首页
创新研发
产品中心
病理IHC整体解决方案
IVD一抗
LYNX310设备
LYNX480设备
免疫显色系统及辅助试剂
RUO试剂
液态细胞质控品
科研创新
科研目录抗体
技术服务
服务中心
资料下载
技术支持
关于我们
公司概况
新闻动态
荣誉资质
人才服务
联系我们
简体中文
简体中文
English
产品中心
病理IHC整体解决方案
科研创新
IVD一抗
LYNX310设备
LYNX480设备
免疫显色系统及辅助试剂
RUO试剂
液态细胞质控品
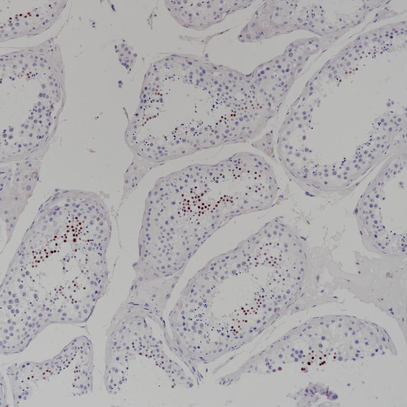
睾丸NUT1(BP6221)染色
睾丸NUT1(BP6221)染色 (2)
相关产品
AMACR/p504s
BP6115
PD-L1
BP6099
Myelin Basic Protein
BP6087
NUT1
重组兔单克隆抗体
睾丸核蛋白(NUT1或NUTM1)是15号染色体上的NUTM1基因编码的核蛋白,通常在睾丸组织中表达。NUT癌(原NUT中线癌)发生在NUTM1与溴区结构域(BRD)家族基因融合后,约75%的病例发生。NUT癌可以是肿瘤、肉瘤、淋巴瘤和其他类型的肿瘤,通常在头部、颈部或纵隔形成。NUT1抗体主要用于中线癌的诊断。
Specifications
目录号
BX50244
克隆号
BP6221
阳性对照
睾丸
亚细胞定位
细胞核
组织类型
FFPE
修复方式
HIER
稀释比
1:100-1:200
规格
100μl/vial, 1ml/vial
用途
RUO
Support Documents
Datesheet
Contact Us
Address
浙江省杭州市滨江区滨安路688号天和高科技园区5号楼1303室
310052
Phone & Fax
+400-8769-741
+0571-88177680
Web & Mail
[email protected]
Follow Us
Scan QR Codes on Your Phone