产品中心

IgA 重组兔单克隆抗体

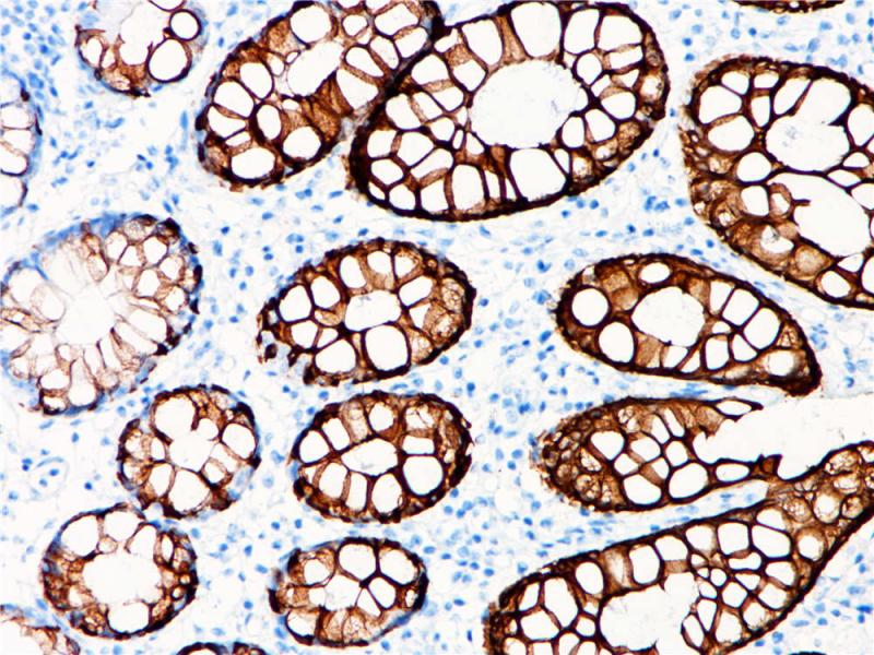
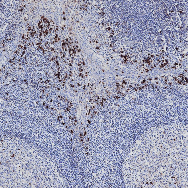
IgA 是一种分泌型抗体,大量存在于胃肠道、呼吸道和泌尿生殖道粘膜、泪液和唾液中,分泌型 IgA 对黏膜表面病原体的体液防御机制起作用。IgA可以与免疫球蛋白IgA的α链反应,对一些淋巴瘤的鉴别诊断具有一定的辅助意义。该抗体主要用于肾小球肾炎的功能性分类和一些免疫性疾病的研究

Specifications

目录号
BX50191
克隆号
BP6169
阳性对照
扁桃体
亚细胞定位
细胞质
组织类型
FFPE
修复方式
HIER
稀释比
1:100-1:200
规格
100μl/vial, 1ml/vial
用途
RUO

Reference

1.Ansari NA, et al. Asian Pac J Cancer Prev. 2007; 8:593-6. 
2.Shao H, et al. Am J Surg Pathol. 2010; 34:1425-35.

Support Documents

Contact Us

Address
浙江省杭州市滨江区滨安路688号天和高科技园区5号楼1303室
310052
Phone & Fax
+400-8769-741
+0571-88177680
Web & Mail

Follow Us

Scan QR Codes on Your Phone