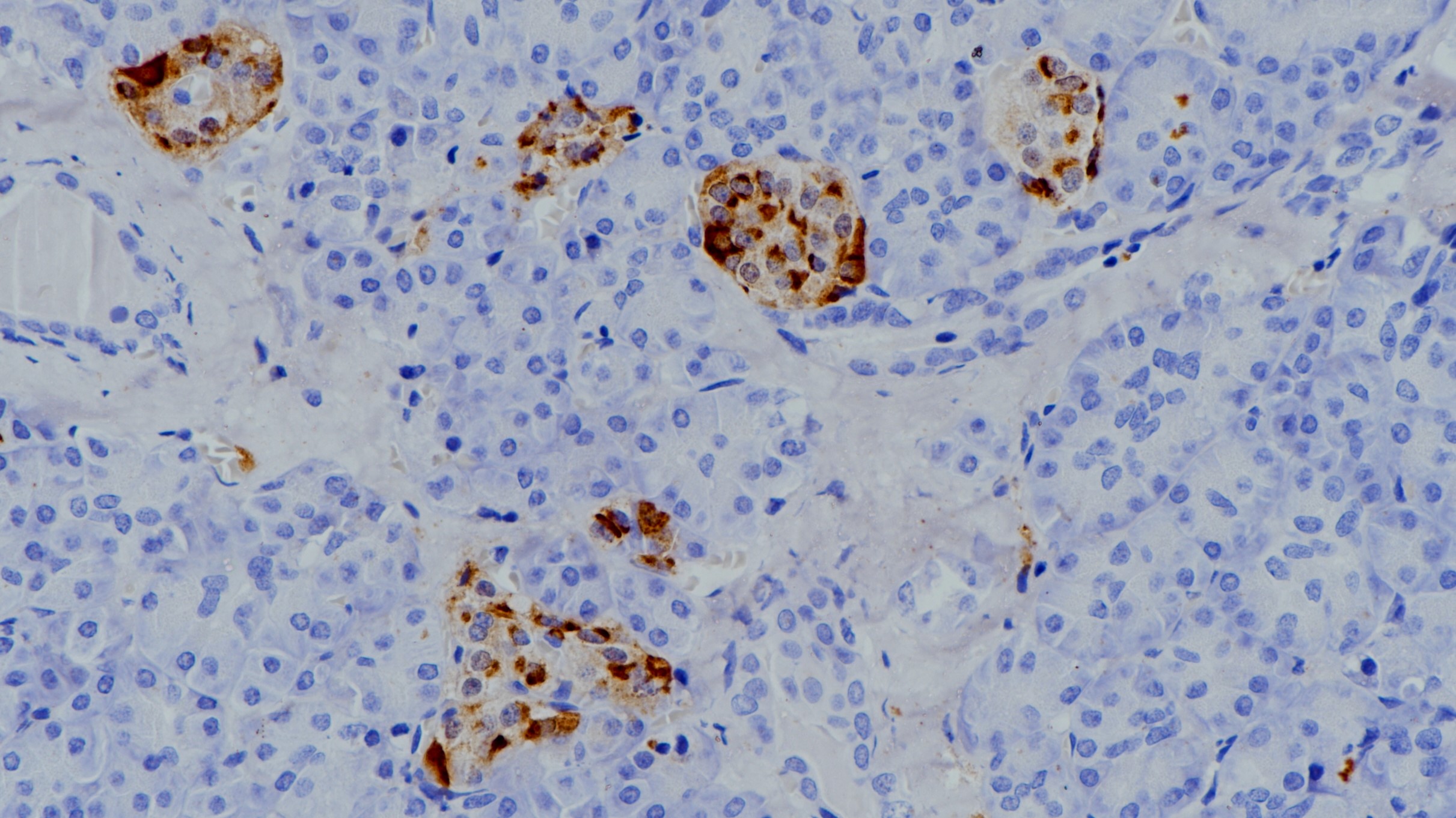
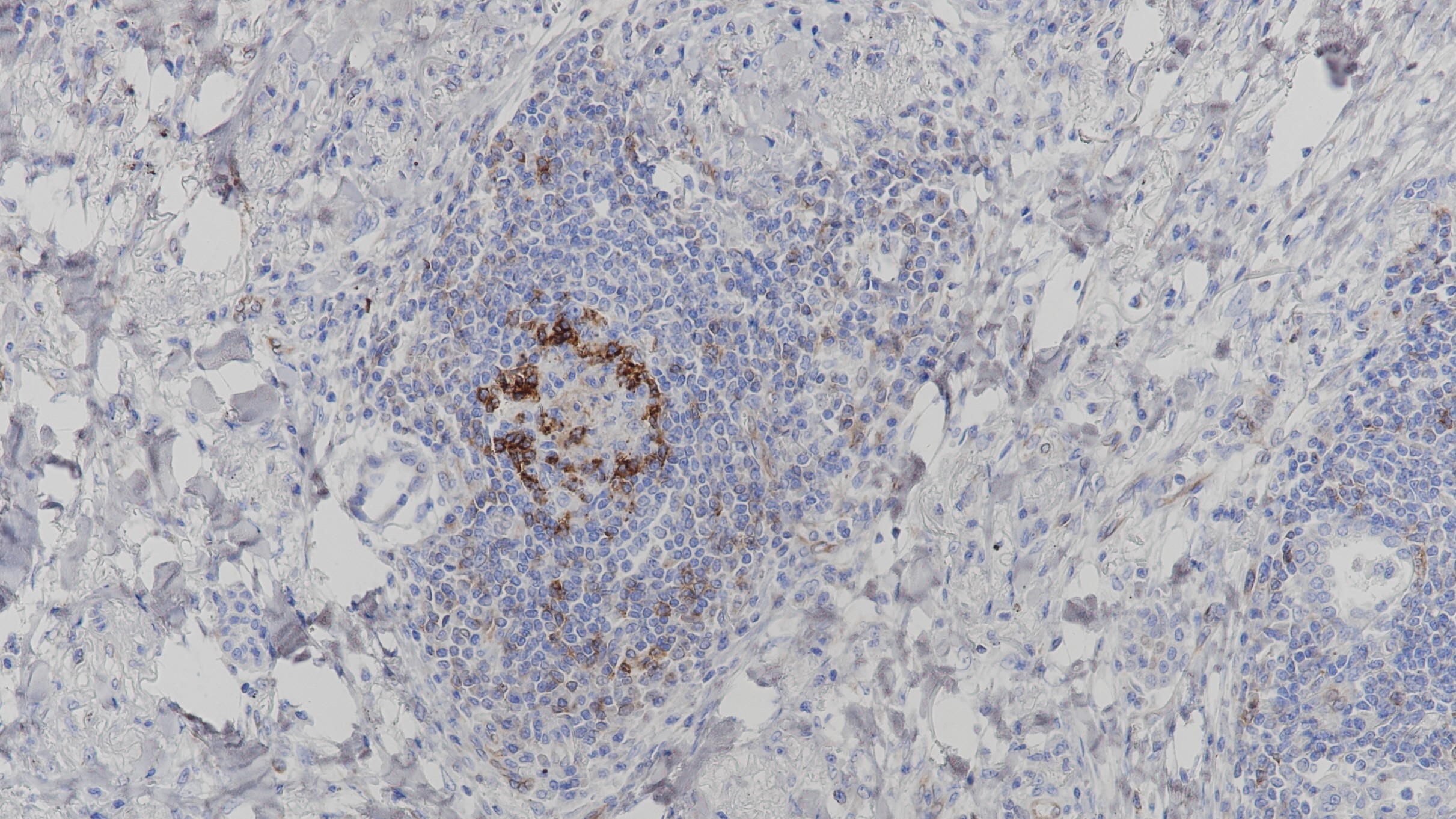
1. Park J G, Choe G Y, Helman L J, et al. Chromogranin-a expression in gastric and colon cancer tissues[J]. International Journal of Cancer, 2010, 51(2):189-194.
2. Corti A. Chromogranin A and the Tumor Microenvironment[J]. Cellular & Molecular Neurobiology, 2010, 30(8):1163-1170.
3. 中华医学会.《临床技术操作规范·病理学分册》.人民军医出版社,2004.