产品中心

Glucagon 重组兔单克隆抗体

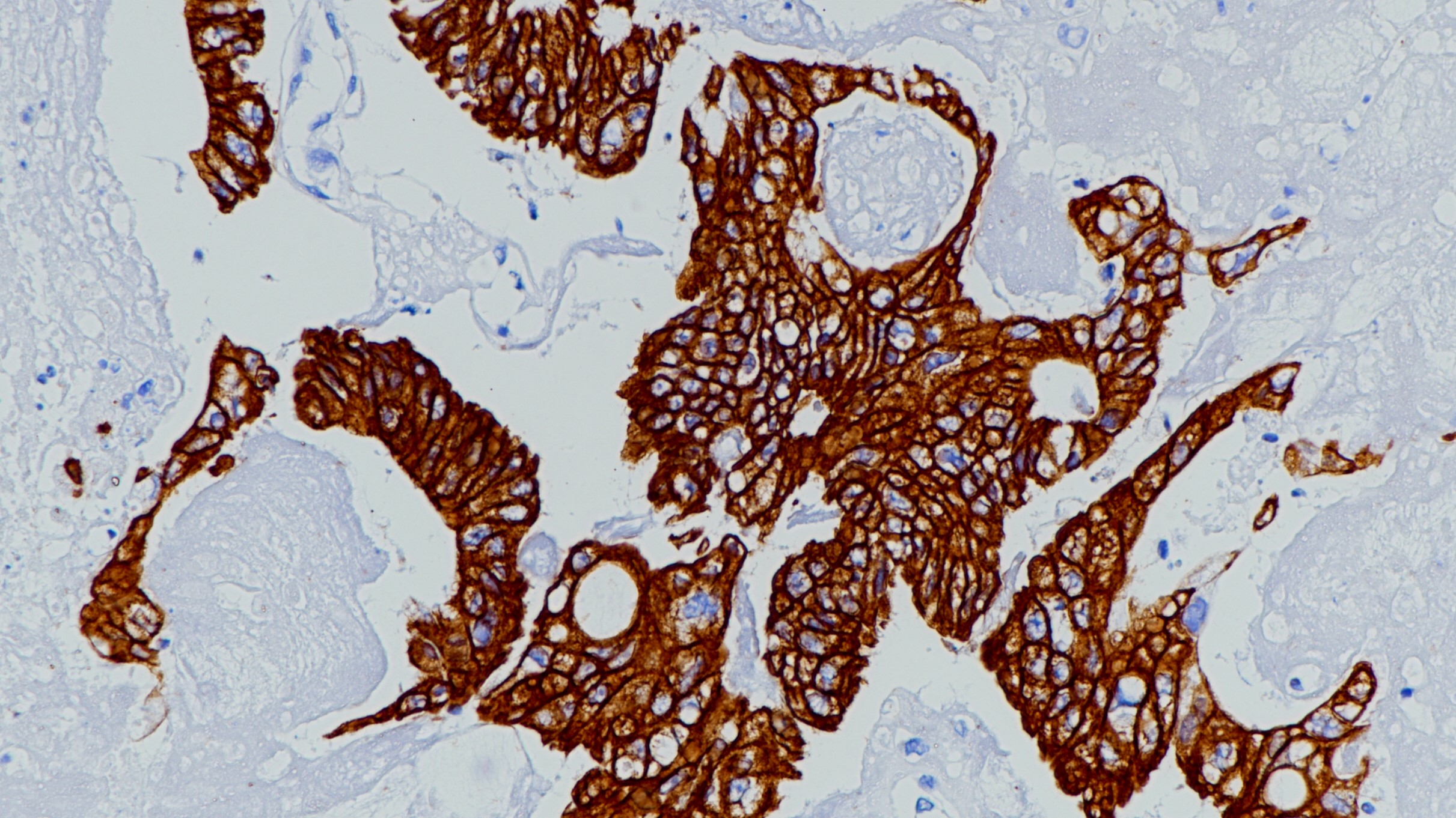
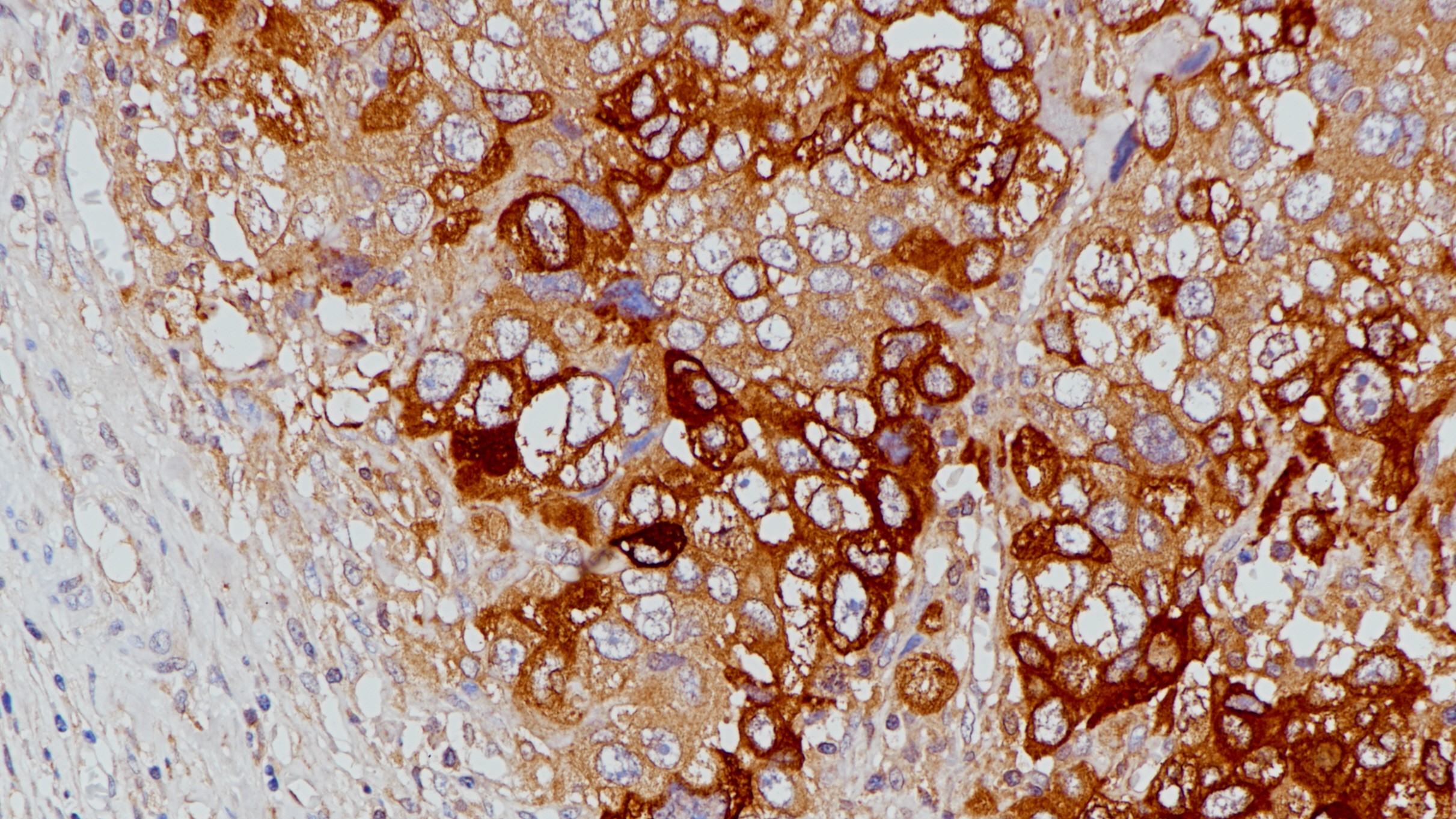
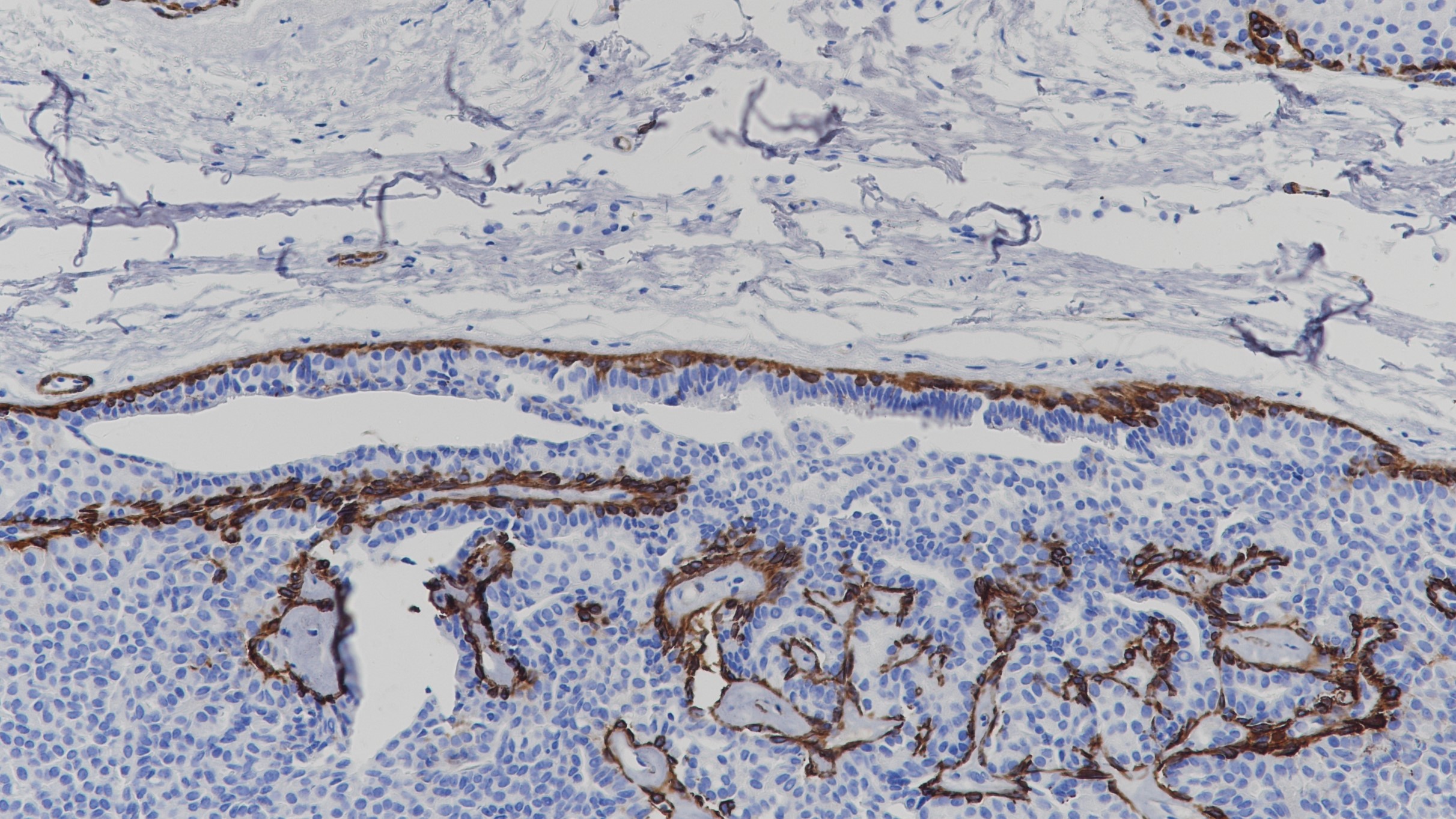
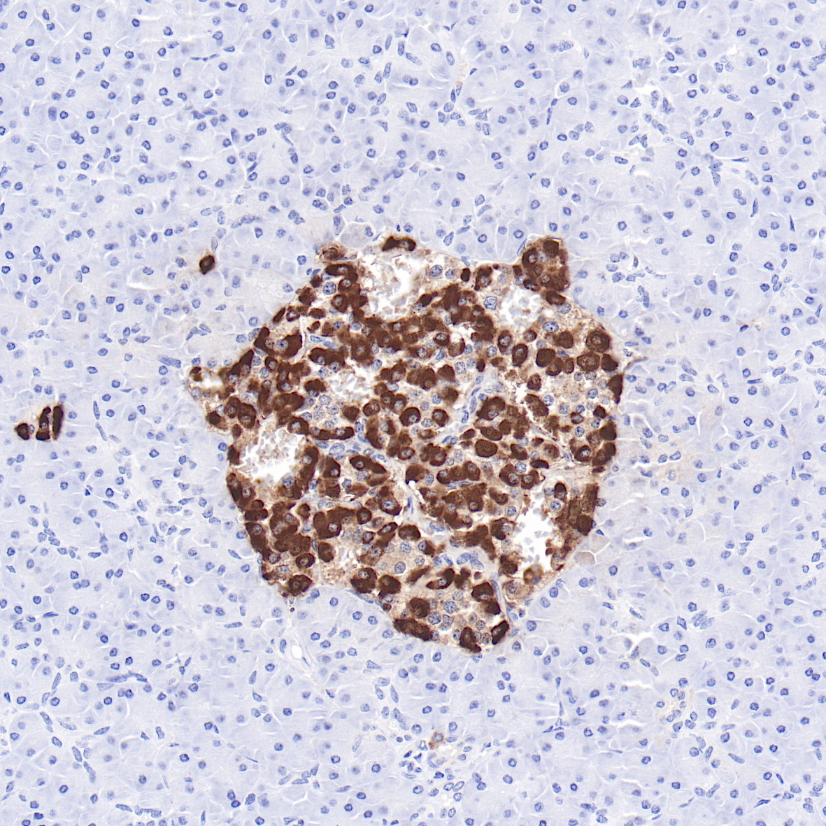
胰高血糖素在葡萄糖代谢和体内平衡中起着关键作用。胰高血糖素通过增加糖异生和减少糖酵解来调节血糖。胰高血糖素是胰岛素的一种反调节激素,在胰岛素诱导的低血糖状态下升高血糖水平。它在糖尿病的启动和维持高血糖状态中起着重要作用。胰高血糖素在胰岛的A细胞和整个胃肠道的L细胞中分泌。胰高血糖素检测胰高血糖素分泌细胞和肿瘤,如胰高血糖素肿瘤。

Specifications

产品注册名称
胰高血糖素(Glucagon)抗体试剂
目录号
I1255
克隆号
BP6265
亚细胞定位
细胞质
阳性对照
胰腺
修复方式
HIER
组织类型
FFPE
规格
浓缩液:0.1mL/1mL 工作液:1.5mL/7mL
用途
NMPA IVD

Applicable platform

  • Biolynx平台
  • Leica平台
  • Roche平台
  • Dako平台

Reference

1. 吴秉铨, 刘彦仿. 免疫组织化学病理诊断(第2版) [M]. 北京科学技术出版社, 2013.
2. 何建芳, 韩安家, 吴秋良. 实用免疫组化病理诊断[M]. 科学出版社, 2018.
3. Downes MA. Glucagon. Emerg Med (Fremantle). 2003 Oct-Dec;15(5-6):480-5.

Support Documents

Contact Us

Address
浙江省杭州市滨江区滨安路688号天和高科技园区5号楼1303室
310052
Phone & Fax
+400-8769-741
+0571-88177680
Web & Mail

Follow Us

Scan QR Codes on Your Phone