首页
创新研发
产品中心
病理IHC整体解决方案
IVD一抗
LYNX310设备
LYNX480设备
免疫显色系统及辅助试剂
RUO试剂
液态细胞质控品
科研创新
科研目录抗体
技术服务
服务中心
资料下载
技术支持
关于我们
公司概况
新闻动态
荣誉资质
人才服务
联系我们
简体中文
简体中文
English
产品中心
病理IHC整体解决方案
科研创新
IVD一抗
LYNX310设备
LYNX480设备
免疫显色系统及辅助试剂
RUO试剂
液态细胞质控品
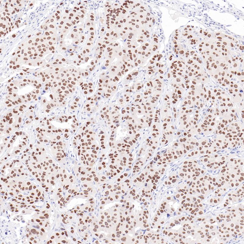
乳腺癌TRPS1(BP6231)染色
相关产品
Helicobacter pylori
BP6321
c-Myc
BP6258
Myogenin
BP6137
TRPS1
重组兔单克隆抗体
TRPS1是一种转录因子,最初发现在毛鼻指骨综合征(一种颅面和骨骼畸形综合征)中发生突变。TRPS1识别GATA序列,抑制其他GATA因子的激活潜能。TRPS1在乳腺癌、宫颈癌、食管上皮中高表达。在病理诊断中,TRPS1是一种敏感、特异的乳腺癌标志物。
Specifications
目录号
BX50254
克隆号
BP6231
阳性对照
乳腺癌
亚细胞定位
细胞核
组织类型
FFPE
修复方式
HIER
稀释比
1:100-1:200
规格
100μl/vial, 1ml/vial
用途
RUO
Support Documents
Datesheet
Contact Us
Address
浙江省杭州市滨江区滨安路688号天和高科技园区5号楼1303室
310052
Phone & Fax
+400-8769-741
+0571-88177680
Web & Mail
[email protected]
Follow Us
Scan QR Codes on Your Phone