首页
创新研发
产品中心
病理IHC整体解决方案
IVD一抗
LYNX310设备
LYNX480设备
免疫显色系统及辅助试剂
RUO试剂
液态细胞质控品
科研创新
科研目录抗体
技术服务
服务中心
资料下载
技术支持
关于我们
公司概况
新闻动态
荣誉资质
人才服务
联系我们
简体中文
简体中文
English
产品中心
病理IHC整体解决方案
科研创新
IVD一抗
LYNX310设备
LYNX480设备
免疫显色系统及辅助试剂
RUO试剂
液态细胞质控品
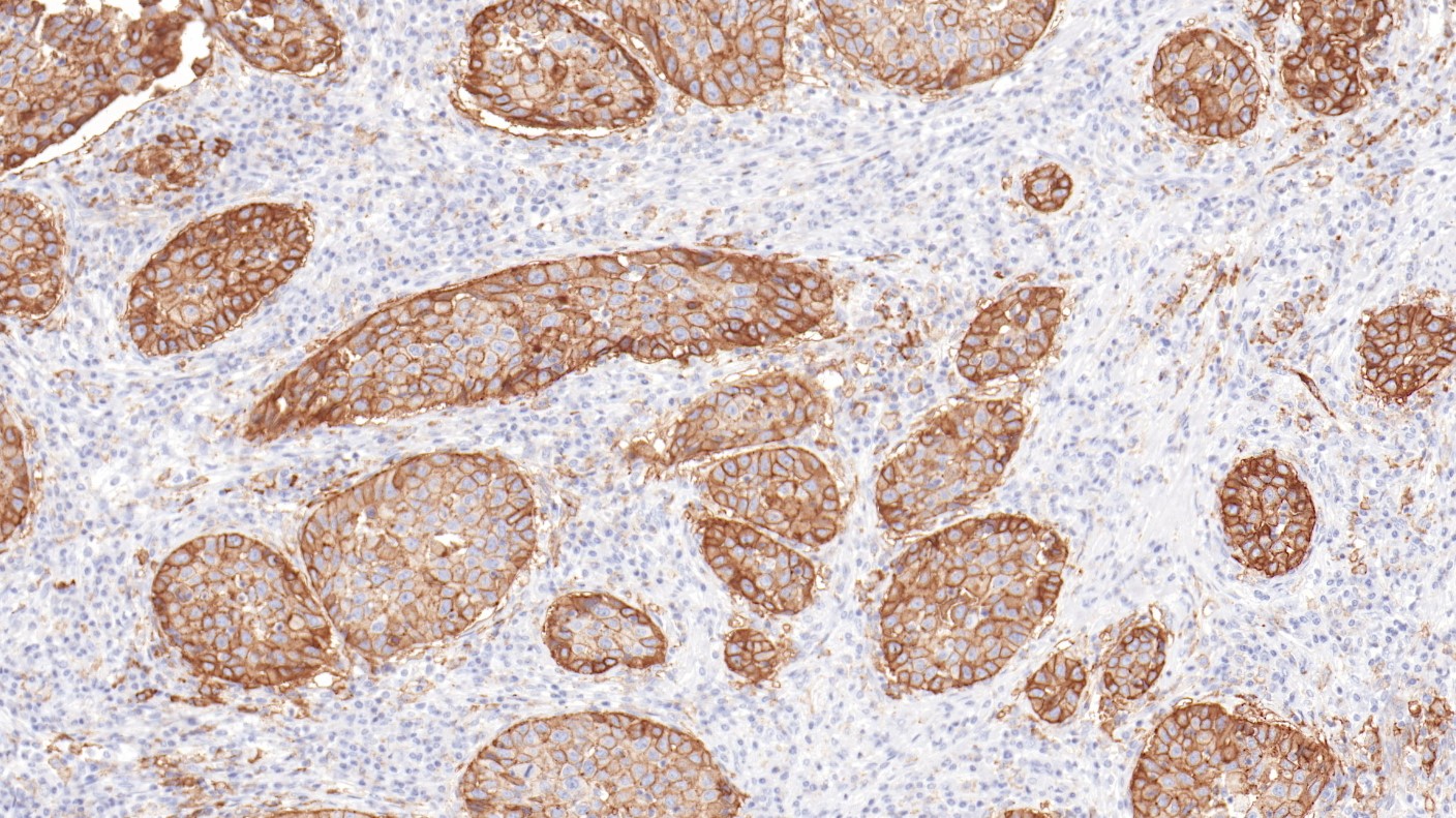
膀胱癌PD-L1(BP6099)染色
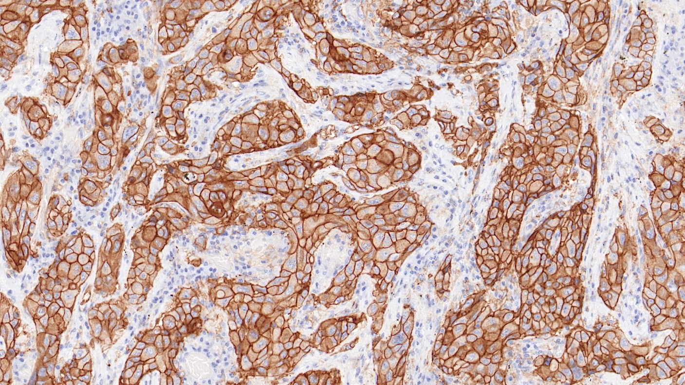
非小细胞肺癌PD-L1(BP6099)染色
相关产品
Pax-2
BP6044
MUC6
EPR20623
GFAP(Glial Fibrillary Acidic Protein)
BP6061
PD-L1
重组兔单克隆抗体
PD-L1又称B7-H1与 PD-L2(B7-DC) 均为PD-1的受体。 PD-L1持续性表达于T细胞、 B 细胞、 巨噬细胞、 树突细胞。 当该类细胞被激活,其表达水平会升高。 大量研究证实,阻止PD-1/PD-L1 分子通路有助于抗肿瘤治疗,基于该机制可开发抗肿瘤药物。 研究数据显示 PD-L1 的表达情况与该类药物的治疗效果具有相关性。
Specifications
产品注册名称
PD-L1检测试剂(免疫组织化学法)
目录号
I1205
克隆号
BP6099
亚细胞定位
细胞膜
阳性对照
胎盘
修复方式
HIER
组织类型
FFPE
规格
浓缩液:0.1mL/1mL
工作液:1.5mL/7mL
用途
NMPA IVD
Applicable platform
Biolynx平台
Leica平台
Roche平台
Dako平台
Support Documents
Datesheet
Contact Us
Address
浙江省杭州市滨江区滨安路688号天和高科技园区5号楼1303室
310052
Phone & Fax
+400-8769-741
+0571-88177680
Web & Mail
[email protected]
Follow Us
Scan QR Codes on Your Phone