产品中心

ATRX 重组兔单克隆抗体

ATRX是一种转录调控因子和解旋酶,属于染色质重塑蛋白的SNF2家族。ATRX与其结合伙伴死亡相关蛋白6 (Daxx)一起作为组蛋白伴侣,在重复的DNA序列如端粒、中心周围和核糖体基因重复序列上沉积组蛋白变体H3.3。ATRX参与许多核功能,确保在有丝分裂期间正常的姐妹染色单体内聚和减数分裂期间染色体对齐。在哺乳动物发育过程中,ATRX转录调控因子通过影响高重复序列的DNA甲基化模式,在端粒完整性的维持和基因表达的调控中发挥作用。相应的ATRX基因突变导致ATR-X综合征,这是一种以智力残疾、颅面异常和轻度α-地中海贫血为特征的X连锁疾病。

Specifications

目录号
BX50225
克隆号
BP6202
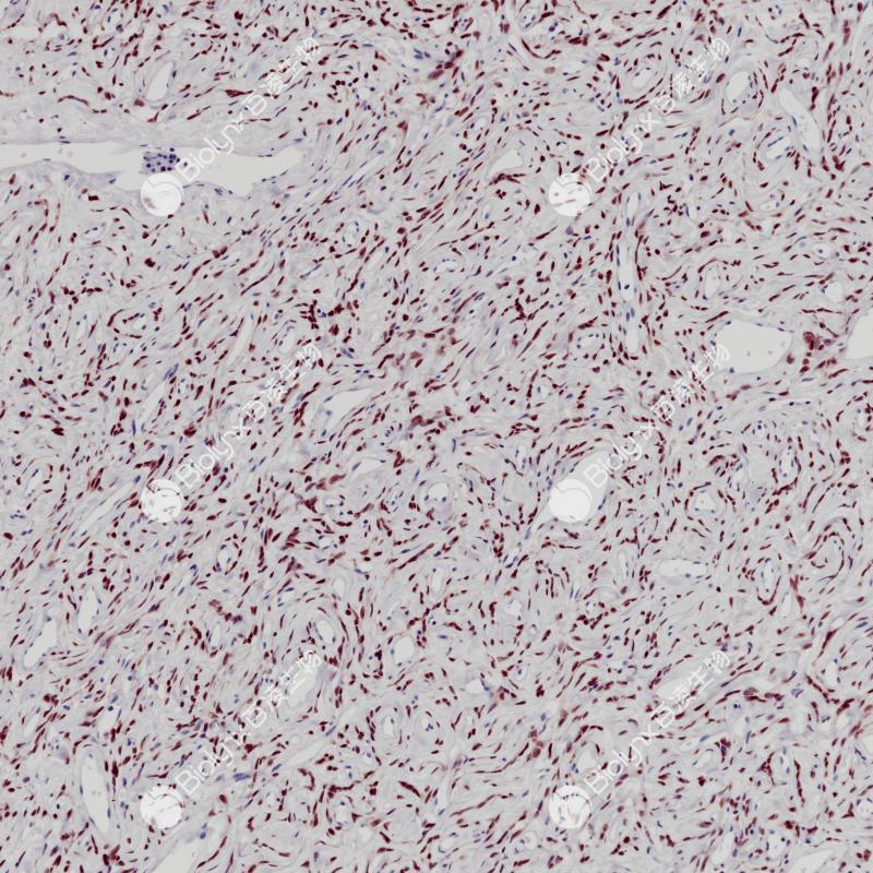
阳性对照
乳腺癌
亚细胞定位
细胞核
组织类型
FFPE
修复方式
HIER
稀释比
1:100-1:200
规格
100μl/vial, 1ml/vial
用途
RUO

Support Documents

Contact Us

Address
浙江省杭州市滨江区滨安路688号天和高科技园区5号楼1303室
310052
Phone & Fax
+400-8769-741
+0571-88177680
Web & Mail

Follow Us

Scan QR Codes on Your Phone