产品中心

Bcl-6 重组兔单克隆抗体

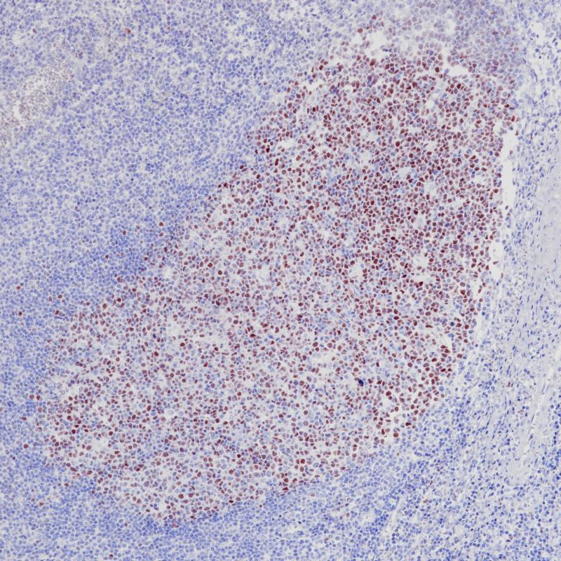
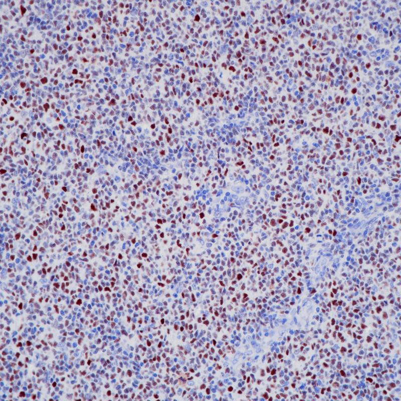
Bcl-6是一个转录调控基因,编码706氨基酸核锌指蛋白。丝裂原活化的蛋白激酶Erk1和Erk2,而不是JNK,在多个位点磷酸化BCL6。BCL6 Ser333和Ser343位点的磷酸化导致BCL6通过泛素/蛋白酶体途径在B细胞中降解。此外,BCL6被乙酰化,其转录抑制功能受到转录共激活因子p300的抑制。该蛋白的抗体可染色淋巴滤泡生发中心细胞、滤泡淋巴瘤、弥漫性大b细胞淋巴瘤、伯基特淋巴瘤的滤泡细胞和滤泡间细胞,以及结节性淋巴细胞优势型霍奇金病的大多数里德-斯登伯格细胞。

Specifications

目录号
BX50239
克隆号
BP6216
阳性对照
滤泡性淋巴瘤
亚细胞定位
细胞核
组织类型
FFPE
修复方式
HIER
稀释比
1:100-1:200
规格
100μl/vial, 1ml/vial
用途
RUO

Support Documents

Contact Us

Address
浙江省杭州市滨江区滨安路688号天和高科技园区5号楼1303室
310052
Phone & Fax
+400-8769-741
+0571-88177680
Web & Mail

Follow Us

Scan QR Codes on Your Phone