产品中心

MSH2 鼠单克隆抗体

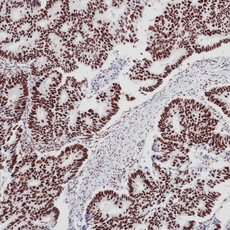
MSH2是一个105kDa的核抗原,编码934氨基酸的蛋白质。MSH2是DNA 错配修复系统中的1种错配修复基因,DNA错配修复系统是人体细胞的一种能修复DNA碱基错配的安全保障体系,是由一系列特异性修复DNA碱基错配的酶分子组成。MSH2基因突变发生在散发性结肠癌中,MSH2突变与50%的遗传性非息肉性大肠癌(HNPCC)相关。MSH2常用于Lynch综合征的免疫组化筛查。

Specifications

目录号
BX50142
克隆号
BPM6143
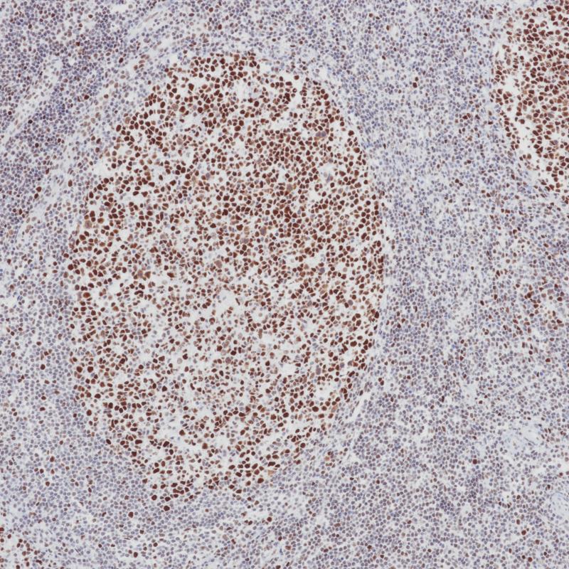
阳性对照
扁桃体
亚细胞定位
细胞核
组织类型
FFPE
修复方式
HIER
稀释比
1:100-1:200
规格
100μl/vial, 1ml/vial
用途
RUO

Reference

1.Thibodeau SN, French AJ, et al.Cancer Res 1996 Nov1;56(21):4836-40.

2.National Committee for Clinical Laboratory Standards(NCCLS). Villanova, PA 1991;7(9). Order code M29-P.

Support Documents

Contact Us

Address
浙江省杭州市滨江区滨安路688号天和高科技园区5号楼1303室
310052
Phone & Fax
+400-8769-741
+0571-88177680
Web & Mail

Follow Us

Scan QR Codes on Your Phone