首页
创新研发
产品中心
病理IHC整体解决方案
IVD一抗
LYNX310设备
LYNX480设备
免疫显色系统及辅助试剂
RUO试剂
液态细胞质控品
科研创新
科研目录抗体
技术服务
服务中心
资料下载
技术支持
关于我们
公司概况
新闻动态
荣誉资质
人才服务
联系我们
简体中文
简体中文
English
产品中心
病理IHC整体解决方案
科研创新
IVD一抗
LYNX310设备
LYNX480设备
免疫显色系统及辅助试剂
RUO试剂
液态细胞质控品
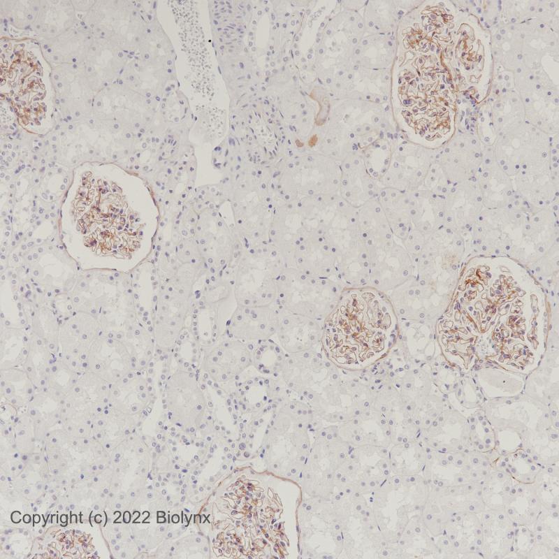
肾COL4A5(BP6206)染色
肾COL4A5(BP6206)染色-2
相关产品
Cytokeratin 14
BP6052
Uroplakin 1b (UPK1B)
BP6310
MGMT
BP6217
COL4A5
重组兔单克隆抗体
IV型胶原是肾小球基底膜(GBM)的主要结构成分,与层蛋白、蛋白多糖和巢蛋白一起形成“六角网”。Xq22.3染色体着丝粒缺失综合征中发现了COL4A5和COL4A6 的N端区域缺失,并以首尾相接的方式定位。这导致了具有弥漫性平滑肌瘤病和Alport综合征(DL-ATS)特征的表型。
Specifications
目录号
BX50229
克隆号
BP6206
阳性对照
肾
亚细胞定位
细胞基膜
组织类型
FFPE
修复方式
HIER
稀释比
1:100-1:200
规格
100μl/vial, 1ml/vial
用途
RUO
Support Documents
Datesheet
Contact Us
Address
浙江省杭州市滨江区滨安路688号天和高科技园区5号楼1303室
310052
Phone & Fax
+400-8769-741
+0571-88177680
Web & Mail
[email protected]
Follow Us
Scan QR Codes on Your Phone