产品中心

PAX-5 鼠单克隆抗体

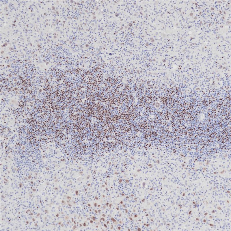
PAX-5是B细胞的标记物,在原B细胞、前B细胞和成熟的B细胞细胞核中均有表达,但浆细胞中未表达;经典型霍奇金淋巴癌的R-S细胞弱表达。该抗体用于B细胞及其来源的肿瘤的诊断,也可用于鉴别经典型霍奇金淋巴瘤(PAX-5阳性)与T细胞/裸细胞间变性大细胞淋巴癌(PAX-5阴性)。

Specifications

目录号
BX50195
克隆号
BPM6172
阳性对照
霍奇金淋巴瘤
亚细胞定位
细胞核
组织类型
FFPE
修复方式
HIER
稀释比
1:100-1:200
规格
100μl/vial, 1ml/vial
用途
RUO

Reference

1.Abdelrasoul H et al. Sci Rep 8:1327 (2018). 
2.Hijano DR et al. Sci Rep 8:11034 (2018).

Support Documents

Contact Us

Address
浙江省杭州市滨江区滨安路688号天和高科技园区5号楼1303室
310052
Phone & Fax
+400-8769-741
+0571-88177680
Web & Mail

Follow Us

Scan QR Codes on Your Phone