产品中心

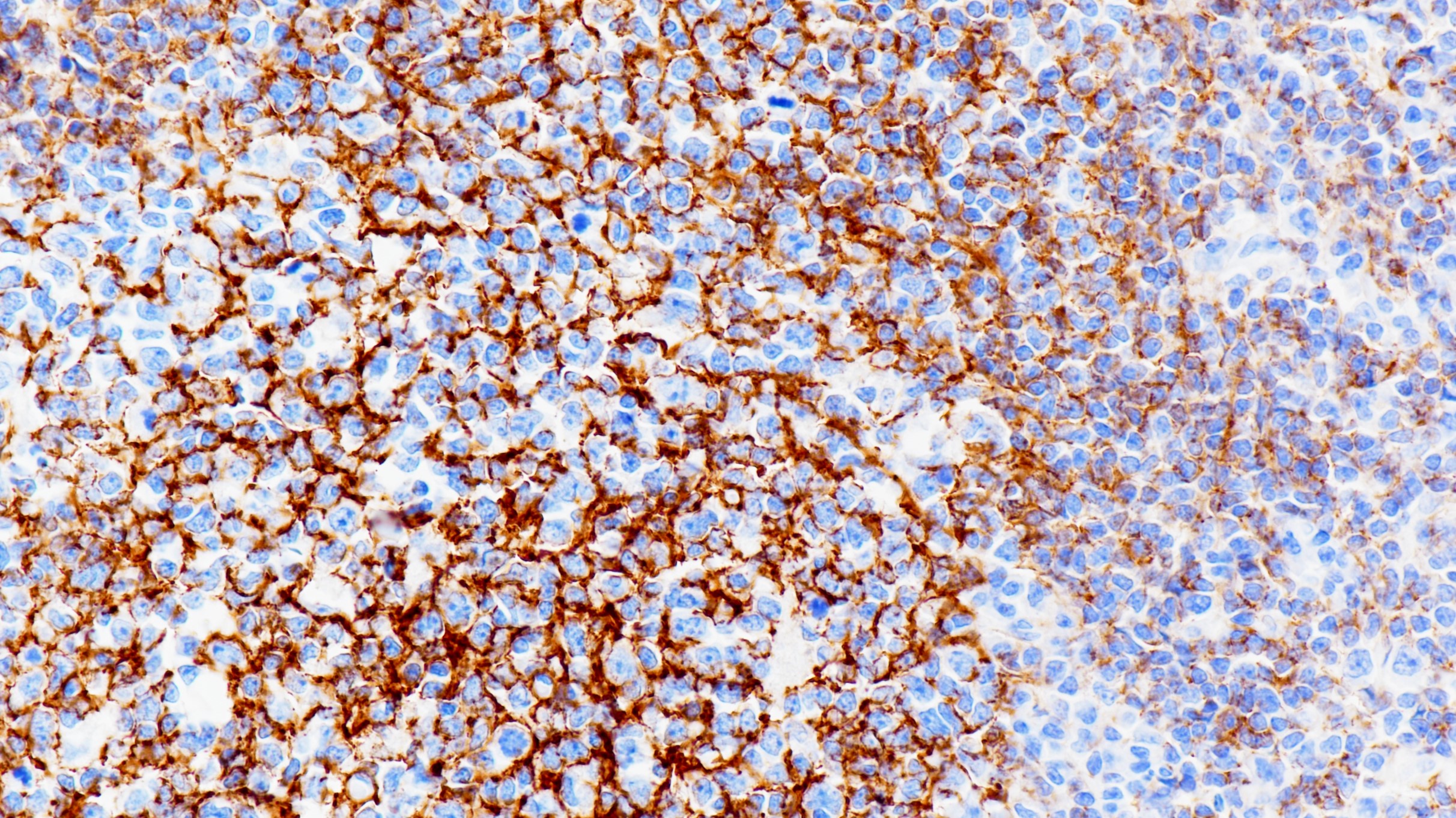
pan-TRK 兔单克隆抗体

神经营养因子受体络氨酸激酶(Neurotrophic Receptor Kinase,简称NTRK)包括TRKA、TRKB和TRKC三种蛋白,分别由NTRK1、NTRK2和NTRK3基因编码.正常人体环境中,不同TRK蛋白亚型与不同神经营养因子结合,调节中枢和外周神经系统中各类神经元的生长、分化和凋亡。NTRK基因融合将导致NTRK基因家族成员(NTRK1、NTRK2、NTRK3)与另一个不相关的基因融合在一起,编码的TRK融合蛋白处于结构性激活状态,引发持续性的信号级联反应,驱动细胞的恶性增殖,引发癌变。NTRK基因融合在某些罕见肿瘤中发生频率高,如分泌性乳腺癌,乳腺样分泌癌,婴儿纤维肉瘤。在常见肿瘤如肺癌,乳腺癌中发生频率极低。

Specifications

产品注册名称
酪氨酸激酶受体(TRK)抗体试剂(免疫组织化学)
目录号
I1186
克隆号
EPR17341
亚细胞定位
细胞质
阳性对照
少突胶质细胞瘤
修复方式
HIER
组织类型
FFPE
规格
工作液:1.5mL/7mL
用途
NMPA IVD

Applicable platform

  • Biolynx平台
  • Leica平台
  • Roche平台
  • Dako平台

Support Documents

Contact Us

Address
浙江省杭州市滨江区滨安路688号天和高科技园区5号楼1303室
310052
Phone & Fax
+400-8769-741
+0571-88177680
Web & Mail

Follow Us

Scan QR Codes on Your Phone