首页
创新研发
产品中心
病理IHC整体解决方案
IVD一抗
LYNX310设备
LYNX480设备
免疫显色系统及辅助试剂
RUO试剂
液态细胞质控品
科研创新
科研目录抗体
技术服务
服务中心
资料下载
技术支持
关于我们
公司概况
新闻动态
荣誉资质
人才服务
联系我们
简体中文
简体中文
English
产品中心
病理IHC整体解决方案
科研创新
IVD一抗
LYNX310设备
LYNX480设备
免疫显色系统及辅助试剂
RUO试剂
液态细胞质控品
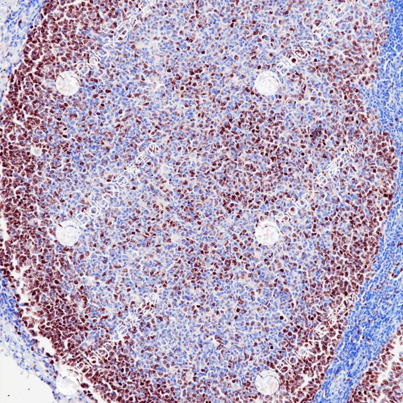
扁桃体Survivin(BP6259)染色
食管癌Survivin(BP6259)染色
相关产品
Desmin
D33
Estrogen Receptor α
BP6026
Claudin 6
BP6274
Survivin
重组兔单克隆抗体
Survivin是一种16kDa的抗凋亡蛋白,在胎儿发育和癌细胞恶性过程中高度表达。Survivin结合并抑制caspase-3,通过抑制细胞凋亡和促进细胞分裂来控制细胞周期G2/ M期的检查点。Survivin在扁桃体、睾丸、胎儿组织和各种肿瘤中均有表达。Survivin主要用于肝细胞癌、食管癌、子宫内膜癌和鳞状细胞癌的诊断与预后。
Specifications
目录号
BX50282
克隆号
BP6259
阳性对照
食管癌
亚细胞定位
细胞核
组织类型
FFPE
修复方式
HIER
稀释比
1:100-1:200
规格
100μl/vial, 1ml/vial
用途
RUO
Support Documents
Datesheet
Contact Us
Address
浙江省杭州市滨江区滨安路688号天和高科技园区5号楼1303室
310052
Phone & Fax
+400-8769-741
+0571-88177680
Web & Mail
[email protected]
Follow Us
Scan QR Codes on Your Phone