产品中心

HLA-G 重组兔单克隆抗体

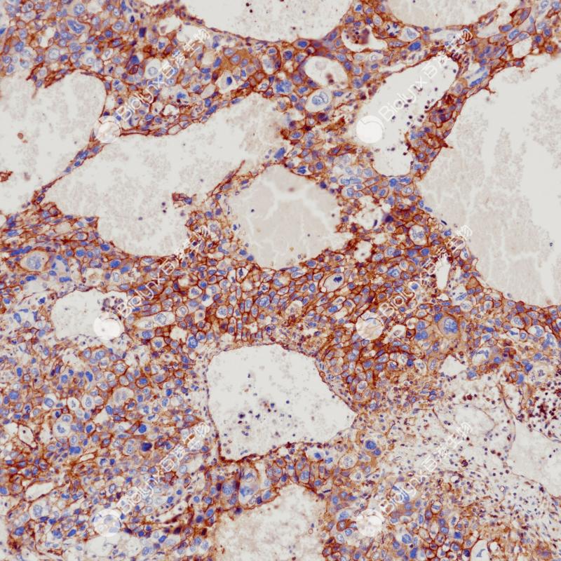
人类白细胞抗原G (human leukocyte antigen, HLA-G)属于非经典HLA-I类分子,在胎盘、胸腺上皮细胞和一些肿瘤的滋养层细胞上表达。HLA-G经过剪切后可以形成7种异构体,包括膜结合型(mHLA-G)的HLA-G1、HLA-G2、HLA-G3、HLA-G4和可溶型(sHLA-G)的HLA-G5、HLA-G6、HLA-G7。HLA-G表达是肿瘤细胞逃逸免疫监视的手段之一,使其成为免疫治疗的潜在目标,许多研究都关注HLA-G表达与肿瘤患者生存率之间的关系。

Specifications

目录号
BX50270
克隆号
BP6247
阳性对照
肾透明细胞癌
亚细胞定位
细胞质
组织类型
FFPE
修复方式
HIER
稀释比
1:100-1:200
规格
100μl/vial, 1ml/vial
用途
RUO

Support Documents

Contact Us

Address
浙江省杭州市滨江区滨安路688号天和高科技园区5号楼1303室
310052
Phone & Fax
+400-8769-741
+0571-88177680
Web & Mail

Follow Us

Scan QR Codes on Your Phone