产品中心

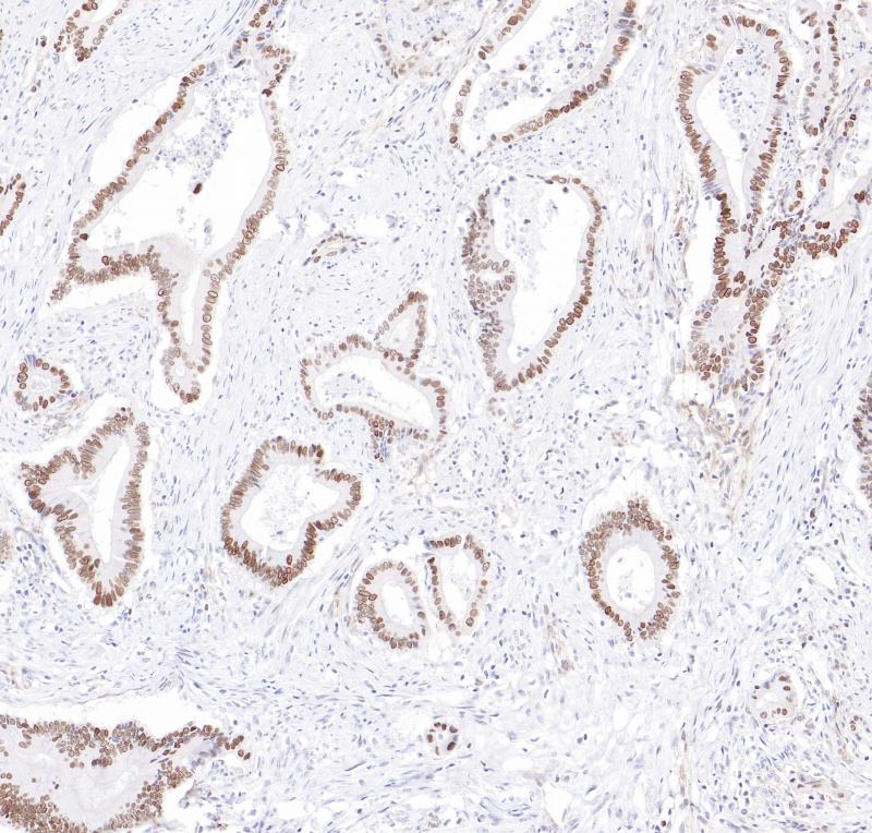
OVOL2 重组兔单克隆抗体

转录因子OVO-like zinc finger 2(OVOL2)包含一个C2H2锌指四分体的锌指结构域,具有可变的N端和C端延伸,起到转录调控的作用。OVOL2在维持上皮谱系的特性中起关键作用。它还通过直接抑制MYC和NOTCH1来抑制细胞周期和角化细胞的终末分化。OVOL2在人类正常组织的睾丸、卵巢、心脏和骨骼肌中表达。研究表明OVOL2是一种结直肠肿瘤抑制因子,通过阻断WNT信号传导来减少结直肠肿瘤的进展和转移。此外,OVOL2被证明可以直接抑制几种糖酵解基因的表达,阻断Warburg效应和乳腺肿瘤的生长和转移。

Specifications

目录号
BX50308
克隆号
BP6285
阳性对照
结肠癌
亚细胞定位
细胞核
组织类型
FFPE
修复方式
HIER
稀释比
1:100-1:200
规格
100μl/vial, 1ml/vial
用途
RUO

Reference

1. Ye GD, Sun GB, et al. Gastroenterology. 150(3): 659-671, 2016 Mar.
2. Zhang X, Luo F, et al. Adv Sci (Weinh). 9(27), 2022 Sep.

Support Documents

Contact Us

Address
浙江省杭州市滨江区滨安路688号天和高科技园区5号楼1303室
310052
Phone & Fax
+400-8769-741
+0571-88177680
Web & Mail

Follow Us

Scan QR Codes on Your Phone