产品中心

Androgen Receptor 重组兔单克隆抗体

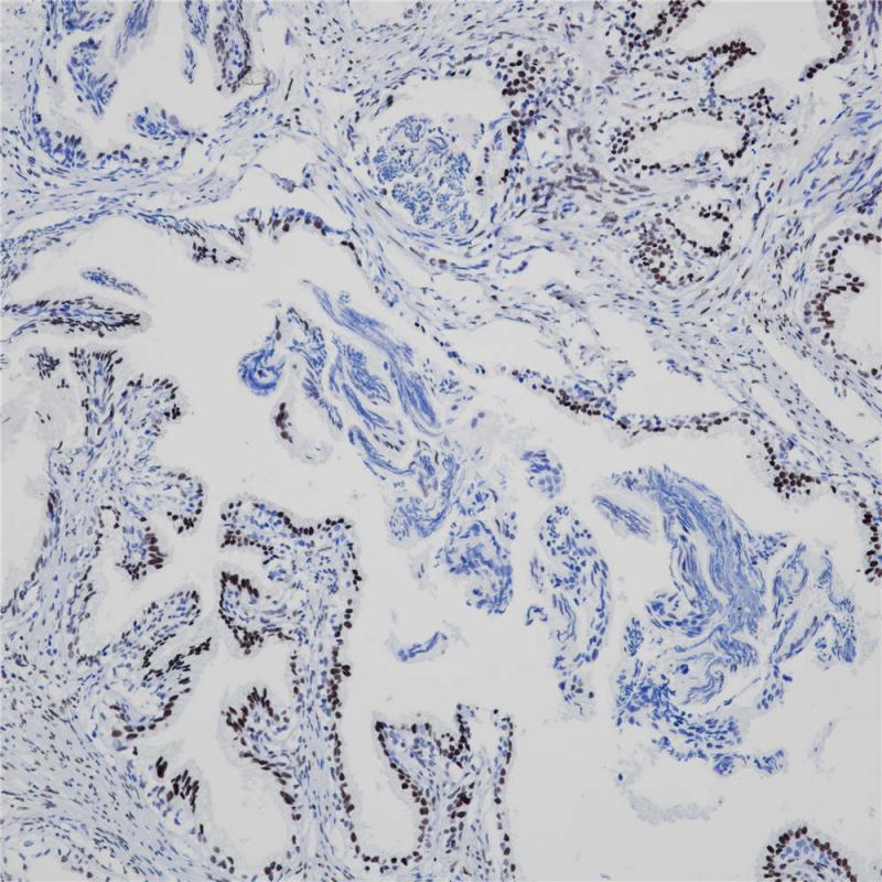
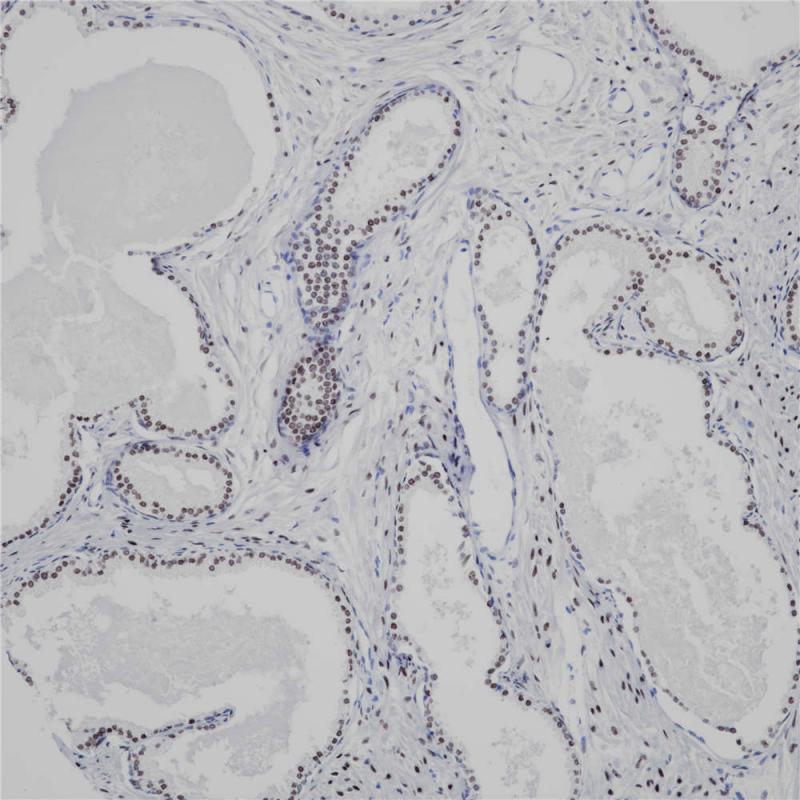
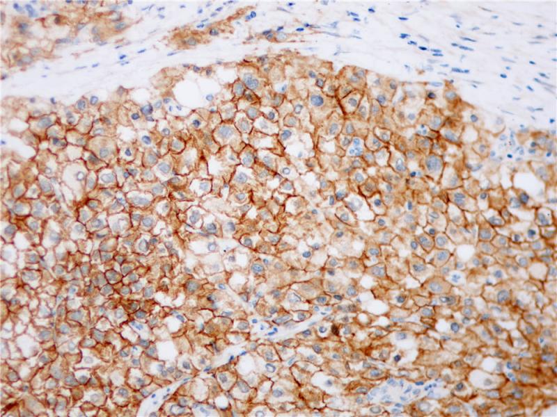
Androgen Receptor(AR)是核受体超家族的一员,属于类固醇类受体,是雄激素作用的中介物质。AR在人体组织中表达广泛,在乳腺癌、前列腺癌中高度表达,其阳性表达与前列腺癌组织的分化程度相关,对前列腺癌病人的激素治疗起指导作用。该抗体主要用于前列腺癌的研究。

Specifications

目录号
BX50122
克隆号
BP6126
阳性对照
前列腺
亚细胞定位
细胞核
组织类型
FFPE
修复方式
HIER
稀释比
1:100-1:200
规格
100μl/vial, 1ml/vial
用途
RUO

Reference

1.Siu MK  et al. Oncogenesis 5:e282 (2016).
2.Urbinati G  et al. Mol Ther Nucleic Acids 5:e301 (2016).

Support Documents

Contact Us

Address
浙江省杭州市滨江区滨安路688号天和高科技园区5号楼1303室
310052
Phone & Fax
+400-8769-741
+0571-88177680
Web & Mail

Follow Us

Scan QR Codes on Your Phone