产品中心

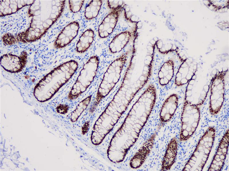
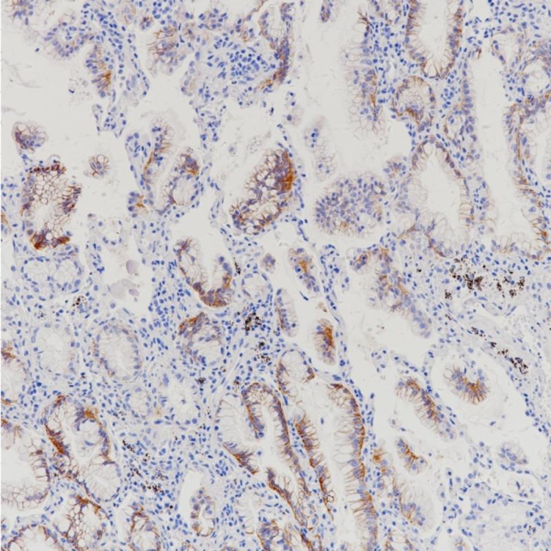
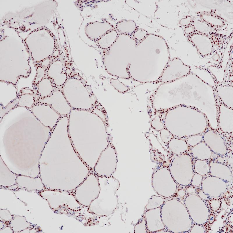
Parafibromin 重组兔单克隆抗体

人类肿瘤抑制蛋白 Parafibromin也叫细胞分裂蛋白(Cdc73)或2型甲状旁腺功能亢进症蛋白(HRPT2)。Parafibromin属于肿瘤抑制因子,参与转录和转录后调控途径。它可通过调节Cyclin D1/PRAD1的表达参与细胞周期进程,也在RNA聚合酶II的转录过程中具有多种功能,并涉及胚胎干细胞多能性的发育和维持调控。Parafibromin广泛分布于肾上腺、甲状旁腺、肾脏和心脏等多种组织内,并参与多种生命活动。研究表明Parafibromin的突变与多种癌症的发生有关,包括甲状旁腺癌、甲状旁腺功能亢进-下颌肿瘤综合征、头颈部鳞状细胞癌、乳腺癌、胃癌、结直肠癌和肺癌。

Specifications

目录号
BX50313
克隆号
BP6288
阳性对照
甲状腺
亚细胞定位
细胞核
组织类型
FFPE
修复方式
HIER
稀释比
1:100-1:200
规格
100μl/vial, 1ml/vial
用途
RUO

Reference

1. Zhu R et al. Clin Endocrinol (Oxf) 92:295-302 (2020).
2. Hu Y et al. Endocr Pract 25:634-641 (2019).

Support Documents

Contact Us

Address
浙江省杭州市滨江区滨安路688号天和高科技园区5号楼1303室
310052
Phone & Fax
+400-8769-741
+0571-88177680
Web & Mail

Follow Us

Scan QR Codes on Your Phone